抽吸新境界|张劲:右冠中远段急性闭塞,耐心血栓抽吸顺利恢复血流

“有效改善心肌灌注水平”

“恢复冠脉血流的有力辅助工具”

如何在明确血栓抽吸定位基础之上,进一步挖掘其临床应用价值?

交流临床疑惑,分享学术新见。“抽吸新境界”系列课程正式上线!将邀请国内有着丰富临床诊疗经验的专家,结合理论与实践,畅谈血栓抽吸导管应用新理念,探索新场景。

第二期嘉宾,特邀中山市人民医院张劲教授分享了一例右冠中远段急性闭塞,通过血栓抽吸顺利恢复血流的病例。

简要病史


患者为71岁男性,主诉“突发胸痛7小时”入院。患者入院前7小时晨运时突发出现心前区压榨样疼痛,向背部放射,伴有大汗,症状持续不缓解来急诊就诊。既往有高脂血症、吸烟史,余无特殊。

查体示:HR 60次/分,BP 127/63mmHg,急诊查TNT 142ng/ml。

急诊心电图提示:窦性心动过缓,急性下壁、后壁心肌梗死心电图改变。

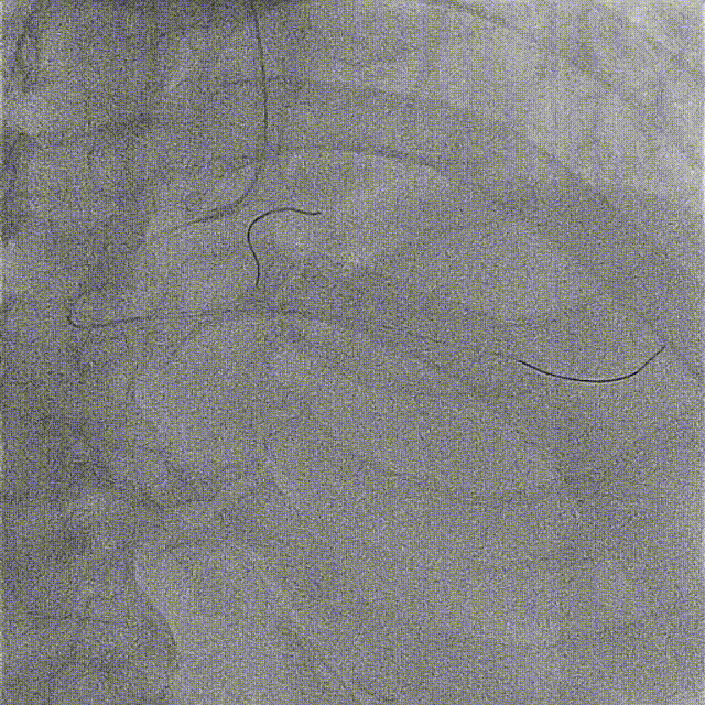
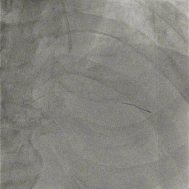
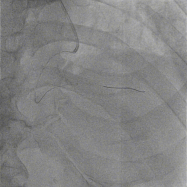
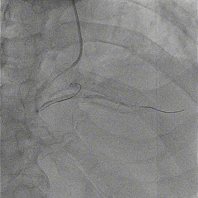
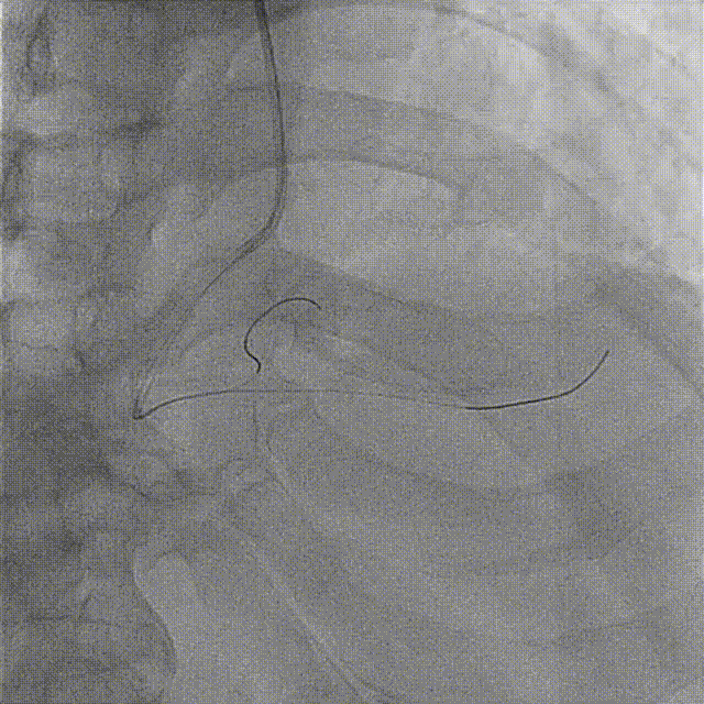
急性下壁心肌梗死诊断明确予以阿司匹林300mg+替格瑞洛180mg+阿托伐他汀40mg。入院后行急诊冠状动脉造影,结果显示,左冠未见明显狭窄,右冠中远段急性闭塞,可见血栓影。

