病例荟萃第十七期 |崔贺贺:Telescope™导引延长导管辅助开口异常的RCA闭塞病变介入治疗一例

崔贺贺  首都医科大学附属北京友谊医院


简要病史


49岁男性。主因“间断胸闷2年余,再发1月”入院。

【现病史】患者2年余无明显诱因出现胸闷,无胸痛、大汗,无放射痛,持续数秒可自行缓解,发作与活动无关,于我院完善冠脉CTA提示冠心病,遂行冠脉造影示三支病变,左优势供血,LAD近段狭窄70-90%,LCX之OM,狭窄90-99%,非优势RCA狭窄70-90%,遂于LAD病变处植入3.0×21mm支架1枚,LCX及OM分叉病变植入2.75×29mm、2.75×24mm支架2枚。出院后患者规律口服冠心病二级预防药物,症状未再发作。近1月患者无诱因再次出现胸闷,性质与前一致,为进一步诊治入院。

【危险因素及其他病史】高脂血症2年,慢性支气管炎10年,吸烟史27年,20支/天,已戒烟2年。父健在,母因脑出血去世,1兄体健,爷爷因心梗去世。


检查结果-查体及化验

【体格检查】体温:36.2℃,脉搏:58次/分,呼吸:18次/分,血压: 右上:108/ 74mmHg,左上:133/87mmHg,SPO2:98%(未吸氧)。体重75kg,身高165cm,BMI27.5kg/m2,腹围89cm。心率58次/分,律齐,心肺腹查体未见明显异常。双下肢无水肿,双足背动脉搏动可。

【实验室检查】

TnI 0.048 ↑ng/mL,CK-MB 2.30 ng/mL;

NT-proBNP 579 pg/mL,Cr 69.0 umol/L;

ALT 41 U/L;

血常规及C反应蛋白:(-);

总胆固醇 3.40 ↓mmol/L, LDL-C 2.18 ↓ mmol/L;

TG 1.61 mmol/L,  Hcy 10.1 umol/L,HbAIc 6.00%。

检查结果-ECG&UCG

检查结果-冠脉CTA(2020年)

RCA开口于接近左冠窦的窦间

检查结果-查体及化验

冠状动脉粥样硬化性心脏病

NSTEMI

心功能Killip1级

三支病变(累及LAD、LCX、RCA)

LAD-PCI术后、LCX-PCI术后

高脂血症

慢性支气管炎

【风险评估】

TIMI评分4分(中危)

GRACE 83分(低危)

CRUSADE 11分(低危)

【用药情况】

•拜阿司匹灵肠溶片 100mg qd 

•硫酸氢氯吡格雷片  75mg qd 

•琥珀酸美托洛尔缓释片 23.75 mg qd 

•阿托伐他汀钙片 20mg qn

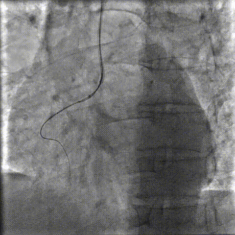
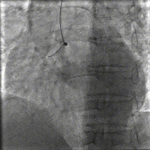
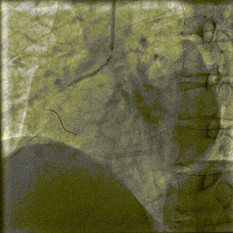
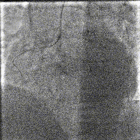
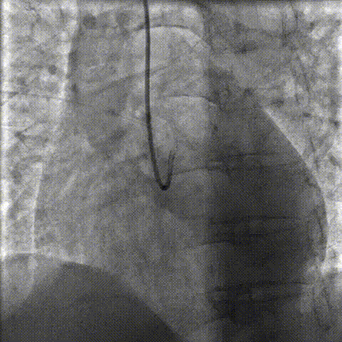
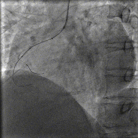
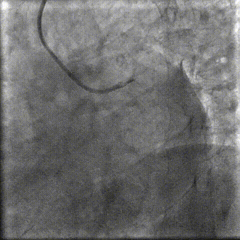
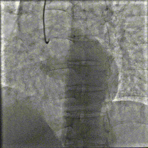
冠脉造影

