华西医院成功完成MicroFlux®房间隔造孔支架系统首例人体应用

2022年9月29日,四川大学华西医院心脏内科陈茂教授、冯沅教授团队首次采用我国自主研发的创新产品MicroFlux®房间隔造孔支架系统为一例肺动脉高压右心衰患者成功实施了房间隔造口术,实现了心房分流减压,术后各项检查显示手术达到预期效果,患者恢复良好,无不良事件发生,拟于近日出院。MicroFlux®房间隔造孔支架系统在研发过程中得到了陈茂教授、冯沅教授团队从临床角度上的精心指导,体现了我国心衰介入领域医工结合的新高度,此次首例人体植入的成功实施是我国在心衰和肺动脉高压器械治疗领域的又一重要突破。

病例特点

患者,女性,50岁,既往因“先天性心脏病、房间隔缺损”于10余年前在外院行“房间隔缺损留孔修补术”。5年前患者无明显诱因开始出现活动后呼吸困难伴胸痛,行心脏彩超提示“房间隔缺损修补术后、重度肺动脉高压“,长期口服“马昔腾坦、他达拉非、呋塞米、螺内酯、地高辛”等药物治疗,但自觉活动后呼吸困难伴胸痛症状逐渐加重,为进一步诊治入院。

术前评估

入院后行心肺运动试验:峰值摄氧量Peak VO2=13ml/min/kg(占预计值47%)。

NT-proBNP:750 ng/L。

动脉血气分析:PO2 66.5mmHg,PCO2 33.5mmHg,SaO2 94%。

超声心动图提示:右心增大,右室肥厚,左室测值偏小,房间隔中份探及修补术后回声,房水平未见残余分流,三尖瓣重度反流,重度肺动脉高压,中度肺动脉瓣反流,左室收缩功能测值正常,右室收缩功能减低 。

患者药物治疗效果不佳,经多学科团队讨论后认为具有心导管检查及房间隔造口术指征,无手术禁忌,与患者充分沟通取得知情同意后决定采用MicroFlux®房间隔造孔支架系统实施房间隔造口术。

操作过程

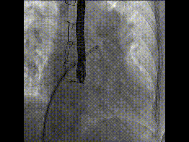
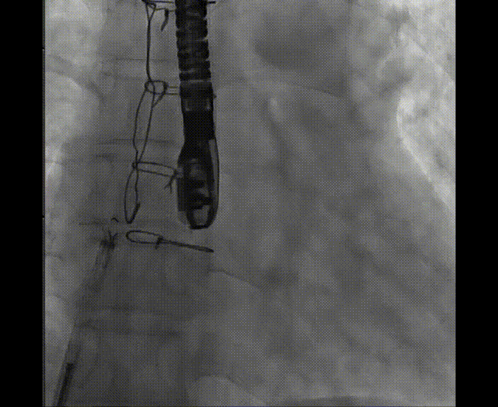
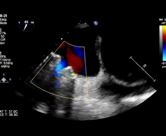
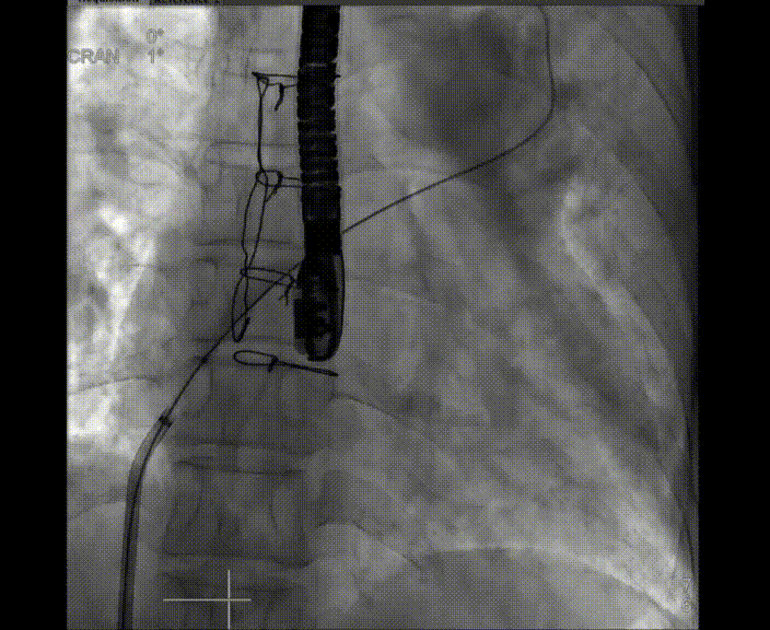
术中首先在局麻下穿刺股动脉、股静脉,完成心导管检查评估后转为全麻,在食道超声引导下穿刺房间隔,穿刺成功后将加硬导丝送入左上肺静脉建立轨道,根据患者病情行球囊预扩张后植入6mm孔径房间隔造孔支架,经透视及食道超声评估支架左右盘展开良好,夹持于房间隔两侧,固定稳定、位置良好,食道彩超显示房水平右向左为主分流,分流孔直径符合预期大小,心导管检查评估达到预期效果,释放造孔支架。术后12h患者下床活动,恢复顺利,拟于近日完善术后评估后出院。

