首都医科大学附属北京潞河医院成功完成首例经心尖TAVR救治高龄重症患者

主动脉瓣病变是临床常见的一种结构性心脏病(包括狭窄或关闭不全),通常有效治疗是采用正中开胸、体外循环下人工主动脉瓣膜置换术,但该手术创伤及风险较大,尤其对高龄、重症,伴发疾病较多的患者,难以耐受开胸手术。法国医生Cribier教授自2002年首次报道TAVR以来,在20年的时间里,其安全性和有效性被不断的得到验证,目前已经成为高龄、高危且症状较为明显的主动脉瓣狭窄患者的标准治疗方案。而在中国,主动脉瓣反流的患者也普遍存在,对于重度反流且高龄高危的患者而言,开胸手术有很大的风险或明确的禁忌症。普通的长支架瓣膜仅具备治疗主动脉瓣重度狭窄的资质,因此在治疗反流方面是off-label的。而经心尖的J-valve瓣膜很好的填补这一空白。

首都医科大学附属北京潞河医院心外科杨海平教授团队实施了一例高龄重症经心尖主动脉瓣膜置换术。

患者男性84岁,3年来因胸闷,憋喘等症状于外院多次就诊,诊断为心力衰竭,药物治疗后病情反复,患者苦不堪言。此次入院后心脏超声提示主动脉瓣重度关闭不全,二尖瓣中—重度关闭不全,射血分数35%。科内讨论鉴于患者高龄,伴发疾病多,难以耐受常规开胸体外循环辅助的瓣膜置换手术,经心尖TAVR手术是其最佳选择。在医院领导支持下,医疗部组织全院讨论,多次召开协调会,经精心准备8月24日手术在杂交手术室如期进行,全麻后手术顺利实施,食道超声及主动脉根部造影显示瓣膜位置良好、开闭自如,复查超声提示主动脉瓣无反流,二尖瓣反流减轻,心功能改善,9月5日顺利康复出院。

术后一月复查如下:

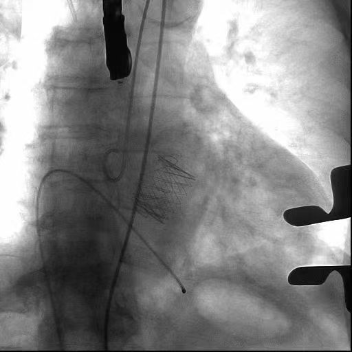
术中瓣膜释放演示:

杨海平教授手术团队:

J-Valve是中国首个原研、原创国际领先,且具备自主知识产权的介入人工生物心脏瓣膜,也是目前全球唯一能经导管介入有效治疗主动脉瓣狭窄或关闭不全的装置系统。J-Valve系统在解决主动脉瓣膜病变问题方面具有独特的优异性,经心尖TAVR在治疗主动脉瓣膜病变方面安全、可靠,是解决高龄、高危、外科手术禁忌患者主动脉瓣问题的良好方法。

  +

+

杰成J-Valve瓣膜具有以下优势:


1

冠脉保护,几乎无阻挡;

2

输送系统段,操作方便;

3

定位件的设计使TAVR在AR中安全有效;

4

起搏器植入率低;

5

适用面广;

6

导丝跨瓣简便;

7

输送系统短,同轴性好;

8

受外周、横位心影响小;

9

辐射剂量及造影剂用量少。



专家简介

杨海平

首都医科大学附属北京潞河医院

博士、主任医师、首都医科大学副教授、硕士研究生导师,首都医科大学附属北京潞河医院心脏外科行政主任首都医科大学心脏外科学系系务委员会委员,中国老年保健协会心血管疾病预防与康复专业委员会常务委员,中国医疗保健国际交流促进会肺癌预防与控制分会肺癌微创诊断与治疗学组委员,中国研究型医院学会心房颤动专业委员会委员,亚洲心脏瓣膜病学会中国分会心脏瓣膜病介入治疗技术委员会委员。   

阅读数: 1728