CAU30

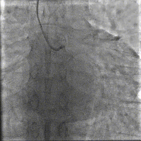
CRA30:LCA-RCA侧支

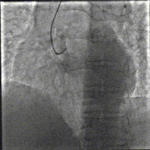
SPIDER

LAO30 2020年 (SAL1.0)

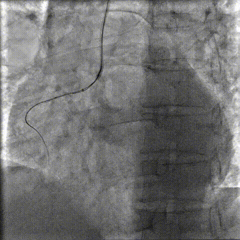
LAO30 2022 (JL4)

手术策略和器械选择

病例特点:近期闭塞病变;开口异常。

近端分支小,难以锚定分支,GC支撑力差。

美敦力,6F,JL4.0;

ASAHI,FielderXT×1;Runthrough GW×1;

微导管:APT Instantpass,130cm×1;

Guiding同轴困难时可使用导引延长导管。

介入经过及结果

XT进入病变

GC脱出,重新到位

Emerge2.0×12 双导丝+近端锚定

XT通过病变

Telescope™改善同轴性

Sprinter,1.25×15 @16atm

手术策略和器械选择

导引延长导管的选择及应用

•美敦力,Telescope™ 6F×1 

•开口异常的冠脉病变需要更好的稳定支撑:双导丝、近端锚定。 

•导丝通过后立刻使用Telescope™ 6F方便进一步操作。 

•导引延长导管操作过程中的作用:改善同轴性、增强支撑力、稳定操作系统。 

•Telescope™中双导丝增强支撑可使操作更为稳定。

介入经过及结果

Emerge2.0×12 @12atm

更换为Runthrough 造影

NSE,2.0×13@12atm扩张

2.0×20 药物球囊@10atm

远端受累:血肿?夹层?斑块移位?

XT在MGC支撑下到达分支远端

Sprinter ,1.25×15@16atm

Emerge2.0×12 @12atm

B型夹层,血流通畅,结束手术


Telescope™的操作过程及优势

增强支撑力:闭塞病变

改善同轴性:异常开口

稳定操作系统:方便操作

Telescope™ 6F


PCI术后结果及随访

RCA术后TIMI 3级血流,观察后夹层未进展,术后超声无心包积液。 

血管虽小,病变复杂(脆、硬,无支撑) 

拜阿司匹灵肠溶片 100mg qd

硫酸氢氯吡格雷片  75mg qd

琥珀酸美托洛尔缓释片 23.75mg qd

阿托伐他汀钙片 20mg qn

依折麦布 10mg qd


经验体会及总结

Telescope™的操作体会

Telescope™能够为指引导管不易入冠的冠脉开口提供更好的同轴性。 

RCA异常起源优先使用Telescope™,改善指引导管同轴性与冠状动脉开口稳定性。 

稳定的操作系统能够在输送药物球囊时更快到达靶病变,并且在处理术中并发症时更从容应对。

专家介绍

-  崔贺贺  -

首都医科大学附属北京友谊医院


首都医科大学附属北京友谊医院心脏中心主治医师,北京协和医学院阜外心血管病医院心内科博士毕业,克利夫兰诊所冠脉介入访问学者;主要方向为冠心病介入与微循环保护,尤其冠脉腔内影像学与功能学检测。主持负责国家自然科学基金及北京优秀青年人才项目,发表SCI论文及核心期刊论文多篇,研究结果于多次国际会议上如ACC(美国心脏病学院年会)、TCTAP(亚太经导管介入治疗会)、AHA-BCVS(美国心脏病协会基础医学会)、ESC(欧洲心脏病协会年会)上发表交流,参译多本专业书籍如《克利夫兰心内科手册》、《急诊心脏图谱》、《冠脉狭窄与微循环生理学评价》、《冠状动脉影像与生理学》、《血脂代谢异常》等。

长按二维码关注“一脉同行”

阅读数: 541