病例荟萃第十六期 | 周琦:应用Telescope™导引延长导管处理迂曲RCA病变1例

周琦 首都医科大学附属北京中医医院


简要病史


患者女性,70岁;

阵发胸闷痛1月,加重2天;

高血压/反流性食管炎/高脂血症/陈旧性脑梗死/过敏性鼻炎;

心电图:大致正常心电图。


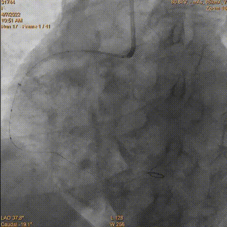
冠脉造影

  • 不稳定性心绞痛

  • 高血压病

  • 高脂血症

  • 陈旧性脑梗死

  • 反流性食管炎

  • 过敏性鼻炎

冠脉造影

LCA大致正常

RCA迂曲远段中重度狭窄

手术策略和器械选择

手术策略:本患者主要病变为右冠状动脉远端病变,狭窄较重,可以PTCA治疗,酌情使用药物球囊。

导引延长导管的选择及应用:近端迂曲,在球囊通过困难时刻考虑应用导引延长导管。


介入经过及结果

2.5×12mmSprinter球囊以12atm×5s、14atm×5s扩张RCA中远段狭窄病变


Telescope™的操作过程及优势

预扩球囊送入困难,通过迂曲血管段轻度受阻,为减少药物球囊释放时间,增加手术成功率,送入Telescope™导引延长导管,然后沿导引延长导管快速送入2.75×16mm药物球囊至病变处。

2.75×16mm Vesselin药物球囊

以12atm×40s充分扩张

最终造影结果


经验体会及总结

冠脉迂曲病变器械通过困难,处理过程中应用Telescope™导引延长导管可以有效提供额外支撑,同时对于药物球囊使用在Telescope™导引延长导管的辅助作用下可以加快药物球囊的输送速度,最大化药物局部释放疗效,取得良好的临床结果。

专家介绍

-  周琦  -

首都医科大学附属北京中医医院


首都医科大附属北京中医医院 副主任医师,心血管重症监护病区 主诊医师,北京中医医院顺义医院 心血管科主任,国家卫健委冠心病/心律失常(植入与消融)/介入资质术者,日本草津心脏中心(JP-KHC)访问学者,美国斯坦福大学医学中心(STU-MCC)访问学者,北京中医药学会心血管专业委员会常务委员,北京中西医结合学会脑心同治专业委员会秘书长,北京医学会心血管病分会青年委员,中华中医药学会心血管病分会委员,中华中医药学会介入心脏病学分会青年委员,中国中西医结合学会心血管病专业委员会青年委员,世界中医药学会联合会介入心脏病专业委员会委员。

长按二维码关注“一脉同行”

阅读数: 470