山西运城中心医院郝六一主任团队成功开展恒宇OCT试用一例

近日,运城市中心医院医院心内一科郝六一主任团队应用恒宇OCT系统,成功完成一例三支病变的复杂PCI手术。本次是恒宇OCT系统在全国的首批应用,Optimiro与Optimpass是恒宇医疗推出的首款OCT腔内影像系统,具有高清成像、超长回撤、创新系统等优势特点,同时,简洁大方的全中文操作界面,能够优化术者的学习曲线,更加高效地指导冠脉精准介入治疗的实施。此外,恒宇开发了国内首个融合OCT与IVUS的通用影像分析工作站“Hori Viewer”,该工作站能够将OCT、IVUS的操作系统还原到笔记本或台式机上,不挑配置实现便携安装,方便术者建立随身影像工作站。

病人基本信息

性别:男

年龄:63岁

主诉:患者于入院前1年余无明显诱因出现间断剑突下不适,就诊于当地医院,行冠状动脉支架植入术,诉服用阿司匹林胃部不适,阿司匹林不能耐受,平素服用“铝镁匹林、瑞舒伐他汀钙、尼可地尔”等药物。入院前1月无明显诱因再次出现上述症状,与活动无明显关系,每次发作约1-2分钟,为进一步诊治以冠状动脉粥样硬化性心脏病”收住院。

术前造影评估

左主干-前降支支架通畅,前降支:中段80%左右狭窄,对角支40-50%狭窄,回旋支:开口90-95%狭窄,远端斑块,右冠近段30-40%狭窄,后侧支中段95%狭窄,冠脉三支病变。

图1(肝位)

图2(右肩位)

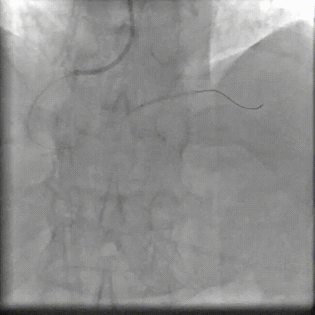
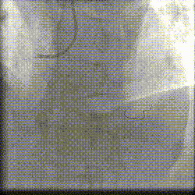
行前降支OCT检查

图3-4

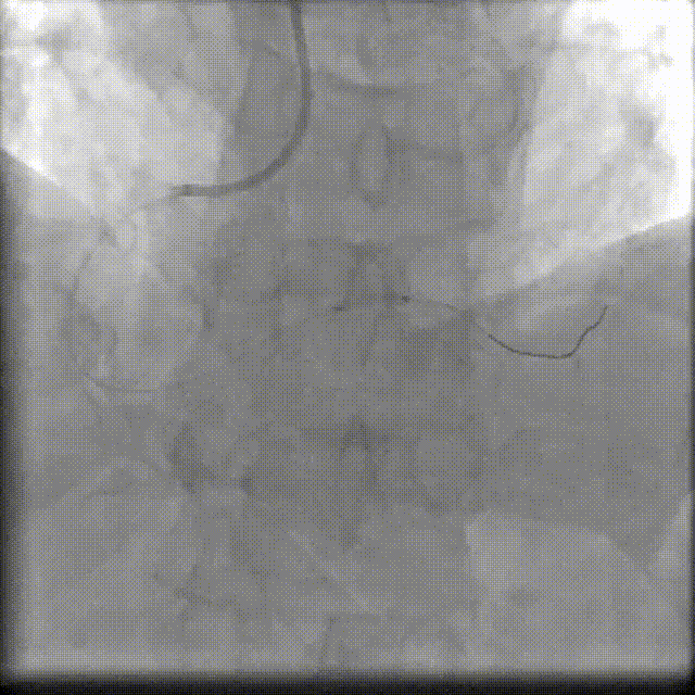
郝六一主任查看Optimiro图像,对原来支架复查,支架内轻微软斑块增生无需处理,由于前降支中段最小管腔面积1.47mm,斑块符合70%以上,斑块性质纤维钙化斑块,钙化成度在180度左右 有PCI指征, 术前郝六一教授指出这就是腔内影像检查带来的好处,由于OCT可以精准计算出斑块负荷和残余管腔面积,在临界病变中更加精准的给出指导数据。

图5

图6

遂决定行PCI处理。

送2.0*20球囊预扩(10-12atm10s*3),2.75*10mm切割球囊及2.75*15mm后扩球囊预处理病变。

在 guidezilla 辅助下于前降支植2.75*36mm支架(8-12atm10s*2),3.5*10mm及3.0*10mm球囊后扩支架(12-18atm10se cond *6) 。

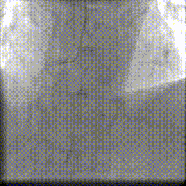
再行 OCT 检查示(图7)支架贴壁良好,无夹层及血肿,最小管腔面积4平方毫米。

图7

再行右冠 PCI 术,送 SAL .75指引导管进入右冠口。

图8

送 sion 导丝至右冠后侧支远段,2.0*15mm球囊预扩张病变

图9

图10

图11

于后侧支予以2.0*25mm药物球囊以10atm扩张60秒

图12

造影(图12)示无夹层及撕裂,结束手术,安返病房。

图13

术后郝六一主任评价恒宇OCT回撤速度快、图像画面特别清晰、90mm超长回撤、中文界面更符合国人操作习惯,希望在以后的冠脉介入领域能惠及更多的患者及介入医生。

专家简介

郝六一

山西省运城市中心医院

教授,中共党员,硕士研究生导师,运城市中心医院心内一科主任,运城市心血管介入质控部主任,运城市心血管介入委员会主任委员,国家卫建委能力建设中心冠脉介入培训基地负责人。中国医师协会心脏重症青年专家委员会委员,2018年荣获山西省胸痛中心建设先锋人物称号。山西省医师协会心脏康复专 业委员会常务委员。山西省医师协会心血管医师分会 第四届委员会委员,山西省绿色电生理联盟常务委员。山西省医学会心血管病学专业委员会青年委员会委员 及电生理和起搏学专业委员会委员。擅长支架植入术、 电生理检查、射频消融术以及各种疑难、危重心脏病 的诊断和治疗。

阅读数: 2892