病例荟萃第十五期|吉鹏娟:化繁为简,助力通过

吉鹏娟  山西医科大学第二医院


简要病史


男性,63岁。

主诉:间断胸憋2年,加重1周。

既往:慢性肾脏病5期,规律腹膜透析治疗。

2型糖尿病病史25年余,目前门冬胰岛素注射液8-6-8IU三餐前皮下注射控制血糖,血糖控制可。

2020年01月09日因胸憋、气紧,伴心悸、咳嗽,就诊于当地医院,行相关检查,考虑肾功能衰竭心力衰竭,遂转入运城市中心医院完善相关检查,考虑“慢性肾脏病5期 心功能不全 心功能IV级 肾性贫血 继发性甲状旁腺功能亢进 2型糖尿病 急性心肌梗死不除外”,给予对症治疗,未进一步行冠脉造影术。

2022年3月2日出现间断胸憋、胸痛,持续时间5-6min,伴气短,伴肩背部放射痛,不伴心悸,舌下含服硝酸甘油后症状缓解。3月6日就诊于当地医院,考虑不除外“急性心梗”。为进一步诊治,入住我科。

自此次发病以来,精神、食欲欠佳,睡眠尚可,小便约200ml/24h,大便1次/(3-4天),体重无明显下降。

检查结果


入院查体

高枕卧位;

血压100/60mmHg;

心率80次/分;

双下肺呼吸音粗;

可闻及湿性啰音;

双下肢水肿。

初步诊断

冠状动脉粥样硬化性心脏病;

急性非ST段抬高型心肌梗死;

KillipII级;

慢性肾脏病5期;

2型糖尿病。

3.10 心脏彩超;

EF 32%;

左室舒张末期内径  66mm;

左房稍大;

左室增大;

心搏减弱;

二尖瓣关闭不全(轻度);

主动脉瓣关闭不全(中度);

心电、血氧、血压监测;

卧床休息;

持续低流量吸氧;

限水、限盐,记24小时出入量;

持续泵入重组人脑利钠肽;

间断腹膜透析。

口服药物

  • 阿司匹林 100mg 1次/日; 

  • 氯吡格雷 75mg 1次/日; 

  • 阿托伐他汀 20mg 1次/日; 

  • 比索洛尔 2.5mg 1次/日 ;

  • 皮下注射胰岛素。

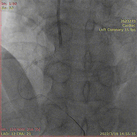
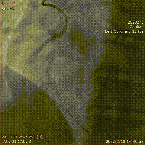
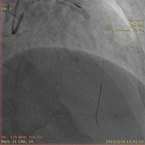
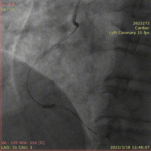
冠脉造影

对前降支行IVUS,钙化较重,超声导管通过困难

对右冠脉行介入治疗,钙化较重

对右冠脉行介入治疗,右冠脉中段预扩张后超声导管仍通过困难

选择1.5mm磨头高速旋磨

旋磨后行IVUS查看,钙化较前明显减轻

考虑指引导管支撑不佳,病变钙化重,血管迂曲,Telescope™导引延长导管支撑下,远段选择药物球囊PTCA

中断至近段置入支架

PCI术后结果及随访

即刻结果:手术过程顺利,避免支架脱载、支架释放位置不佳,缩短手术时间,减少造影剂使用,手术风险。

远期结果:改善患者预后。

经验体会及总结

Telescope™导引延长导管确保药球精准到达病变处释放,避免药物输送时的流失,增大疗效以及手术成功率。

在血管钙化中,Telescope™导引延长导管可以提供有效支撑,进行后续器械输送。

专家介绍

-  吉鹏娟  -

山西医科大学第二医院


主治医师,硕士研究生,山西省健康协会心血管介入专业委员会委员。

擅长冠心病、高血压、心力衰竭、心律失常等心内科常见病多发病的诊治,同时从事冠脉、先天性心脏病介入治疗工作,熟练掌握IVUS等腔内影像学工具的应用,并掌握FFR、QFR、CA-FFR等用于冠脉功能学的评价。掌握了激光、旋磨及药物球囊在复杂冠脉病变中的应用。

并参与完成TAVR,房缺、室缺、动脉导管未闭、卵圆孔未闭封堵及二尖瓣狭窄球囊成形介入治疗。

长按二维码关注“一脉同行”

阅读数: 334