首战告捷 蓄力启航 | 哈尔滨医科大学附属第二医院于波教授团队完成国产创新二尖瓣修复介入器械注册临床试验首两例入组

 2022年中旬,哈尔滨医科大学附属第二医院顺利召开了申淇淇麟®经导管二尖瓣夹及可操控导引导管FMR(功能性二尖瓣反流)和DMR(退行性二尖瓣反流)两项上市前注册临床试验启动会,标志着由韩雅玲院士牵头的两项全国多中心研究正式在哈尔滨医科大学附属第二医院开启。近日,由哈尔滨医科大学附属第二医院于波教授带领的结构心团队顺利完成了该注册临床试验的首两例患者入组工作。

2022年9月下旬,经过术前充分的评估和准备,哈尔滨医科大学附属第二医院于波教授带领心内科陈涛教授、张东会教授、杨光教授,超声科姜双全教授、修丽丽教授等共同参与,在中国医学科学院阜外医院潘湘斌教授团队的现场协助下,运用全新一代经导管二尖瓣缘对缘修复系统 – 申淇淇麟®系统,成功为一位退行性和一位功能性二尖瓣反流患者成功实施了股静脉途径经导管二尖瓣介入修复术。团队配合密切,手术过程顺利,本次手术的成功标志着申淇淇麟®全国多中心注册临床试验在哈尔滨医科大学附属第二医院正式启动入组。

患者1

入组患者为老年男性,因发现上肢无力、间断气促乏力入院。心脏彩超提示患有重度二尖瓣关闭不全,二尖瓣后瓣脱垂。患者合并心率失常及冠状动脉粥样硬化,心功能三级(NYHA分级)。

术前超声评估

二尖瓣前叶长度24.6mm,后叶长度15.3mm,脱垂宽度13.7mm、脱垂高度5.4mm,脱垂位置位于P2区域,有效瓣口面积5.64cm²。诊断二尖瓣重度关闭不全,考虑DMR。

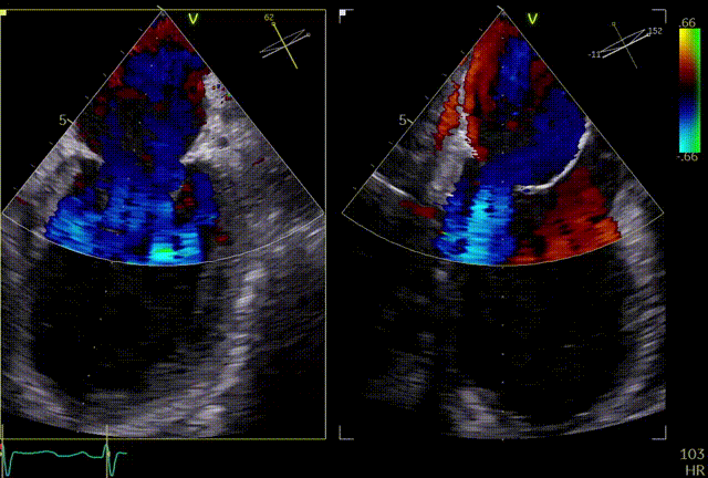
术前TEE显示重度二尖瓣反流,确认二尖瓣后瓣(P2)脱垂

术后超声评估

术后TEE显示二尖瓣双孔化形成,瓣膜夹稳定

患者2

入组患者为老年男性,既往有心衰、重度二尖瓣反流等病史,常有活动后胸闷气短,在最佳药物治疗1个月以上的情况下,二尖瓣反流仍无明显减轻,此次主诉“呼吸困难4月余”入院

