首战告捷 蓄力启航 | 哈尔滨医科大学附属第一医院结构性心脏病团队完成国产创新二尖瓣修复介入器械注册临床试验首两例入组

2022年中旬,哈尔滨医科大学附属第一医院顺利召开了申淇淇麟®经导管二尖瓣夹及可操控导引导管FMR(功能性二尖瓣反流)和DMR(退行性二尖瓣反流)两项上市前注册临床试验启动会,标志着由韩雅玲院士牵头的两项全国多中心研究正式在哈尔滨医科大学附属第一医院开启。近日,该注册临床试验在本院顺利完成了首两例患者入组工作。 

 2022年9月下旬,哈尔滨医科大学附属第一医院结构性心脏病团队,在李悦副院长领导下,成功运用运用全新一代经导管二尖瓣缘对缘修复器械–申淇淇麟®经导管二尖瓣夹及可操控导引导管,为两例功能性二尖瓣大量反流患者,完成了心脏不开胸、不停跳的微创二尖瓣缘对缘修复手术(TEER术)。团队配合密切,手术过程顺利。


此次TEER手术的成功既标志着涂应锋、公永太主任结构性心脏病团队在二尖瓣介入修复领域取得突破性进展,也标志着申淇淇麟®全国多中心注册临床试验在哈尔滨医科大学附属第一医院正式启动入组。

患者1

此患者为老年女性,因胸闷气短呼吸困难反复入院,在最佳药物治疗1个月以上的情况下,二尖瓣反流仍无明显减轻,且临床症状显著。经过心脏团队多学科讨论,决定行经导管二尖瓣缘对缘修复手术。

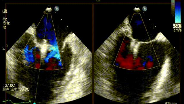
术前超声评估

前瓣长度:28mm;后瓣长度:15mm;前、后瓣叶对合深度:11mm;对合高度2mm;瓣叶及瓣环无钙化,二尖瓣有效开口面积 4.0m²。诊断重度功能性二尖瓣反流FMR。

术前TEE显示重度功能性二尖瓣反流,反流位于A2/P2;

术后超声评估

术后TEE显示二尖瓣双孔化形成,反流明显减少,瓣膜夹位置稳定,二尖瓣跨瓣平均压力阶差为3mmHg,植入后反流显著下降至微量。

患者2

此患者为老年女性,常有活动后胸闷气短,经最佳药物治疗1个月以上,二尖瓣反流仍无明显减轻。经过心脏团队多学科讨论,决定行经导管二尖瓣缘对缘修复手术。

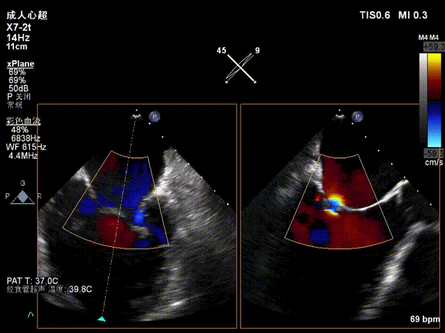
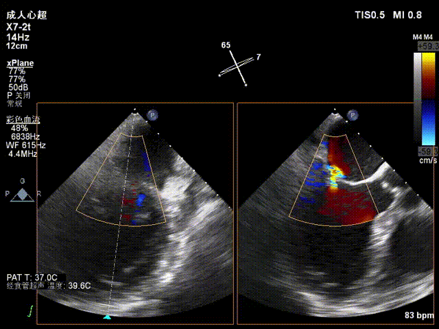
术前超声评估

前瓣长度:26mm;后瓣长度:11mm;二尖瓣后叶牵拉,前、后瓣叶对合深度:9.7mm;对合高度4.4mm;瓣叶及瓣环无钙化,二尖瓣有效开口面积 4.6cm²。诊断重度功能性二尖瓣反流FMR。

术前TEE显示重度功能性二尖瓣反流,反流位于A2/P2;

术后超声评估

术后TEE显示二尖瓣双孔化形成,反流明显减少,瓣膜夹位置稳定,二尖瓣跨瓣平均压力阶差为4mmHg,植入后反流下降至1+

这两例颇具难度的病例手术获得圆满成功。患者手术效果满意,术后第二天皆可下床自由活动,胸闷气短、呼吸困难等症状明显缓解,运动耐量较之前大幅度提高,大大提高患者的生活质量。经过系统观察治疗,术后第三天两位患者康复出院。

哈尔滨医科大学附属第一医院心内科在李悦副院长带领下,致力于将经导管介入二尖瓣及主动脉瓣技术打造成一院标志性优势技术操作,让更多的结构性心脏病患者在哈医大一院心内科得到前沿先进技术的医疗服务,享受高质量的生活,造福更多黑龙江患者!

