病例荟萃第十三期|赵宇红:Telescope™导引延长导管处理LAD迂曲钙化病变一例

赵宇红  山西省长治医学院附属和平医院心内科


简要病史


患者王XX,男性,52岁。

主诉:间断胸闷2小时于2022.2.25入院。既往吸烟30年,20支/日。

查体

生命体征:体温:36.0℃、脉搏:73次/分、呼吸:21次/分、血压:118/82mmHg。

双肺呼吸音清,未闻及干湿啰音。

心界无扩大,心率73次/分,律齐,各瓣膜听诊区心音正常,未闻及杂音,未闻及心包摩擦音。

心电图

治疗

给予扩冠、抗凝、抗炎、抗血小板聚集、调脂、改善微循环等对症治疗。出现室颤,给予电除颤、“尿激酶原”溶栓,急诊PCI。

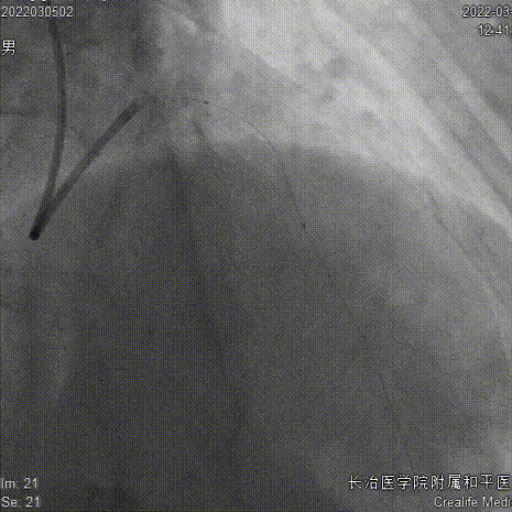
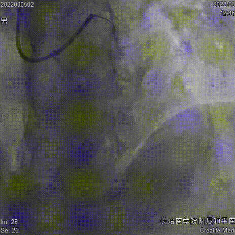
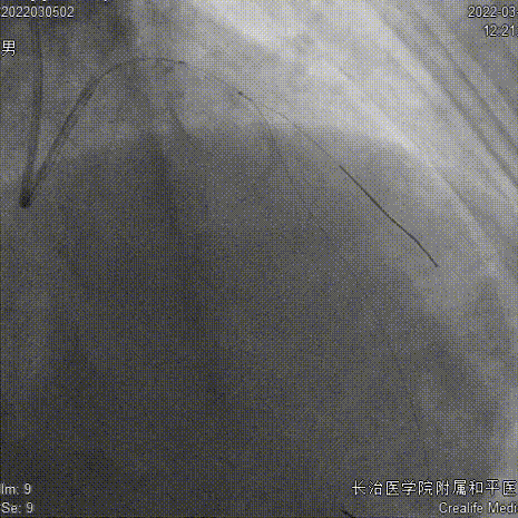
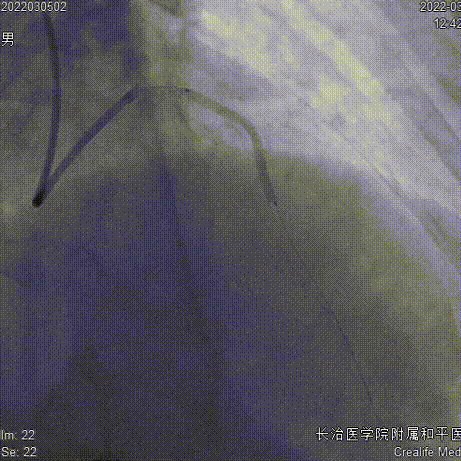
冠脉造影

