强强联合 实力首秀 | 复旦大学附属中山医院钱菊英教授应用微创阿格斯™OCT指导完成复杂PCI一例

在如今全面迈入精准化PCI的时代,腔内成像技术OCT已经成为指导优化PCI的强大辅助。2020年底,苏州微创阿格斯自主研发的ArgusClarity®OCT成像系统、NOPURGE®成像导管正式获批上市,为更多患者提供延长和重塑生命的冠心病全解医疗方案。

2022年9月27日,我国PCI领域资深专家、复旦大学附属中山医院钱菊英教授在微创阿格斯™OCT腔内成像系统指导下完成一例多支病变的精准PCI治疗。这是微创阿格斯™OCT系统上市后首次在中国最高医学殿堂之一的复旦大学附属中山医院成功亮相,也再次肯定了国产OCT系统的过硬实力,为患者提供了诊疗新选择。值得一提的是,复旦大学附属中山医院也是微创阿格斯™OCT上市前临床研究的临床中心之一,钱菊英教授见证并参与了微创阿格斯™OCT系统诞生的全过程。

病例回顾

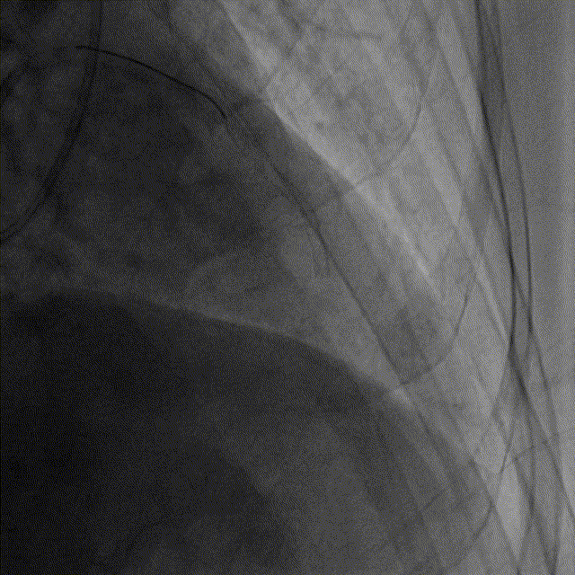
进行手术演示的患者为68岁男性,以“反复胸闷2月”入院,1月余前于外院行LCX-PCI。此次入院冠脉造影示LAD近中段弥漫性狭窄40-60%,中远段弥漫性狭窄70-80%;LCX原支架通畅;RCA近中段弥漫性狭窄80-85%。考虑到RCA狭窄程度更为严重,管腔更小,因此术者决定先对RCA进行干预。

入院冠脉造影

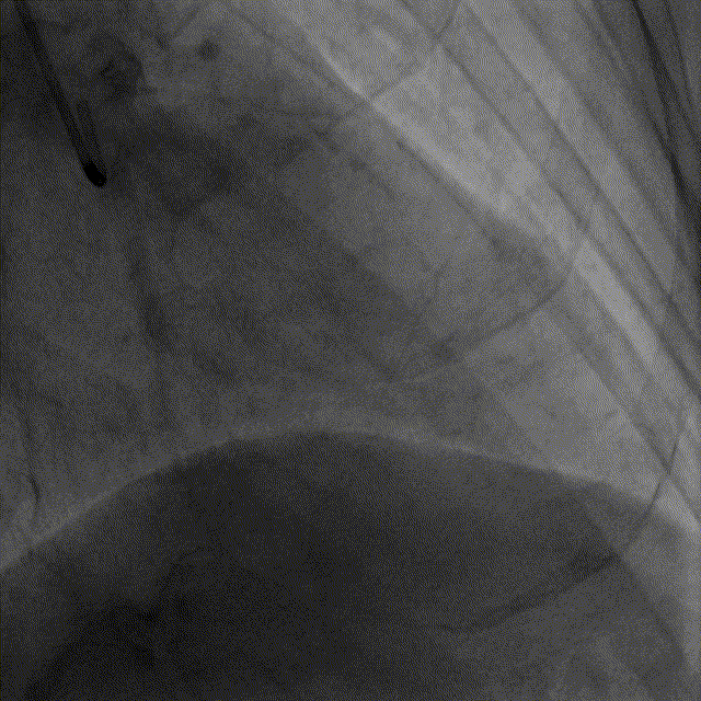
钱菊英教授首先使用2.5*20mm球囊对RCA近中段病变进行预扩张,随后串联植入3.0*38mm、3.0*23mm药物洗脱支架,并使用3.5*15mm的球囊进行支架内后扩张。手术过程中,通过性良好的NOPURGE®成像导管顺利到达支架远端,OCT图像显示支架膨胀及贴壁良好,无夹层及血肿形成。