介入经过


手术策略:患者右冠急性闭塞,开通右冠,必要时血栓抽吸、植入支架。

器械选择:使用6F JR4.0指引,Runthrough NS导丝,SION导丝,Pioneer 2.5×15mm球囊,以及Export AP血栓抽吸导管。

手术过程


导丝顺利通过闭塞段,但未见前向血流。

使用2.5*15mm球囊以6-8ATM压力预扩张。

预扩后右冠远端显影,远段及PD开口处可见血栓,抽吸出约2cm长血栓1条。


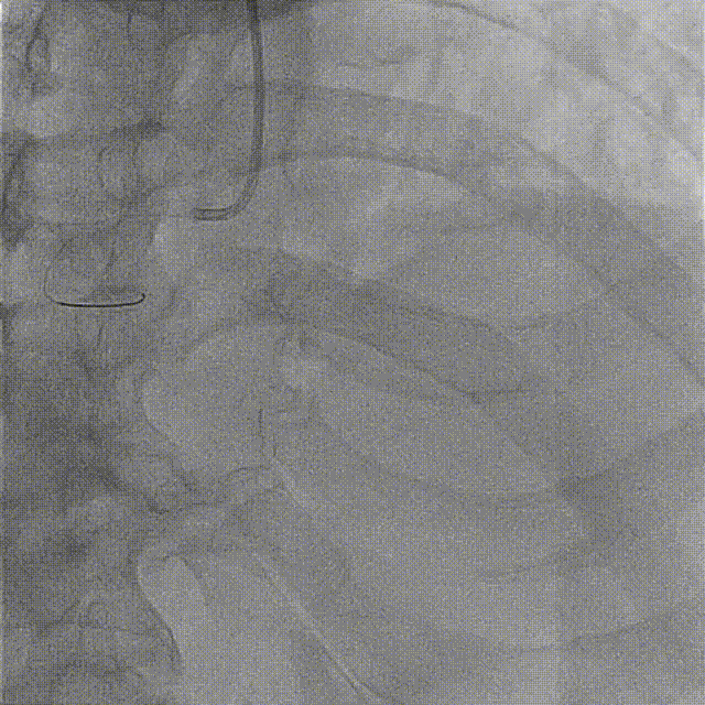
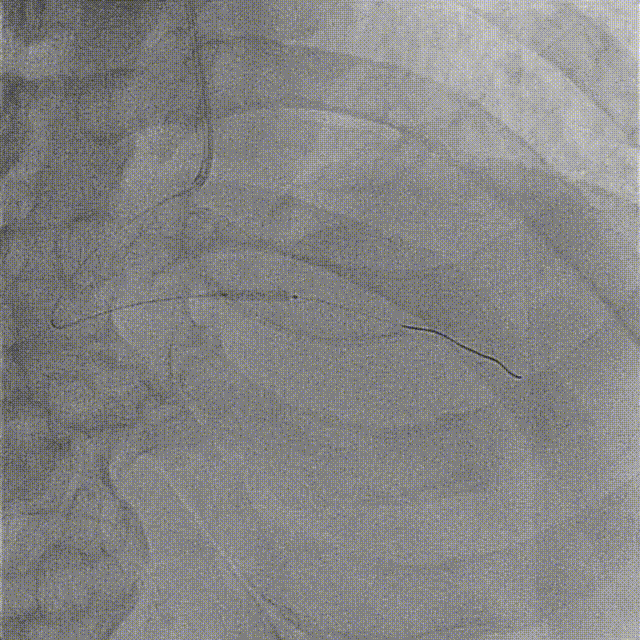
抽吸一次后PD血流好转,仍见血栓影,PL未见显影,再次抽吸。

