武汉亚心总医院苏晞院长团队成功完成一例极低房间隔穿刺高度——DMR 病例

2022年10月13日,武汉亚心总医院苏晞院长团队,在中国结构周(CSW)2022成功完成一例高难度小左房和右房,穿刺高度仅3.64cm的DMR患者的手术演示。在麻醉科、超声影像团队、心脏重症监护室、介入护理团队等多学科的配合下,虽然手术难度极高,但术后即刻效果显著,反流从4+降低至0级。



患者病史:

患者女,67岁。患者近10余年来间断发作心悸不适,自觉心跳快,持续数分钟,曾自服用倍他乐克。近1月余出现劳力性胸闷、气短,患者于2022.08月在当地医院心脏彩超提示二尖瓣后叶脱垂并重度关闭不全。为求进一步诊治来武汉亚心总医院。


入院诊断:

  • 心脏瓣膜病 二尖瓣脱垂并重度关闭不全 心功能II级 (NYHA)

  • 冠状动脉粥样硬化

  • 高血压病3级

  • 结肠癌术后  

  • 轻度贫血   

              

STS Score :Risk of Mortality 5.329%

经苏晞院长团队多次讨论评估,结合患者外科手术风险及其意愿,决定行经导管二尖瓣缘对缘修复治疗。


术前TEE评估

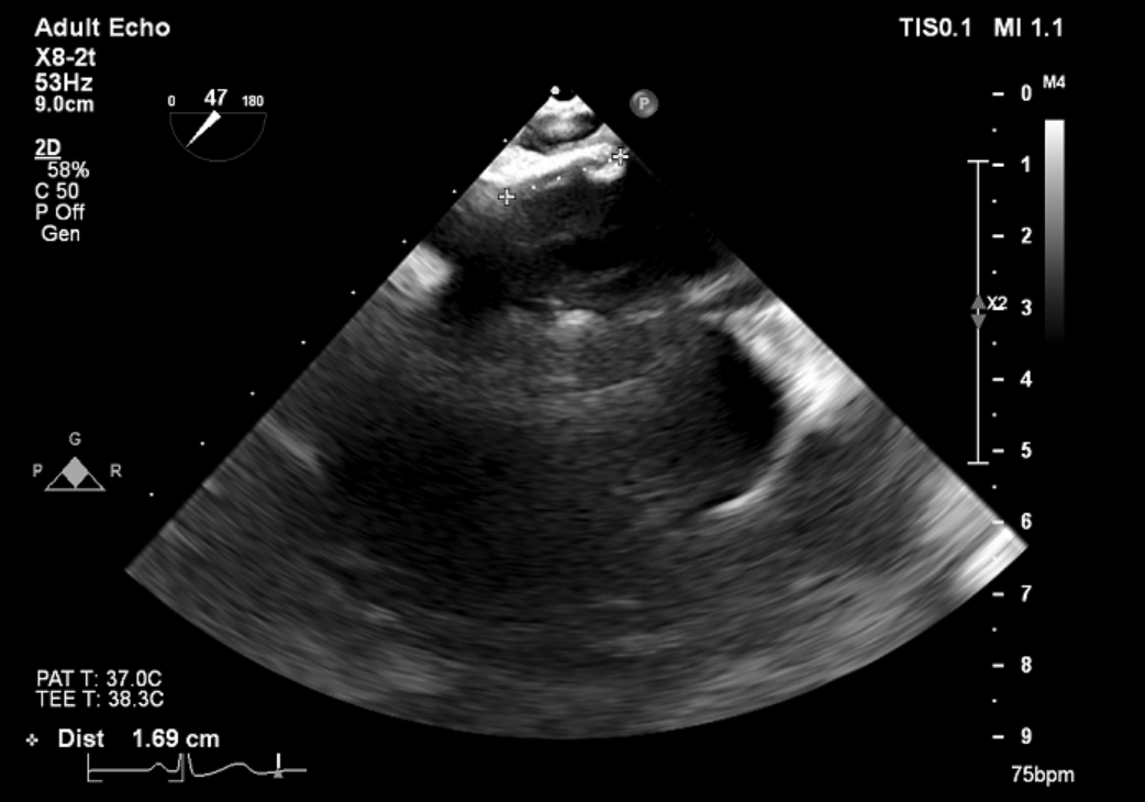
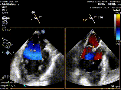
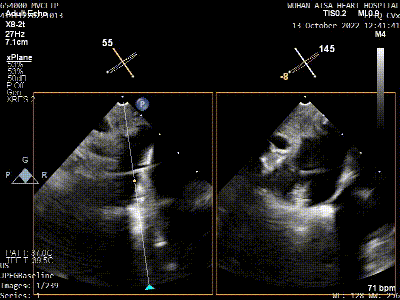
原发性二尖瓣反流(DMR),后叶P3区脱垂,反流程度4+,EROA 0.40cm2、RV 39ml;二尖瓣瓣口面积5.37cm²;二尖瓣前叶(A3)长度14.0mm,二尖瓣后叶长度(P3)长度12.2mm,脱垂宽度8.2mm,脱垂高度1.4mm;RA 2.9cm ,LA 3.6cm,左室射血分数LVEF56%,术前测量最大房间隔穿刺高度4.0cm


术前策略制定

解剖角度来看,脱垂主要位于P3,脱垂范围不大,但房间隔可穿刺高度最大只有4.0cm,较低的穿刺高度对于治疗3区的DMR来说,器械在左房内操作十分受限,是非常挑战的。所以术中穿刺点至关重要,要尽可能创造充足的穿刺高度。