术前超声评估

二尖瓣前叶长度25.6mm,后叶长度12mm,对合深度约10.3mm,对合高度约为2mm,有效瓣口面积 5.5cm²。诊断二尖瓣重度关闭不全,考虑FMR。

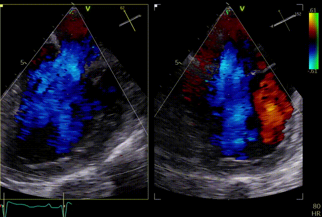
术前TEE显示重度功能性二尖瓣反流,反流位于A2/P2

术后超声评估

术后TEE显示二尖瓣双孔化形成,瓣膜夹稳定


二尖瓣病变是发病率最高、介入治疗难度最大的瓣膜疾病。在我国,据不完全统计,二尖瓣病变潜在患者人数逾千万,治疗缺口极大。同时,由退行性(DMR)及功能性(FMR)二尖瓣关闭不全构成的复杂二尖瓣反流疾病谱,也大大增加了该类瓣膜病变的治疗难度。介入二尖瓣诊疗器械的研发已成为全球心血管介入诊疗领域的热点及难点,而目前唯一成熟的介入二尖瓣技术便是经股静脉途径经导管二尖瓣缘对缘修复(TEER),以雅培的MitraClip™系列产品为代表,其已被FDA、CE和NMPA批准用于包括DMR及FMR的全二尖瓣反流疾病谱病变,临床技术体系已然成熟。

申淇淇麟®经股静脉途径经导管缘对缘瓣膜修复系统是由上海申淇医疗科技有限公司研发的具有完全自主知识产权的瓣膜介入修复系统,该系统的核心技术参数对标国际最新一代经导管缘对缘修复系统,其输送系统具备在三个方向稳定调弯,并且拥有多型号力学优化的二尖瓣夹设计及瓣叶独立捕获能力。该系统的问世为我国广大的二尖瓣反流患者提供了更多新的治疗选择。相信通过此次临床研究,能够充分验证该系统的安全性和有效性,让国产创新医疗器械更早、更多地惠及中国患者。

专家简介

于波

哈尔滨医科大学附属第二医院

二级教授,哈尔滨医科大学附属第二医院主任医师、博士生导师,美国心脏病学院院士,国务院特殊津贴专家、龙江学者特聘教授、黑龙江省优秀中青年专家、第八届中国医师奖获得者。现任哈医大二院心血管病医院院长兼心血管内科主任,哈医大二院内科学教研室主任、中华医学会心血管病学分会副主任委员,中华医学会心血管病学分会工作合作委员会主任委员,中国胸痛中心认证工作委员会副主任委员,心肌缺血教育部重点实验室主任,国家医学考试中心心血管内科专科医师考试专家委员会专业组副组长,卫生部医政司心血管疾病介入诊疗技术管理专家工作组成员,及卫生计生委冠心病、心律失常、先心病介入诊疗培训基地主任及培训导师,任黑龙江省心血管内科医疗质量控制中心主任,黑龙江省优秀中青年专家,黑龙江省医学会心血管病学分会主任委员,黑龙江省医师协会心血管内科专业委员会主任委员,中华医学会心脏介入治疗培训中心委员,黑龙江省缺血性心脏病诊疗技术创新中心,黑龙江省头雁团队带头人。任《中国介入心脏病学杂志》《JACC cardiovascular intervention(中文版)》副主编,《Cardiovascular Innovations and Applications》《Coronary Artery Disease》《Chinese Medical Journal》《中华心血管病杂志》《中华心律失常学杂志》《中国地方病学杂志》等十余部专业期刊杂志编委,同时任JACC Cardiovascular Intervention,Coronary Artery Disease、Catheterization and Cardiovascular Interventions、Cardiovascular Innovations and Applications,、Interventional Cardiology、 ATVB等杂志的特约审稿人。

陈涛

哈尔滨医科大学附属第二医院

医学博士,副主任医师,硕士研究生导师;中华医学会心血管分会心血管临床研究学组委员、中国心血管健康联盟青年学术委员会青年委员、中国CCI创新学院第六期学员、中国冠状动脉慢性完全闭塞病变俱乐部(CTOCC)会员、中国医药教育协会心血管内科专业青年委员、黑龙江省心脏重症委员会委员;研究方向:冠脉和结构性心脏疾病的介入诊疗。擅长腔内影像学OCT、IVUS、FFR指导冠脉复杂病变介入治疗;本中心结构性心脏病介入组成员,主要负责经导管二尖瓣介入治疗方向,掌握经导管二尖瓣修复与置换、主动脉瓣置换等多项技术。主持国家自然青年基金1项,主持厅局级课题2项,作为主编和编委参编腔内影像学著作两部,发表SCI文章12篇。Cardiology Discovery审稿专家;中华心血管病杂志(网络版)审稿专家。

阅读数: 850
相关专题