病例荟萃第十八期|严治涛:Telescope™导引延长导管应用复杂病变1例

严治涛  广元市中心医院


简要病史


田XX,女,66岁,以“反复胸闷1+年”入院。

现病史:入院前1+年患者于活动后出现胸闷不适,位于胸骨中下段,呈压榨样,伴有背部放射,且有全身少许出汗及乏力,无胸痛、心悸、黑矇、晕厥等症状,持续约10+分钟左右,休息后可缓解。病后多次就诊于文县第一人民医院,诊断为“冠心病”,给予相关对症治疗,出院后长期服用“地奥心血康”等药物,但患者自觉胸闷仍反复发作遂来我院就诊。 

既往有高血压病,最高血压180/?mmHg,自服降压药物(具体不详),血压未规律监测 。 

无吸烟史,家族史无特殊记载。

入院查体:T:36.5℃,P:82次/分,R:20次/分,BP:165/99mmHg,发育正常,营养中等,慢性病容,检查合作,步态正常,神志清醒。口唇无发绀,颈静脉无怒张,双肺呼吸音正常,未闻及干湿啰音,心界不大,心率82次/分,节律齐,心音正常,各瓣膜听诊区未闻及杂音,腹部无明显异常,双下肢不肿。


检查结果

  • 2022-03-20 10:58 血常规:白细胞数目 4.77×10^9/L、中性粒细胞数百分比 58.40 %、红细胞数目 3.16×10^12/L、血红蛋白 97 g/L、红细胞压积 30.7 %、血小板数目 190×10^9/L。

  • 2022-03-20 10:52 肾功:尿素 2.87 mmol/L、肌酐 70 umol/L、尿酸 160 umol/L、二氧化碳结合力 27.8 mmol/L、胱抑素C 1.05 mg/L。

  • 2022-03-20 10:52 血脂:总胆固醇 3.04 mmol/L、甘油三脂 0.86 mmol/L、高密度脂蛋白胆固醇 0.86 mmol/L、低密度脂蛋白胆固醇 1.65 mmol/L。

  • 2022-03-20 10:52 葡萄糖:4.46 mmol/L。

  • 2022-03-22 15:26 粪便检验:黄色软便,隐血试验阴性(-)。

  • 凝血试验、肝功、电解质均无明显异常。

  • 2022-03-17 心电图:窦性心律,V3-V6导联ST段压低,T波低平或浅倒。

  • 2022-03-17 心脏彩超:左房偏大(LA:35mm);主动脉窦部及升部偏宽;室间隔增厚(IVS:12mm);主动脉瓣轻度反流;左室收缩功能测值正常(EF:62%),舒张功能减退;少量心包腔积液。

  • 2022-03-20 胸部CT扫描:1.双肺散在炎变,右肺中叶及右肺下叶部分实变,右膈面上抬;双侧胸腔少量积液。2.左肺下叶肺大疱。3.心脏增大,心包腔少量积液,冠状动脉、主动脉及分支血管壁局部钙化,肺动脉主干增宽。

临床诊断

冠心病、稳定型心绞痛

高血压病3级(极高危)

术前用药

  • 阿司匹林

  • 替格瑞洛

  • 瑞舒伐他汀

  • 美托洛尔缓释片

  • 培哚普利

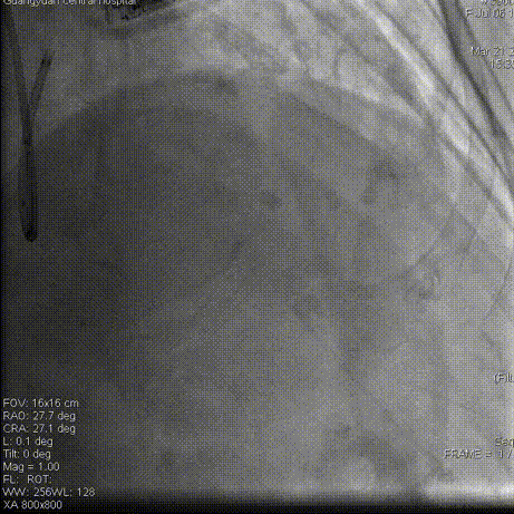
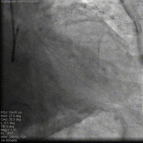
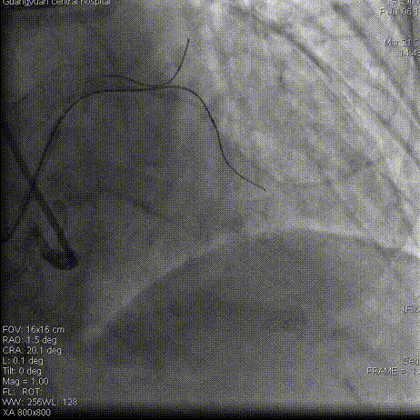
冠脉造影