手术过程

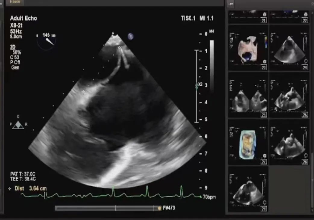
患者全身麻醉消毒铺巾后,建立右侧股静脉入路,在经食道超声指导下房间隔穿刺。根据要求,房间隔穿刺高度至少需要4.0cm,患者本身的解剖结构,左房和右房都比较小,如果选取卵圆窝靠后,靠中上的位置穿刺点高度只有2.6cm,是无法完成整个手术操作的,那么想要在安全的前提下获得更充分的房间隔穿刺高度,考虑选择在房间隔肌部穿刺,采用穿刺针的内芯,PCI导丝,甚至电刀穿刺的方式,都无法突破房间隔。患者的卵圆窝松弛,肌部又硬,苏晞院长团队决定在肌部与膜部交界的位置穿刺,经过精细调整,精准定位,最终以3.64cm的极限高度突破房间隔,而后将MitraClip™可操控导引导管(SGC)送入左心房。

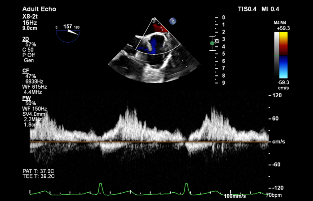
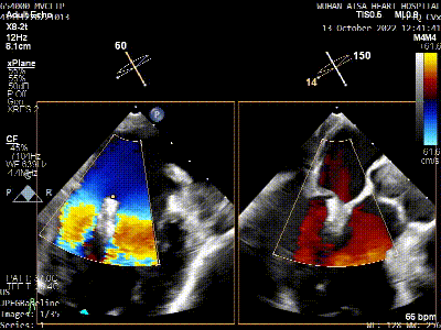
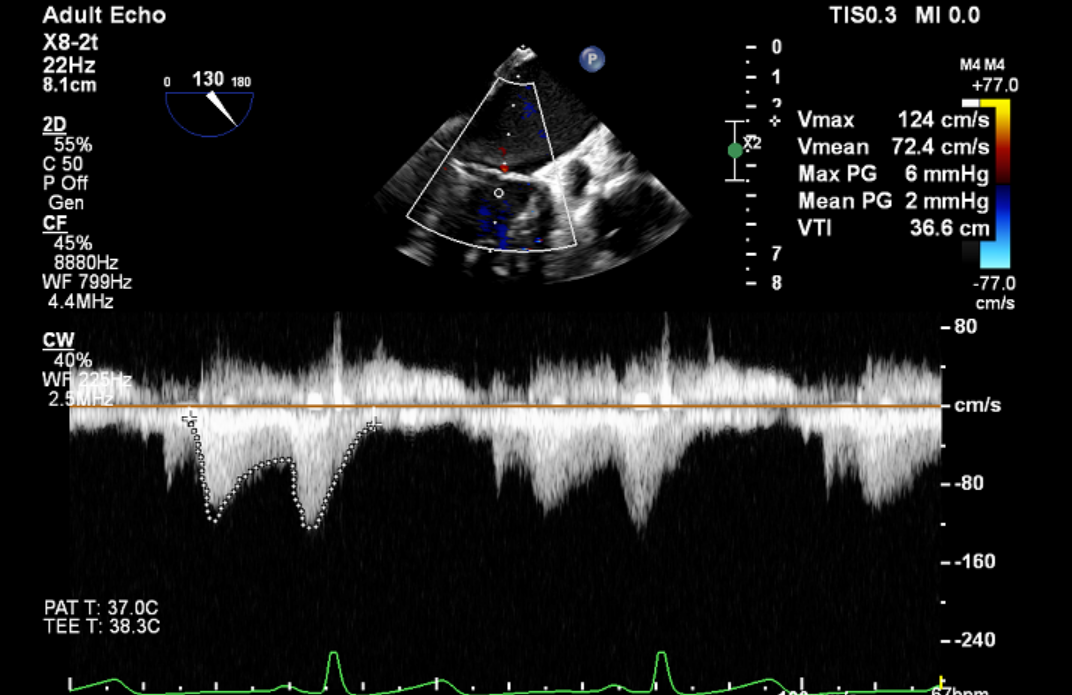
将MitraClip™XTR送入左房,由于左房太小,在达到骑跨过程中反复推进回撤CDS和稳定器,同时旋转SGC,达到骑跨的同时,保证Clip头端游离,且SGC在左房有深度。旋转M,同时顺时针往后旋转SGC借高度,使Clip垂直二尖瓣环平面,由于穿刺高度不够,Clip直接进入左室,这意味着操作要十分小心,左室组织复杂,稍有不慎将会造成组织损伤。使用A/P Konb中“A”旋钮借高度。确认垂直后,直接在左室打开Clip,3D外科视角,逆时针旋转使Clip夹臂处于11点-5点方向,回拉稳定器,使Clip处于3区脱垂区域,用“+/-”Knob中的“-”旋钮,使Clip更往后叶的同时增加操作高度,抓捕脱垂的瓣叶,关紧Clip后,反流从4+降低至0级,平均跨瓣压差2mmHg,左右肺静脉逆流均改善。前后叶活动度降低,后叶插入长度9mm,前叶插入12mm, 确认稳定性后释放Clip。释放后,即刻效果十分满意,手术圆满结束。



阅读数: 1106