病例荟萃第二十期|梁思文:Telescope™导引延长导管严重钙化病变应用一例

梁思文  首都医科大学附属北京友谊医院


简要病史


一般情况

年龄:68,性别:女。

主诉: 间断喘憋9年余,加重伴胸痛18天。

危险因素

高血压3级(很高危)

高脂血症

糖尿病

诊断  

 CHD

 NSTEMI

心功能I级(Killip分级)

既往史

反流性食管炎

甲状腺功能减退

支气管哮喘

子宫切除术后

轻度贫血

ECG

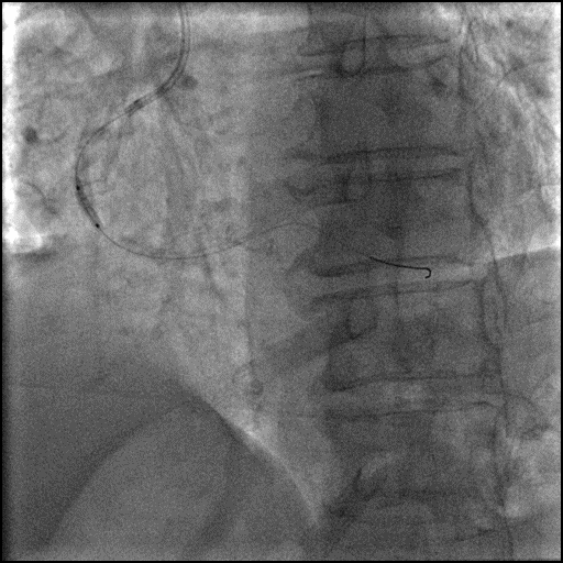
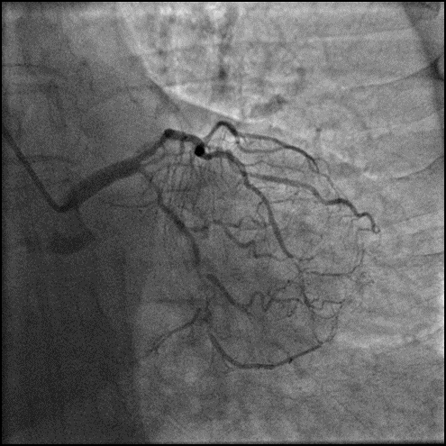
冠脉造影

左前降支近段、中段,狭窄程度50-70%,病变长度弥漫性,严重钙化,TIMIⅢ级:第一对角支开口病变,狭窄程度70-90%,病变长度局限性,TIMI Ⅲ级。

回旋支近段,狭窄程度70-90%,病变长度弥漫性,TIMI III级:回旋支远段,狭窄程度90-99%,病变长度弥漫性,TIMI III级;钝缘支,狭窄程度50-70%,病变长度管状性,TIMI III级。

右冠状动脉近段、中段、远段,狭窄程度70-90%,病变长度弥漫性,严重钙化,TIMI III级;

右冠状动脉后降支,狭窄程度70-90%,病变长度管状性,TIMI II级;后侧支,狭窄程度50-70%,病变长度弥漫性,TIMI III级。


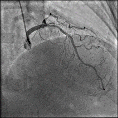
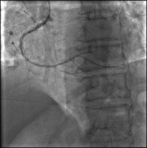
介入经过及结果

6F SAL1.0 GC, Finecross MGC,成功送入SION GW。

2.0x15mm, 2.5x12mm NC预扩张,球囊通过困难,改行旋磨术。

1.5mm 旋磨头 14万 RPM 旋磨6次。

6F Telescope™ 导引延长导管加强支撑。

2.5x12mm NC, 3.0x15mm NC球囊反复高压扩张。

6F Telescope™ 导引延长导管加强支撑。

2.5x30mm Integrity Stent, 2.75x38mm Stent。

2.75x12mm NC, 3.0x15mm NC后扩张。

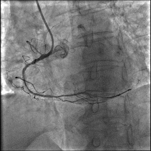
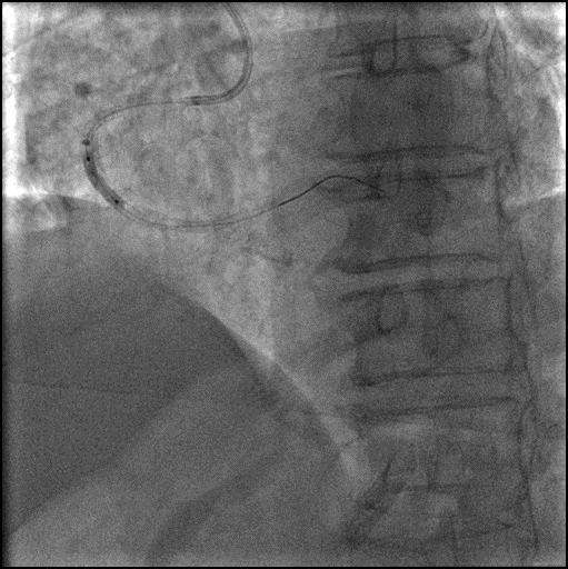
Final Result


经验体会及总结

Telescope™导引延长导管安心输送长支架-成功输送长支架到位,输送性优异,且无器械剐蹭现象发生。

Telescope™增强支撑力-旋磨后加强支撑,辅助置入支架。

安全挑战钙化病变-重度钙化病变多次旋磨后,无创输送器械。

专家介绍

-  梁思文  -

首都医科大学附属北京友谊医院

心内科,副主任医师,医学博士,京津冀蒙(G4)冠心病专家沙龙青年委员会委员。

从事心内科临床工作10余年,擅长冠状动脉介入手术及心内科急危重症处理,具有PCI独立术者资质,迄今完成PCI手术2000余例,擅长各种复杂冠状动脉病变的PCI手术,包括左主干病变、CTO病变、分叉病变、钙化病变等。近5年发表核心期刊论文及SCI论文10余篇,其中以第一作者及通讯作者身份发表SCI论文3篇,参译及参编专著各1部。参与国自然课题2项,多次在中国介入心脏病学大会、长城会等国内重要心血管会议上进行病例报告。

长按二维码关注“一脉同行”

阅读数: 495