左冠造影:左冠状动脉主干未见明显狭窄,前降支近中段慢性闭塞;回旋支近中段狭窄90%。

右冠造影:右冠状动脉近中段可见斑块,后降支近段狭窄60%。右冠远端可见向前降支中远段侧枝供血。

双侧造影:前降支近中段闭塞段清晰可见。

手术策略和器械选择

手术策略:拟正向开通前降支闭塞病变。

器械选择:

  • 指引导管:6F EBU3.5(美敦力)、6F JR4.0(美敦力

  • 微导管  

  • 导引钢丝:Sion、XT、Gaia2

  • 预扩球囊:1.2mm×12mm、2.0mm×15mm

  • 导引延长导管:Telescope™ 延长导管(美敦力)

  • 支架:2.5mm×23mm、2.75mm×29mm

  • 后扩球囊:2.75mm×15mm


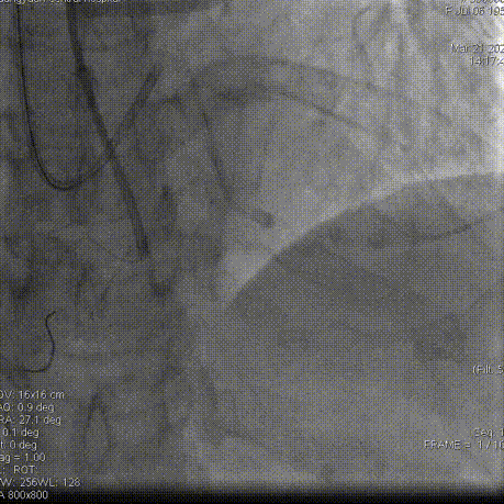
介入经过及结果

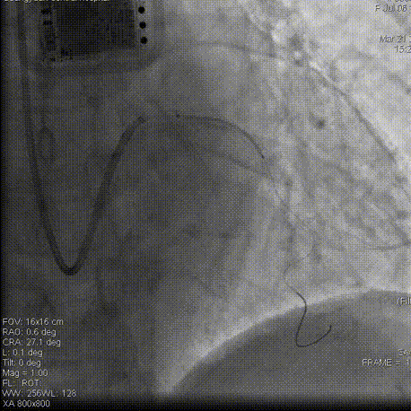
Gaia2通过闭塞段,交换为工作导丝,因左冠前降支扭曲,支架难以通过,在Telescope™ 导引延长导管支持之下顺利释放2枚支架

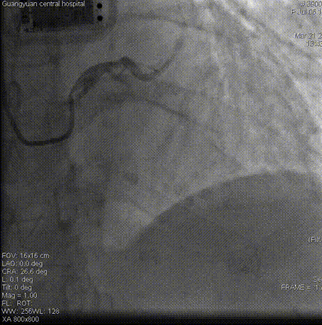
术毕影像


PCI术后结果及随访

即刻结果:提高手术安全性,提高手术效率。该款导引延长导管在此次使用过程中未发生器械不良事件。

远期结果:随访该患者目前病情控制良好,无特殊不适。

Telescope™导引延长导管经验体会及总结

复杂冠脉介入治疗中合理使用导引延长导管至关重要。

Telescope™ 导引延长导管在冠脉内输送性及介入器械在该导引延长导管内的输送效果良好

Telescope™ 导引延长导管支撑力优良

专家介绍

-  严治涛  -

广元市中心医院

博士学位,硕士研究生导师,主任医师,现任广元市中心医院心脏中心主任,广元市中心医院心血管内科科主任,中国高血压联盟第六届理事会理事,中国老年医学会高血压分会委员,中国医师协会第二届高血压专业委员会青年委员,中国医促会高血压分会委员,中国医促会难治性高血压与外周动脉分会委员,新疆医师协会高血压专业委员会青年委员。

擅长于继发性高血压、疑难高血压及高血压外周血管并发症的诊疗。曾建立省级继发性高血压筛查平台和继发性高血压筛查流程,熟练开展高血压相关介入技术,包括:肾上腺静脉取血、肾上腺瘤、肾上腺增生的化学消融术、肾动脉交感神经射频消融术,肾动脉狭窄介入治疗及外周动脉的介入治疗等。同时,擅长于复杂冠心病的介入治疗。可熟练开展左主干分叉病变,弥漫性迂曲钙化病变、CTO病变的介入治疗。 

长按二维码关注“一脉同行”

阅读数: 462