南昌大学第二附属医院心脏大血管外科成功完成江西省内首例经心尖二尖瓣夹合手术(Valve Clamp)

日前,南昌大学第二附属医院心脏大血管外科徐建军院长团队协同心脏超声科、麻醉科、重症监护室、中心手术室等多个科室,在复旦大学附属中山医院心外科魏来教授、超声诊断科李伟医生的协助下,在红谷滩三角洲院区外科手术室成功完成江西省首例经心尖二尖瓣夹合手术(Valve Clamp)

据心脏大血管外科病区吴永兵主任医师介绍,本次手术在单纯超声指导下完成,导管操作时间40分钟左右,术后患者二尖瓣反流降到轻微反流,患者恢复良好术后第二天即转入普通病房,目前患者已出院。

病例

患者:肖某某,男性,75岁

主诉:活动后胸闷气促 4 月余,加重 25 天。

术前诊断: 1、二尖瓣脱垂伴关闭不全 2、心功能 III 级 3、高血压 4、脑梗死 5、陈旧性肺结核

心超数据:【二尖瓣相关参数】二尖瓣后叶下腱索断裂。二尖瓣后叶脱垂并重度偏心性反流(继发性:Carpentier II型);

P3+PC区脱垂连枷,脱垂范围约11×8mm,前叶A3区瓣体长度:16mm,后叶P3区瓣体长度:13mm。

手术过程

图1-2,术前心超显示大量偏心性二尖瓣反流(反流位置位于P3近PC位置)

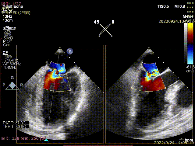
图3,由于患者反流位置位于3区偏交界,在MultiVue模式指导下进行操作

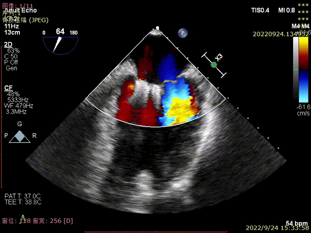
图4,夹子植入后消除P3区反流,残余P3偏P2区反流

图5-7,第二夹子植入后,反流降至轻微,术后平均跨瓣压差3mmHg

难点分析

该患者为原发性二尖瓣反流患者,病变位置偏P3+PC。目前国内外专家对该类非典型病例患者的TEER治疗尚刚刚起步。
由于非2区病变患者瓣膜反流位置较偏,操作器械系统输送到达目标位置困难、同时食道超声与器械存在夹角,需要使用具有MultiVue(三维重建)功能的超声机器,且手术中缠绕腱索的风险增大,该类患者往往在筛选期就被拒绝难以得到救治,而ValveClamp系统通过心尖操作,选取最佳穿刺点,仅40分钟就植入2枚夹子,消除大部分反流达到满意的手术效果,充分显示器械操作便利性、高效性

该例手术的成功,标志着江西省二尖瓣反流经导管介入治疗方面取得新突破,该技术未来将造福更多省内二尖瓣反流患者。   

图8,手术过程与手术术中剪影

图9,患者术后第2天下床走动视频

医院介绍

南昌大学第二附属医院心脏大血管外科是江西省心胸外科的发源地,经过几代人的努力与奋斗,目前已发展成为集医疗、科研、教学为一体,具有可持续发展的重点临床学科;成为立足江西、影响区域的心脏大血管外科治疗中心。

学科为“儿童两病免费救治”工程和江西省革命老区爱心基金会医疗救助定点治疗单位,是江西省第一批获得外科学(胸心外)硕士、博士学位授予单位,2003年被江西省卫生厅确认为江西省医学重点专科、领先专业学科;2017年以全省第一名的成绩入选国家疑难疾病诊治能力提升工程中心,2019年被确认为国家主动脉夹层动脉瘤诊疗省域重点疾病领域专科建设项目,江西省“主动脉夹层动脉瘤专病联盟”(省内唯一);2020年获批南昌大学心脏大血管外科治疗研究所及江西省心血管病诊疗中心(重要科室之一)。
专科特色

科室已搬迁至红角洲院区,拥有普通床位53张,心脏重症监护室床位29张。

科室设大血管组、瓣膜病组、先心病组、冠心病组、体外循环组及心脏重症监护等6个亚专科,设备齐全,技术力量雄厚,年手术量突破1000例,其中大血管手术约200例,微创心脏瓣膜手术已进入全国领先行列,在省内率先开展全主动脉置换术、微创心脏手术、心血管疾病杂交手术、不停跳冠脉搭桥术、心脏移植术,其中2003年完成的1例心脏移植患者是省内存活时间最长,开创了省内心脏移植新记录。

学科关键技术开展情况:

近三年开展关键技术覆盖率为95.65%,能够开展一系列具有国内领先水平的心脏手术:包括不停跳冠状动脉旁路移植术、微创小切口冠状动脉旁路移植术;胸腔镜辅助或微创小切口瓣膜置换或成形术、经心尖介入主动脉瓣置换术(TAVI手术);保留主动脉瓣主动脉根部置换和冠状动脉移植术(David手术)、主动脉瓣和升主动脉置换和冠脉移植术(Bentall手术)、主动脉弓人工血管置换术、微创小切口升主动脉人工血管置换术;经皮、经胸先天性心脏病封堵术、复杂先天性心脏病矫治术、心脏移植术等各类心脏手术;能完成各种急、危重症心血管病心脏手术麻醉、体外循环、大血管深低温停循环及体外膜肺氧合(ECMO)、主动脉内球囊反搏(IABP)、血液净化技术(CRRT)等人工心肺支持及特殊器官支持治疗。
阅读数: 3743