RCA植入支架后

面对管腔严重狭窄且病变弥漫的LAD病变,将成像导管顺利送至病变远端才能进行准确地评估。NOPURGE®成像导管的通过外径仅为2.52F,导管头端直径较小,头端距镜头更近,可以送入冠脉更远的位置,亲水涂层设计大大提升了导管的通过性,一体化无焊点结构则进一步保障了导管在迂曲病变中的通过性,在临床实际应用中具有很大优势。随后钱菊英教授再次使用微创阿格斯™OCT对LAD病变进行精准评估,通过OCT图像可见LAD近中段有混合斑块,斑块负荷较重,最小管腔面积仅1.15mm²。
LAD植入支架前

基于OCT的评估,钱菊英教授选取2.5*20mm的球囊对LAD病变进行预扩张,并植入2.5*38mm药物洗脱支架一枚,再选取2.5*15mm的高压球囊于支架内后扩张塑形。复查造影及OCT提示支LAD架贴壁及膨胀良好,手术效果满意。

LAD植入支架后OCT及造影图像

微创阿格斯™OCT提供的高质量图像帮助术者对病变进行精准化评估,基于OCT图像指导支架植入并检查支架即刻植入效果,保证了即刻手术效果,并降低了支架失败的风险。钱菊英教授特别强调,NOPURGE®成像导管在严重狭窄病变中展现出了优越通过性,同时NOPURGE®成像导管不再需要冲洗导管内腔,简化了操作流程,对PCI术者更为友好。

微创阿格斯™OCT

六大优势让介入医生多一双“眼睛”

钱菊英教授表示:

OCT让介入医生多了一双眼睛,需要通过继续教育,让介入医生认识到腔内影像技术在评估冠状动脉病变、指导介入治疗方面的应用价值。此外,在临床应用时应该遵循“MLD-MAX”的规范化路径,优化每一例介入治疗病人的效果,从而改善患者的远期预后。作为国产器械,微创阿格斯™OCT无论是成像质量还是稳定性都非常优异,我们期待看到这样一款优秀的OCT产品能够在国内有更多临床使用。

复旦大学附属中山医院作为微创阿格斯™OCT上市前临床研究的临床中心之一,在临床试验过程中充分发挥中山医院的技术优势和病例优势,从临床实际应用角度出发,在微创阿格斯™OCT成像系统的诞生过程中提出了很多针对性的宝贵意见。

作为国产OCT系统,微创阿格斯™OCT成像系统已经获得了业内专家和广大患者的认可,通过临床实际应用中彰显了“看得清、辨识明、匹配准、免冲洗、易通过、好定位”六大优势。

未来,微创®冠脉也将继续携手更多临床专家术者,持续助力传播前沿学术资讯、分享临床经验,提供完善的冠心病全解医疗方案,给予患者和医生更多选择,令更多患者受益。

专家简介

钱菊英

复旦大学附属中山医院

主任医师、教授、博士研究生导师。现任复旦大学附属中山医院副院长,上海心血管病临床医学中心副主任,心内科副主任,心脏介入中心副主任,内科教研室副主任,欧洲心脏病学会FELLOW(FESC)、美国心脏病学院FELLOW(FACC)、亚太介入心脏病学会FELLOW(FAPSIC)、中华医学会心血管病学分会常委,中国医师协会心血管内科医师分会委员,上海医学会心血管病专科分会第十一届委员会主任委员,上海市医学会心血管病专科分会第十一届委员会青年委员会主任委员,上海医师协会心血管内科医师分会副会长,国家心血管病专家委员会第二届委员,世界华人心血管医师协会第二届委员会委员。

阅读数: 3477