二尖瓣病变是发病率最高、介入治疗难度最大的瓣膜疾病。在我国,据不完全统计,二尖瓣病变潜在患者人数逾千万,治疗缺口极大。同时,由退行性(DMR)及功能性(FMR)二尖瓣关闭不全构成的复杂二尖瓣反流疾病谱,也大大增加了该类瓣膜病变的治疗难度。介入二尖瓣诊疗器械的研发已成为全球心血管介入诊疗领域的热点及难点,而目前唯一成熟的介入二尖瓣技术便是经股静脉途径经导管二尖瓣缘对缘修复(TEER),以雅培的MitraClip™系列产品为代表,其已被FDA、CE和NMPA批准用于包括DMR及FMR的全二尖瓣反流疾病谱病变,临床技术体系已然成熟。

申淇淇麟®经股静脉途径经导管缘对缘瓣膜修复系统是由上海申淇医疗科技有限公司研发的具有完全自主知识产权的瓣膜介入修复系统,该系统的核心技术参数对标国际最新一代经导管缘对缘修复系统,其输送系统具备在三个方向稳定调弯,并且拥有多型号力学优化的二尖瓣夹设计及瓣叶独立捕获能力。该系统的问世为我国广大的二尖瓣反流患者提供了更多新的治疗选择。相信通过此次临床研究,能够充分验证该系统的安全性和有效性,让国产创新医疗器械更早、更多地惠及中国患者。

专家简介

李悦

哈尔滨医科大学附属第一医院

主任医师,教授,博士研究生导师。哈尔滨医科大学附属第一医院副院长和内科学学科带头人,中俄医学研究中心代谢病研究所副所长。教育部长江学者特聘教授和新世纪优秀人才,全国优秀教师,全国卫生系统青年岗位能手,黑龙江省杰出青年、首届教学新秀、龙江名医和龙江工匠。主要学术兼职:美国心脏病学院专家会员(FACC),美国心血管造影和介入学会专家会员(FSCAI),日本循环器学会专家会员(FJCS),亚太CTO-club成员,中国抗癌协会整合肿瘤心脏病学分会主任委员,中华医学会心血管病学分会心血管创新与转化学组副组长,海峡两岸医药卫生交流协会心血管专业委员会副主任委员和中国老年心血管病防治联盟副主任委员等。

涂应锋

哈尔滨医科大学附属第一医院

医学博士 博士后,主任医师、教授、博士研究生导师,哈尔滨医科大学附属第一医院。中华医学会心血管病分会结构心脏病学组全国委员;中国医师协会心力衰竭委员会全国委员。获得2018年度黑龙江省卫生厅自然科学类进步一等奖,获得2019年度黑龙江省科技进步二等奖,主持国家自然基金面上项目2项,主持国家自然基金青年基金1项,主持中国博士后面上项目1项,主持中国博士后特别资助1项(第9批),主持黑龙江留学归国人员基金1项,主持黑龙江省博士后3项,主持黑龙江卫健委计划项目1项,参与国家自然科学基金重点项目1项,参与国家自然科学基金重大仪器项目1项。发表SCI论文30篇,第一作者及通讯作者论文15篇,累计影响因子达80多分他引次数达193次,中文核心期刊论文8篇。

公永太

哈尔滨医科大学附属第一医院

医学博士(心血管内科),主任医师、研究员、博士研究生导师。哈医大一院群力院区心血管重症监护病房(CCU)主任。中国抗癌协会整合肿瘤心脏病学分会委员;中国医师协会心血管内科医师分会肿瘤心脏病学组委员;中国老年医学学会老年肿瘤分会肿瘤心脏病专委会委员;中国医师协会心力衰竭专业委员会青年工作委员会委员;北京健康促进会肿瘤心脏病学专委会委员;《Journal of Geriatric Cardiology》和《中国介入心脏病学杂志》青年编委;全国心血管疾病介入诊疗培训冠心病介入培训导师。在复杂冠状动脉病变介入治疗领域具有丰富经验,获第八届“年度精彩TRI病例大赛”中国区一等奖和第三届“复杂病变病例大赛最具教育意义的CTO病例”全国总决赛冠军。主持国家自然科学基金项目2项,以第一作者或通讯作者发表SCI收录文章14篇,出版译著4部(副主译,人民卫生出版社),获黑龙江省自然科学奖一等奖1项、科技进步二等奖2项。入选黑龙江省政府首批“头雁”团队学术骨干。

阅读数: 2251
相关专题