透视无显影双生物瓣毁损:安贞医院张海波教授团队多次成功应用打断瓣环和介入瓣中瓣技术完成高风险患者救治

近日,安贞医院心外科瓣膜中心张海波教授团队,在纪智礼书记和张宏家院长大力支持下,瓣膜中心王坚刚主任、王盛宇主任,以及郑帅、孟斐、胡秋明、李岳环、吴凯胜、沈经纶等医师,麻醉卢家凯主任、王承斌、武威医师,超声张纯主任、付佳荣医师等多次讨论手术方案,并提交全院心外科质量委员会专家集体讨论,精细准备,利用J-Valve介入瓣膜成功为一位主动脉瓣和二尖瓣生物瓣衰败外科再次开胸高风险患者进行双瓣瓣中瓣植入术,术后瓣膜功能良好,患者心脏功能和精神状态较术前明显改善,由卧床几个月难以活下地,术后很快就可以自主活动。

患者基本信息

主诉:阵发性胸闷6年,加重3月。

现病史:患者6年前爬坡时出现胸闷,不伴胸痛。3月前患者胸闷症状加重,夜间阵发性呼吸性困难,端坐呼吸。于当地医院急诊就诊,给予强心利尿,效果不明显,为进一步诊治来安贞医院就诊。

手术史:患者于2011年外院行主动脉瓣和二尖瓣生物瓣置换术,术前诊断:1、主动脉瓣狭窄,二尖瓣关闭不全;2、三尖瓣关闭不全;3、肺动脉高压。术后病理诊断:主动脉瓣和二尖瓣退行性病变的瓣膜组织。患者于4年前因术后出现房室传导阻滞行永久起搏器植入术。

超声报告提示

1.人工瓣功能障碍:二尖瓣人工生物瓣狭窄(中重度),主动脉瓣人工生物瓣狭窄(中度)并关闭不全(重度);

2.三尖瓣反流(中度);

3.全心增大,左室肥厚,肺动脉主干及其分支增宽。

临床诊断:双人工生物瓣衰败,肺动脉高压。

手术方案

经心尖主动脉瓣+二尖瓣生物瓣中瓣(ViV)植入术(J-Valve)。            

原主动脉瓣生物瓣型号:进口生物瓣 21MM,支架内径18.5mm,术前CT评估提示开口直径最大17.6mm,选用外径为20mm的PTA球囊导管 ATLAS® GOLD(巴德球囊,见图)打断主动脉瓣环(10-12KPa)后选用21mm J-Valve瓣膜;

原二尖瓣生物瓣型号:进口生物瓣 27MM,支架内径24mm,选用25mm J-Valve瓣膜。

手术难度

1.心尖一个穿刺点进行双瓣毁损的介入瓣中瓣技术,两个生物瓣和两个介入瓣的互相空间结构,互相影响的风险,以及心尖部位出血风险,轨道建立都有一定难度。

2.此次病例双生物瓣的瓣环均透视下不显影,即便造影模式也分辨不清楚瓣环,只能依靠三维超声引导下完成,术前的CTA扫描细节和结构特点预备方案,以及外科团队的经验尤为重要。

3. 此病例双生物瓣毁损,主动脉瓣内径较小,需要进行球囊打断瓣环再完成介入瓣中瓣技术。

术前CT分析

1.主动脉瓣生物瓣置换术后:原生物瓣环显示不清,开口面积周长折算直径最大17.6mm。

2.双侧冠脉开口高度LCA:12.8mm,RCA:14.3mm。

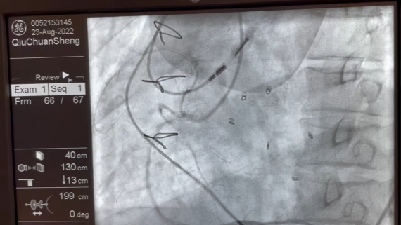
3.术中造影角度LAO:13°,CRA:26°。

二尖瓣

1.二尖瓣生物瓣换瓣术后:原生物瓣金属环平均内径24.6mm,外径27.2mm,瓣架高度18.0mm;

2.AV-MV double S curve :RAO 61°/ CAU 50°.此角度为二尖瓣主动脉瓣最佳观察位;

3.左心室和二尖瓣轴线角度:145°;

4.主动脉-二尖瓣角度:113°;

5.术中最佳投射角度:RAO 57° / CAU 14°;

6.左室大小:106.5*54.0*46.1mm。

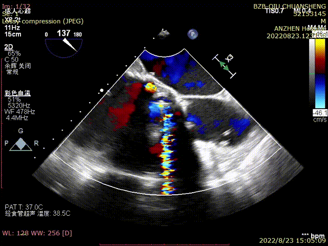
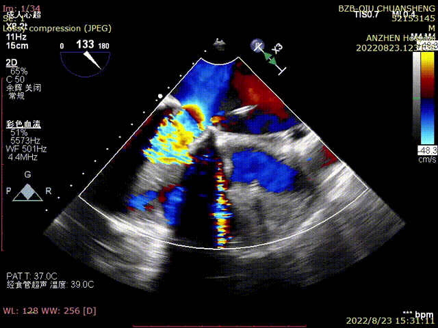
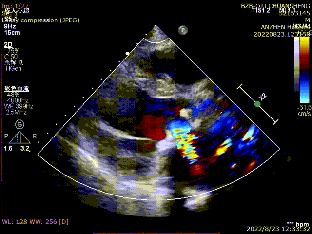
术中影像