于PD抽吸后血流消失,PL显影,送导丝到PL远端。

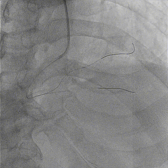
反复尝试PL、PD抽吸及球囊扩张。

先后于3条分支球囊低压扩张,及冠脉内注入欣维宁。

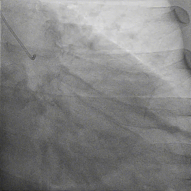
再次沿PD导丝抽吸,注射器无明显回血,缓慢回拉退出抽吸导管,冲洗后未见明显血栓;但指引导管压力消失,心电正常。考虑血栓嵌顿于指引导管,尝试以注射器连接指引导管反复回抽后回血顺畅,抽出约3cm粗大血栓。

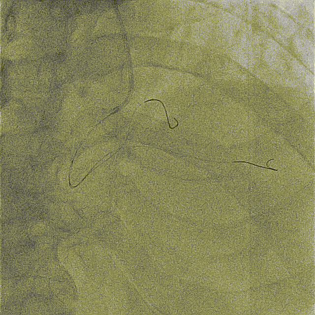
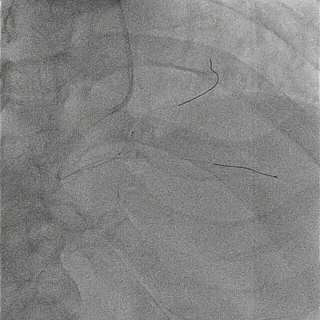
复查造影见右冠血流通畅,无明显残余狭窄及夹层影

远期随访中患者无自觉症状,血压心率稳定。

术后复盘


结合本例手术,张劲教授分享了抽吸导管的使用体验,并且介绍了血栓抽吸的规范操作要点。

手术中选用的美敦力Export AP抽吸导管,具有十分优秀的输送性与抗折性,其Full Wall全程可变编织的设计近远端密度不同,兼顾抗折性与头端柔顺性;无节点一体化设计,优化力的传导,避免抽吸导管打折。加长导丝交换腔提高跟踪性,可避免回撤时指引导丝打折或缠绕,也避免导丝交换腔口部撕裂。超长亲水涂层可减少抽吸导管输送过程中阻力。大管腔内径及前向短斜切头端设计,使抽吸口距离血栓更近,更易抓取血栓,抽吸效率更高。

术前,应充分激活头端亲水涂层,而后肝素化抽吸导管,用肝素生理盐水冲洗抽吸导管内腔,排尽空气,并使注射器最大负压化; 

术中,沿导引导丝经导丝交换腔插入抽吸导管,向前推送抽吸导管,确保由近及远开始血栓抽吸,保持充足负压,缓慢前送抽吸导管。若抽吸血量已达注射器容量一半,应关闭旋塞阀更换注射器,再重新抽吸。

抽吸后,负压缓慢撤出抽吸导管。撤出后,将注射器和抽吸导管内血液以及指引导管回抽血液注射至过滤筛内,冲洗后观察抽吸物的形态、大小和颜色等。

专家面对面

严道医声网:您在何时会选择血栓抽吸?如何判断血栓负荷及抽吸终点?