CAG

干预右冠

检验

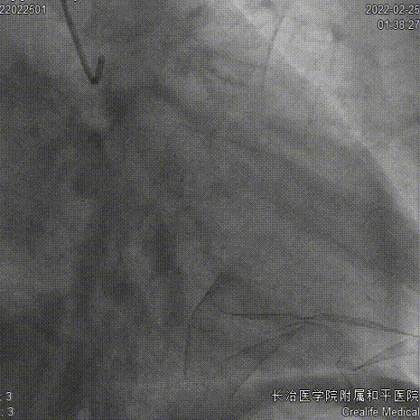
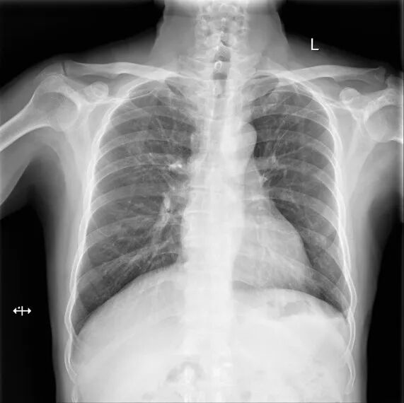
胸片

心脏彩超:

左房略大,左室舒张期顺应性下降,室壁运动尚协调,二、三尖瓣返流(轻)。

术后心电图

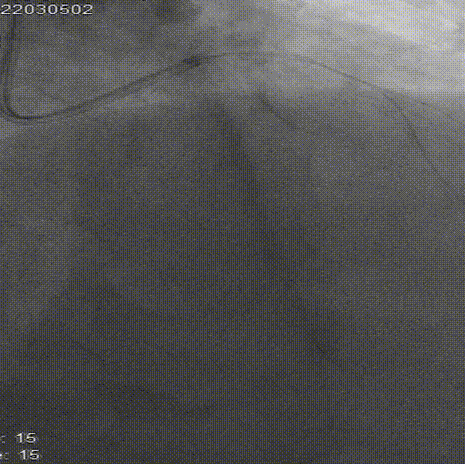
复查CAG

手术策略

前降支病变特点:迂曲  、长病变,  伴有钙化  ,发出对角支后成角,器械通过困难

有较大的对角支分支,植入支架可能影响开口处血流,因此选择药物球囊进行治疗。

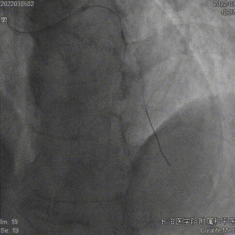
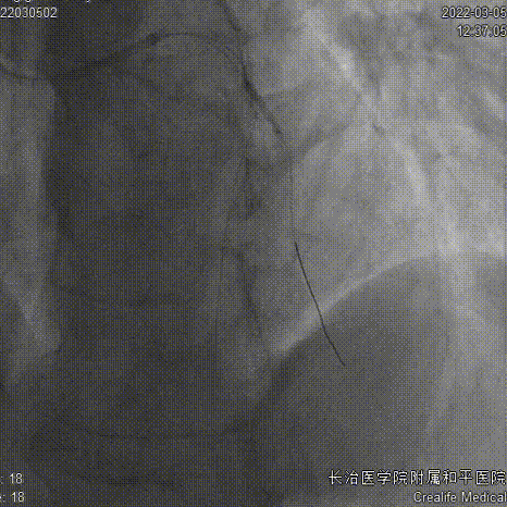
介入经过及结果

6FEBU3.5Guiding、Runthrough导丝、Sion导丝、2.0x15mm球囊

2.5x10mm切割球囊

残余狭窄、肌桥

药物球囊2.75x35mm、Telescope™导引延长导管

药物球囊定位、释放

结果

心电图


小结

急性心肌梗死,溶栓后急诊PCI干预RCA;
LAD择期,结合病变特点,药物球囊进行治疗;
对于病变迂曲、钙化的情况使用Telescope™导引延长导管增加药物球囊通过性,减少输送时的药物丢失。

专家介绍

-  赵宇红  -

山西省长治医学院附属和平医院


心内科副主任,副主任医师,硕士研究生,山西省女医师协会心血管专业委员会常委,山西省医师协会心血管重症委员会委员,山西省医师协会高血压专业委员会委员,山西省医师协会心血管介入专业委员会青年委员会委员,山西省继续医学教育青年委员会委员,长治医师协会心血管专业委员会委员,从事心血管内科疾病诊治20年,擅长冠心病、血脂异常诊治及冠心病介入治疗。

长按二维码关注“一脉同行”

阅读数: 516