图1.球囊预扩

图2.左盘在左房展开

图3.右盘在右房展开

图4.术后超声-房间隔可见分流束

心房分流术是通过器械制造稳定可控的心房间分流,适应证包括药物治疗效果不佳的左心衰或肺动脉高压右心衰。本例患者为肺动脉高压右心衰,术中成功放置MicroFlux®造孔支架在房间隔理想位置上,创造稳定可控的心房间分流(此例患者以右向左分流为主),在不显著增加左心负担的情况下,有效降低患者右心房压力、缓解体循环淤血,增加左心输出量,改善患者症状、活动耐力和生存质量。同时,国内外也已经开展多项房间隔造孔支架在射血分数保留、射血分数中间值和射血分数降低的左心衰患者中的临床研究,结果显示对于经过充分的规范化药物治疗后仍控制不佳的患者,心房分流术可改善患者的症状及生存质量。    

MicroFlux®房间隔造孔支架由宁波健世科技股份有限公司全资子公司宁波迪创医疗科技有限公司研发,其采用一体式差异内皮化技术(中心分流区防内皮化设计、边缘非分流区促内皮化设计),在全球具有先进性。镍钛合金雕刻支架框架提供分流区强大的径向支撑力,分流孔抗压缩能力更强。全球首创内卷式立体构型支架设计,可适应和无损夹持贴合不同形态的房间隔。支架采用巧妙的可控释放机构:在术中任何时刻均可重复回收释放,即使支架完全解脱释放后亦可微创抓捕回收。MicroFlux®具有多种规格支架,可以根据评估结果选择更合适的分流孔径,个体化匹配不同心腔解剖和血流动力学特点的患者。目前MicroFlux®房间隔造孔支架系统多中心注册临床试验正在开展,未来将造福更广大的心力衰竭患者。

专家简介

陈茂

四川大学华西医院

心内科主任,教授,博士研究生导师,国家“万人计划”科技创新领军人才,四川省卫生健康首席专家,四川省卫生计生领军人才,四川省卫生厅学术技术带头人,四川省卫生厅“有突出贡献中青年专家”以及首届“国之名医”荣誉称号获得者。担任FCSC,FACC,FESC,中华医学会心血管病分会常委,中国医师协会心血管内科医师分会常委,中华医学会心血管病分会结构心脏病学组组长,中国医疗保健国际交流促进会心血管健康医学分会副主任委员,四川省国际医学促进会副会长,四川省医学会心血管病专委会前任及候任主任委员,长城国际心脏病学组委员会县域心血管医师联盟副理事长,PCR—CIT China Chengdu Valves会议、中国中西部心血管病会议执行主席,London Valves会议、Tokyo Valves会议联合国际主席,ESC、PCR、TCT、CSI等会议的专家会员。研究方向为经导管心脏瓣膜病介入治疗相关基础、应用基础及临床研究。研究成果发表在European Heart Journal、Nature Review of Cardiology、Radiology、JACC: Cardiovascular Interventions等国际高水平学术期刊上,现以第一作者或通讯作者发表SCI论文130篇,累计影响因子超过500。主持国家十三五、十二五、国家自然科学基金等国家级、省部级科研项目多项。获四川省科技进步一等奖、中华医学科技二等奖、四川省医学科技一等奖、四川省科学技术进步二等奖等奖项。主刀完成我国西部地区第一例经导管主动脉瓣置换术(TAVR),TAVR完成例数居全国领先水平。在全国率先开展经导管二尖瓣、三尖瓣及肺动脉瓣介入治疗,完成例数居全国前列。负责国家自然科学基金项目3项,国家863计划项目子课题1项,十三五重点研发计划重点专项课题1项,四川省科技厅支撑计划项目1项,四川省青年科技创新团队1项等。

冯沅

四川大学华西医院

主任医师,研究生导师,华西医院先心病亚专业组长,一级专家,中华医学会心血管病分会结构性心脏病学组委员,中国医师协会结构性心脏病学组委员,中华医学会儿科学心血管学组新生儿心脏协作组副组长,中华医学会心血管病分会第10届委员会肺血管病学组委员,四川省心脏瓣膜联盟副主任委员,亚洲心脏瓣膜病学会中国分会心脏瓣膜病介入治疗技术学术委员会常委。临床经验丰富,诊疗技术水平突出,擅长结构性心脏病(先心病、瓣膜病、肺血管病、肺动脉高压)介入诊疗。领先开展多项新技术和挑战、危重症介入手术,高质量完成从新生儿到超高龄患者的各种心脏、肺血管介入手术6000台。发表SCI文章38篇(IF180+),受邀在国内外数十家著名心脏中心指导开展结构性心脏病介入手术。获得2019年四川省科技进步一等奖。

阅读数: 4727