MitraFix®经导管二尖瓣置换系统NMPA注册临床试验瑞金医院植入成功

10月18日,上海交通大学医学院附属瑞金医院赵强教授团队,携心外科叶晓峰主任、心超科方跃华主任、麻醉科、手术室、心外科徐旖炜医师汪昊哲医师等密切配合下,全程仅经超声引导成功完成了由以心医疗自主研发的我国首款自主研发的经导管二尖瓣置换产品MitraFix®注册临床试验二期临床试验瑞金医院植入。该例手术为瑞金医院首台,由瑞金心外科团队在全超声引导下独立完成,充分证明了MitraFix®产品的易用性、安全和可靠性。标志着由胡盛寿院士牵头的MitraFix®经导管二尖瓣置换产品注册临床进度以及未来广泛应用前景上更进了一步!

患者信息

患者男性,入院诊断:慢性心力衰竭EF:30%、LVEDD:80mm、重度二尖瓣关闭不全、主动脉瓣轻度反流、三尖瓣轻度反流、轻度肺动脉压增高、室性早搏、肾功能不全。

经过瑞金医院心外科MDT团队综合讨论评估该患者病情后,患者为重度FMR患者,为传统外科手术极高危患者,决定进行MitraFix®经心尖二尖瓣植入。术前心脏CTA瓣环面积折算最大直径41.5 mm 模拟植入34号二尖瓣瓣膜, 心室Neo LVOT面积可。

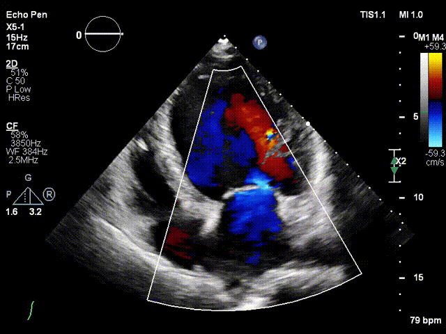
术前二尖瓣反流

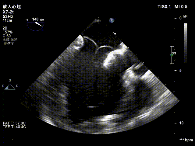
术前瓣环形态评估

术前心尖入路评估

术前食道超声模拟

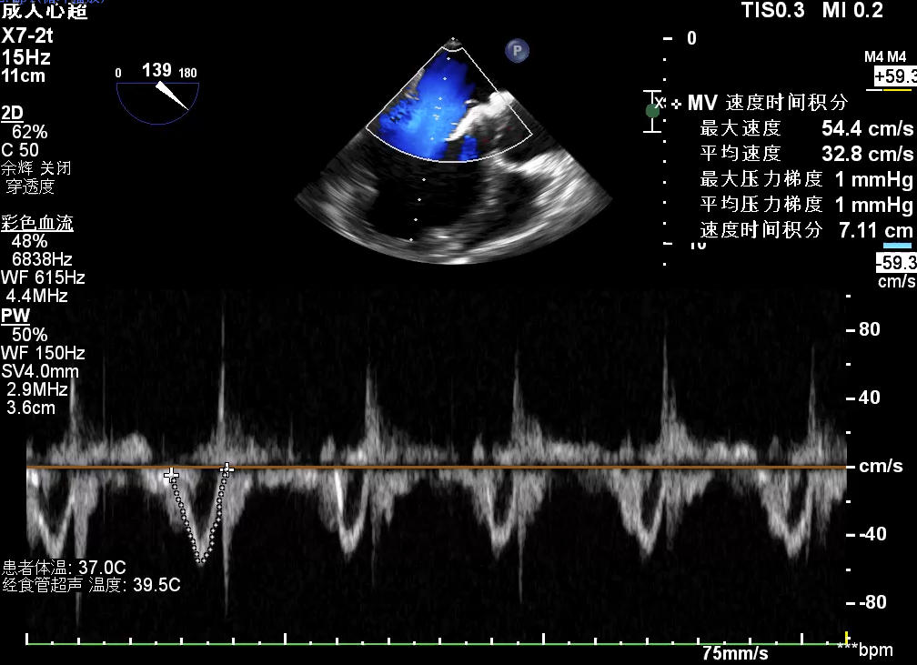
手术采用左侧第六肋间微创5cm切口心尖入路,在超声引导下,清晰识别MitraFix®输送系统准确跨瓣,并将人工瓣膜准确释放于二尖瓣瓣环,瓣膜释放后支架贴合牢固,术后无反流,二尖瓣前向血流通畅、跨瓣压差1mmHg,左心室流出道通畅,流出道血流速度为1 m/s. 后顺利撤出输送系统,关闭心尖切口,手术顺利结束。

