长海医院心外科韩林教授团队成功应用我国创新器械JensClip完成全国第二例经导管二尖瓣缘对缘修复

近日,海军军医大学长海医院心外科韩林教授团队在中国医学科学院北京阜外医院/云南省阜外心血管病医院潘湘斌教授团队的支持下成功应用我国创新器械JensClip为一例二尖瓣重度反流患者开展二尖瓣缘对缘修复手术。在韩林教授团队的密切配合下,手术圆满完成,患者重获“心”生。术后即刻超声显示二尖瓣反流显著改善,术毕即刻拔管,患者恢复良好。

接受治疗的是一例二尖瓣重度反流的患者,主诉“突发间歇性胸闷,气急6天”。术前超声提示:1.二尖瓣脱垂伴重度关闭不全(瞬时量30ml);2.左心、右房增大(左房容积110ml,左室容积129ml,右房容积55ml);3.左室收缩功能正常。患者在充分标准化药物治疗后(GDMT)仍然症状明显,韩林教授及其团队唐杨烽教授,以及心超科的周广为医生决定使用我国创新器械JensClip为患者进行二尖瓣缘对缘修复手术。

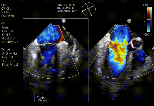
术前超声

在阜外医院潘湘斌教授团队的支持下,手术经股静脉-房间隔入路,采用全身麻醉插管,在TEE和DSA引导下完成房间隔穿刺。置入JensClip瓣膜夹系统后,在左房调整瓣膜夹的位置和轴向,后进入左室,在TEE引导下捕捉二尖瓣前后瓣叶,并关闭瓣膜夹。经TEE反复确认手术效果后最终锁定并释放瓣膜夹。术后即刻超声显示瓣膜夹位置稳定,功能良好,二尖瓣反流由术前4+减少至微量,手术圆满成功。

术后超声

术后DSA

此次手术采用的JensClip经导管瓣膜夹系统是宁波健世科技股份有限公司(下称“健世科技”)自主研发的创新经股静脉入路的介入二尖瓣缘对缘修复产品,采用独特的机械锁闭和一体式解脱结构设计,具有瓣叶单独捕捉、分别夹合、可靠锁固、一键解脱、双向可回收等特点。JensClip经导管瓣膜夹系统机械性能优越,操作可重复性高,为术者提供更多机会达到卓越效果。产品核心传动及锁定结构设计技术达到国际先进水平,并申请了多项中国和国际专利,相信未来JensClip为二尖瓣反流治疗提供又一有效新选择。

据悉,目前健世科技LuX-Valve经导管三尖瓣置换系统已经完成确证性临床研究全部入组及一年随访;Ken-Valve经导管主动脉瓣置换系统已经完成确证性临床研究全部入组。继JensClip经导管瓣膜夹系统、LuX-Valve Plus第二代经血管三尖瓣置换系统之后,健世科技还有一系列国产创新产品陆续进入注册临床,造福更多的患者。

专家简介

韩林

海军军医大学第一附属医院(上海长海医院)

主任医师,教授。1992年毕业于第二军医大学获学士学位,直接攻读胸心外科博士学位,1997年获博士学位,2004年~2006年于加拿大Alberta大学心脏外科中心进修成人心脏病外科治疗和心脏移植手术。

现为上海长海医院心血管外科主任。先后担任中国医师协会心脏外科分会心力衰竭和冠心病专业委员会委员,上海市医学会心脏大血管外科分会委员兼秘书,上海市医师协会心脏外科分会委员,中国外科年鉴心血管外科主编,中华胸心血管外科杂志、第二军医大学学报、心血管外科杂志的通讯编委。

从事心脏瓣膜病、冠心病、胸主动脉瘤和心脏移植等外科治疗和研究29年,具有丰富的临床经验,每年完成心脏手术近500例。开展了经腋下、胸骨半段、右前外侧切口和胸腔镜下等微创心脏手术;不停跳、全动脉化等冠状动脉搭桥术;主动脉夹层全弓主动脉置换急诊手术、胸腹主动脉置换和心脏移植手术等高难度手术。

主持和参与国家“863”项目、国家卫生部行业基金重大课题、国家科技部重点专项课题、国家自然科学基金、军队十二五重点课题、上海市科委重大课题和国际合作项目等多项课题。近年来获国家科技进步二等奖2项,国家教育部科学研究一等奖1项,省部级一等奖4项、二等奖4项。共发表学术论文56篇,其中SCI论文21篇,参编专著2部。2016年获中国医师协会心血管外科医师分会好医师奖(金刀奖);2020年荣获“上海好医生”称号;荣立个人三等功1次,军队优秀专业技术人才岗位津贴。

唐杨烽

海军军医大学第一附属医院(上海长海医院)

教授、主任医师,医学博士、美国耶鲁大学博士后,长海医院心血管外科行政副主任,中华医学会胸心血管外科青年委员,上海医师协会心血管外科分会委员,国家心血管病微创心血管外科青委,亚洲心脏瓣膜病学会中国分会委员,心血管疾病预防与康复专业委员会常委,中国研究型医院心脏瓣膜病专委会委员,国家自然基金委、教育部学位评审专家,主持国家自然基金、省部级等课题9项,中华医学会Lillehei奖、中国医师协会优秀青年奖、非凡医者奖、树兰院士基金卓越人才奖、上海市青年医师人才奖、上海市高校中青年教师人才奖,获国家科学技术进步二等奖、个人三等功、集体三等功、入选海军军医大学深蓝人才工程计划。

延伸阅读

华西医院陈茂教授团队成功应用我国创新器械JensClip完成经导管二尖瓣缘对缘修复一例

阅读数: 4514