TEE-TMVIV-3D-撤出介入器

TEE-TMVIV-导丝过瓣

TEE-TMVIV-3D-撤出介入器 

TEE-第一个TAVR后大量PVL 

TEE-第二个TAVR后PVL明显减少

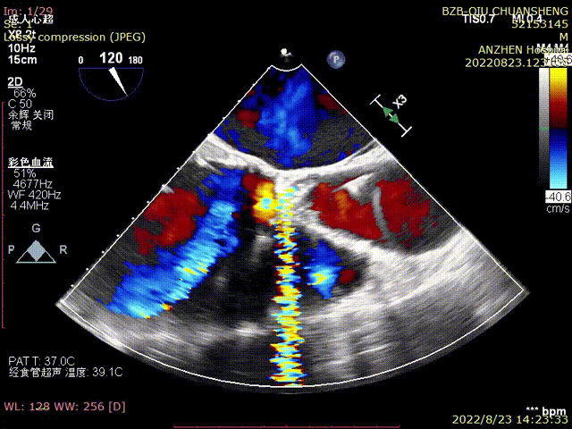
TTE-各大瓣膜反流(CDFI)

TTE-左室长轴-二尖瓣生物瓣+主动脉瓣生物瓣(CDFI)

总结

患者术后主动脉瓣及二尖瓣跨瓣压差明显下降,瓣膜稳定,无明显瓣周漏,患者精神状态良好,一周后顺利出院。外科生物瓣以组织亲和力佳,无需长期服用抗凝药物等优点常被用于高龄瓣膜疾病的患者人群中,其理论寿命为10-15年,但实际发生衰败的年限往往小于10年,而对于这类高龄患者,再次开胸换瓣的风险很大,术后死亡率较高。随着介入瓣膜的不断推广,瓣中瓣技术逐渐被应用于上述生物瓣衰败的患者人群中。J-Valve瓣膜为短支架瓣膜,其独特的定位件设计使其再瓣中瓣手术时无需过多的Oversize即可牢固的锚定在衰败的生物瓣瓣环处。同时,其顶端的波浪状设计,可与生物瓣瓣脚间的凹槽完全吻合,有效的降低了冠脉阻塞和左室流出道发生梗阻的风险,在主动脉瓣瓣中瓣和二尖瓣瓣中瓣技术中具有同类产品无可比拟的优势。

生物瓣如果原有瓣膜尺寸太小,直接植入介入瓣膜容易造成介入瓣展开不全,残余压差太大的问题,强力球囊打断瓣环的介入技术可以有效地扩大一些原来生物瓣瓣口面积,方便植入大一号的介入瓣膜。不同品牌的生物瓣所承受的打断瓣环压力也有不同,除了HANCOCK II等少数瓣膜之外,多数生物瓣都可以介入办法打断瓣环,主要在主动脉瓣瓣环较小时候采用,二尖瓣生物瓣绝大多数瓣环大小合适很少采用打断瓣环技术。当然这个技术有一定难度和风险,建议在有经验的大中心实施。

外科生物瓣不同品牌的透视显影效果差异比较大,人工瓣环处的金属或者塑料成分决定着透视分辨率,如果瓣环处显影不清楚将会加大术者判断植入瓣膜的深度,严重者会造成介入瓣脱失,只能开胸取出。这类显影不清楚的生物瓣提前的胸片透视可以帮助提醒术者注意提前预案,CTA分析详细结构和瓣膜位置特点,术中结合三维超声和造影等信息有助于安全完成介入瓣中瓣手术。

  +

+

杰成J-Valve瓣膜具有以下优势:


1

冠脉保护,几乎无阻挡;

2

输送系统段,操作方便;

3

定位件的设计使TAVR在AR中安全有效;

4

起搏器植入率低;

5

适用面广;

6

导丝跨瓣简便;

7

输送系统短,同轴性好;

8

受外周、横位心影响小;

9

辐射剂量及造影剂用量少。

专家简介

张海波

首都医科大学附属北京安贞医院

心外科主任医师、研究生导师、九病区副主任,长期进行瓣膜病、房颤、心脏移植等研究,主持国自然和参加国际课题十余项。兼任中华医学会胸心血管外科分会青委、中国医师协会瓣膜病/心脏移植学术委员会秘书长、中国心胸血管麻醉学会体外生命支持分会常委。获得北京市科委科技新星、北京市委组织部优秀人才、北京市科技进步奖、教育部科研优秀成果奖、北京市卫生局学科骨干、北京市卫生局“十百千”优秀卫生技术人才、北京市优秀青年知识分子。

阅读数: 933