术后瓣叶工作情况

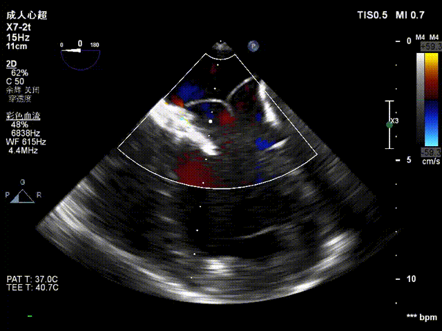
术后无反流

二尖瓣病变是发病率最高、介入治疗难度最大的瓣膜疾病。在我国,据不完全统计,二尖瓣病变潜在患者人数逾千万,治疗缺口极大。随着人口老龄化的发展,老年退行性心脏瓣膜病变越来越常见,严重影响人民健康和生活质量。

赵强教授表示,对于年龄大、体质弱、病变重、合并严重疾病、无法耐受传统开胸手术的高危患者,此类患者功能性(FMR)二尖瓣反流的患者因为瓣环明显扩张、瓣叶被腱索拖拽拴系明显,不适合通过介入TEER技术进行修复、即使勉强病情也容易复发,再次治疗只能通过外科置换增加手术风险。TA-TMVR该技术具有创伤小、手术时间短、安全性高、术后恢复快等优点,适合高龄、有外科手术史、心功能差、多脏器功能不全及主观上不愿做外科手术的高危患者。

MitraFix®经导管二尖瓣置换系统、植入成功率高,操作简便极易上手;是仅需经超声引导即可完成的绿色无辐射手术,此技术能够快速下沉至三甲医院心脏外科,同时兼容暂无复合手术室配置的医院,以心医疗自主创新研发的MitraFix®经导管二尖瓣置换系统给这些患者带来了新的希望。

MitraFix®经导管二尖瓣置换系统在第一阶段的法规临床试验中取得的非常优秀的结果:瓣膜表现评价:与基线相比,术后受试者二尖瓣反流均显著改善;生活质量评价较术前提高;六分钟步行距离较术前提高。

退行性(DMR)及功能性(FMR)二尖瓣关闭不全构成的复杂二尖瓣反流疾病谱,也大大增加了该类瓣膜病变的治疗难度。介入二尖瓣诊疗器械的研发已成为全球心血管介入诊疗领域的热点及难点。不同于介入二尖瓣修复,以心医疗的MitraFix®经导管二尖瓣置换系统不受瓣膜病变解剖的限制,兼容FMR和DMR,而且有着更广泛的市场应用前景,也是国际介入二尖瓣领域的研发热点。

作为我国第一款拥有全球范围自主知识产权,且同时拥有经心尖途径及经股静脉途径的介入二尖瓣置换产品,MitraFix®经导管二尖瓣置换系统NMPA注册临床研究的顺利开展,也说明以心医疗已同步国外结构性心脏病最高赛道,标志着我国医疗器械研发企业已经达到国际一流水准。

专家简介

赵强

上海交通大学医学院附属瑞金医院

副院长,心脏中心主任,心脏外科主任,教授,主任医生,博士生导师。中华医学会胸心血管外科学会委员、中国医师协会心血管外科分会常委、上海市胸心血管外科理事、美国胸心外科学会(STS)会员。担任《The Annals of Thoracic Surgery》、《Acta Biochemica et Biophysica Sinica》、《中华外科杂志》、《中华胸心血管外科杂志》、《中国循环杂志》、《现代心血管外科杂志》、《国际心血管病杂志》、《中国临床医学杂志》等杂志编委和评委。专业擅长冠状动脉搭桥术,微创冠状动脉搭桥术、微创心脏手术、机器人辅助心脏手术、心脏瓣膜成形术、主动脉瘤的外科治疗、心衰的外科治疗,心脏移植、辅助循环。

叶晓峰

上海交通大学医学院附属瑞金医院

交大特聘教授,国家杰青,主任医师,博士生导师,上海交通大学附属瑞金医院心外科科室副主任,专注于二尖瓣微创修补及经导管主动脉瓣置(TAVR)。主持国家自然多项,上海市级课题和奖励多项中国医师协会心血管外科青年委员。中华胸心血管外科专业委员会委员、国家微创心血管外科专业委员会委员、上海市医师协会心血管外科分会副会长、上海医师协会心血管外科分会委员、美国胸外科医师协会国际委员(STS)、国际组织工程和再生医学学会会员(TERMIS)、Annals of Thoracic Surgery, Biomaterials, Tissue Engineering, Journal of Tissue Engineering, Regenerative Medicine, Acta Biomaterialia, Artifical Organ等SCI 杂志审稿人。

阅读数: 1323