张劲教授:临床中,我们通常会在急诊PCI处理血栓病变的过程中选择血栓抽吸,在血栓负荷很重,尤其是血栓对冠脉血流有影响的情况下,会启动血栓抽吸术。血栓负荷的程度通常可以通过造影来识别、评估。因为血栓负荷较重的病变在造影时,能够观察到明显的、较有特征的充盈缺损的情况。若血栓长度超过血管直径2倍,则为比较严重的血栓负荷。

若已经能够恢复TIMI3级血流,那么基本便到达了抽吸终点,即使仍有残留血栓,也不一定需要继续抽吸,因为血流是最好的“溶栓药”。

严道医声网:您认为血栓抽吸在急诊PCI中的定位及价值是什么?是否是恢复冠脉血流的辅助工具?

张劲教授:尽管既往一些研究提示,血栓抽吸对心梗患者的预后没有明显改善,但我们在日常临床工作中,还是体会到血栓抽吸具有应用价值。对于明确是因为血栓导致冠脉血流受限,血栓抽吸是恢复血流的有力工具,有较好的治疗效果。

因此我认为,对于由血栓导致的血流减慢,或者血流中断,抽吸导管是一项非常好的辅助工具。此外,在斑块负荷较重并且完成支架植入,以及后扩张后出现慢血流、无复流的情况下,可以尝试使用抽吸导管,对于血流恢复也有一定帮助。

严道医声网:您对于冠脉术者行血栓抽吸术有哪些建议?

张劲教授:这需要参考术者个人抽吸的经验。若抽吸导管操作不规范,则可能会在抽吸过程中导致冠脉损伤,以及血栓脱落导致其他血管发生栓塞;因此在进行血栓抽吸时需要规范化操作,使抽吸导管性能得到更好的体现。另外,在抽吸过程中,若导管难以向前推送,前进阻力较大,需注意操作轻柔。在回撤时,尽量保证指引导管头端在冠脉内,若血栓尚未完全进入抽吸导管内,而指引导管头端处于冠脉外,则可能在抽吸导管回撤时血栓掉落至冠脉内。若是落入脑血管内,则可能会导致脑栓塞。

严道医声网:基于您的临床经验,您如何进行冠脉内给药的器械选择?

张劲教授:可以直接经指引导管注射欣维宁。若出现无复流,或支架术后出现无复流,可以考虑用微导管或抽吸导管在支架远端注射欣维宁,或使用血管扩张药物如硝酸甘油,以及改善微循环的药物等

专家简介

张劲

中山市人民医院

副主任医师,2000年毕业于中山医科大学,从事心血管内科临床工作10多年,曾于中山大学附属第一医院进修冠心病介入治疗。现任广东省医师协会心脏病器械辅助治疗医师分会第二届委员会委员,广东省中西医结合学会心血管介入专业委员会第二届委员会委员,中国大湾区心脏协会第一届理事,中国大湾区心脏协会泛血管医学分会委员,大湾区心脏协会结构性心脏病分会委员,广东省医学会心血管病学分会第十届委员会胸痛学组成员,广东省医院协会第二届心血管疾病质控管理分会心血管重症学组组员。擅长冠心病、高血压、心律失常、心肌病、心肌炎心力衰竭、心脏瓣膜病。每年参与完成冠心病、外周血管介入、心脏瓣膜病介入治疗病例400例以上。

扫码进入抽吸新境界课程专栏  

扫码进入一脉同行课程专栏

阅读数: 1255