新理念,新思路|0.5的进步,开创PCI预规划新局面!


未雨绸缪早当先

居安思危谋长远
在PCI治疗中
同样需要预先规划求万全


      理念先行:PCI预规划     

预想术中可能发生的“意外”,

配备充足的器械以供选择,

同时预备富余的操作空间



缘何而起:

    临床实践中做好PCI预规划的意义     

PCI手术中桡入路比例与日俱增

然而桡动脉较股动脉更细的特点却对一些情境提出了挑战


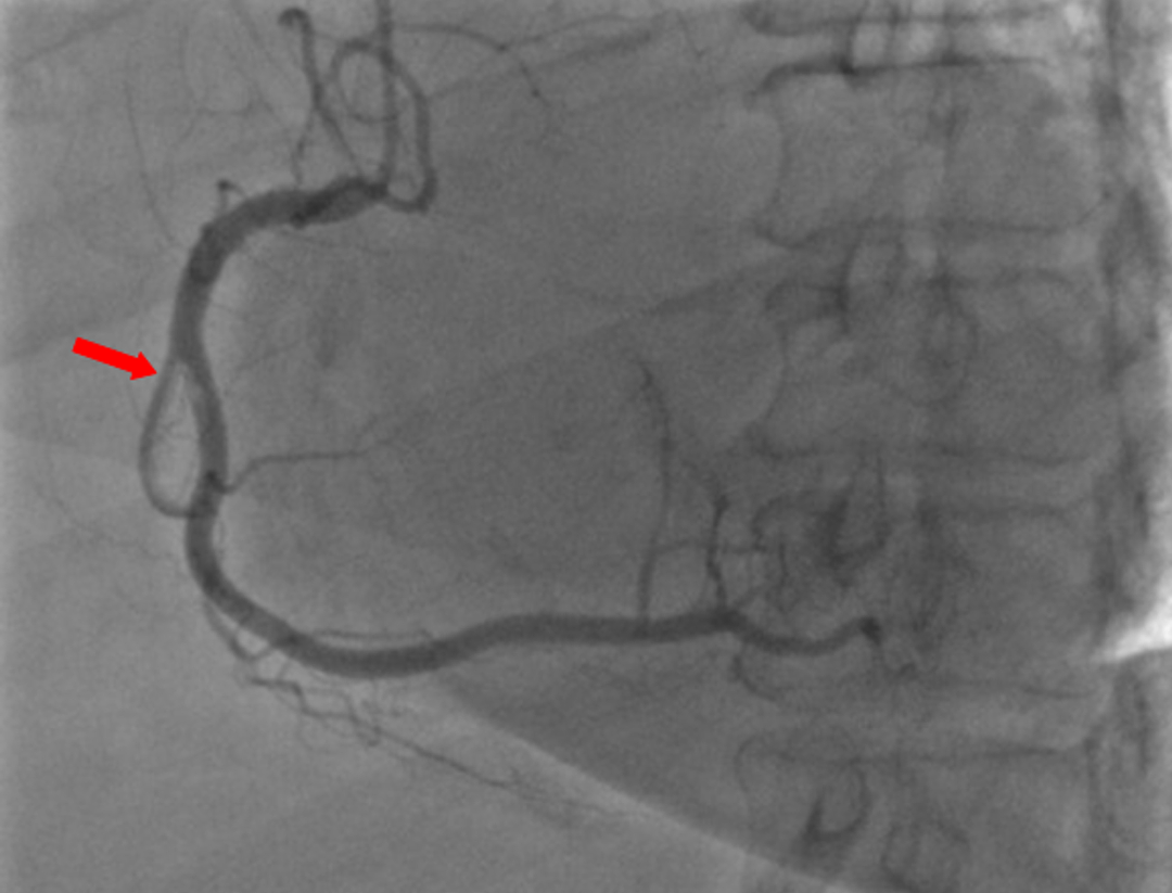
模糊病变陷阱难料?

预规划助力,应对模糊病变游刃有余


钙化小结

夹层

血栓性病变



复杂病变问题多样?

预规划助力,应对复杂病变处变不惊


分叉病变

迂曲钙化病变

CTO病变

弥漫病变



特殊器械兼容困难?

预规划助力,使用特殊器械得心应手


旋磨头

震波球囊

FFR

OCT

IVUS



因此,预规划必不可少




     凭风借力:做好PCI预规划的真谛      

向前一小步,常规选择管腔大一点,便可“手到擒来”。

6号半组合(6号半 Braidin血管鞘+6号半 March导引导管)助力常规PCI预规划,成为您常规治疗桡动脉介入通路的更佳选择!



    全力以赴:6号半的由来 

埃普特医疗始终坚持扎根临床,服务临床,

想临床医生之所想,急临床医生之所急:



对于多数病变,当6F内腔不够,同时担忧7F造成更大创伤时,

临床是否存在别的选择?


选择必然存在,6号半组合应运而生

独特半号尺寸,打破常规,成为新的可能



2.57mm小外径实现更小创伤,提升患者舒适程度。

0.075”大内腔助力更强兼容,为常规PCI治疗提供更多选择


在分叉病变中可实现:

球囊对吻(≤4.0 NC Balloon)

球囊拘禁技术

在分支保护时可实现:

完美兼容3根导丝+1个支架或者4根导丝+一个球囊

(大腔降低导丝缠绕风险)

在CTO中可实现:

兼容2根微导管(2.6F+2.6F)或1根IVUS导管+1根1.9F微导管或2.6F微导管+球囊

在旋磨中可实现:

完美兼容1.75mm及更小的旋磨头

(1.75mm旋磨头通过尺寸要求0.073")


在血栓抽吸中可实现:

可通过6F血栓抽吸,同时能监测压力(6F 导管有无法监测压力的风险)

对于LAD或LCX开口闭塞,可以一条导丝加一条抽吸,减少血栓移位风险

当6号半遇上预规划,会产生怎样的奇妙反应?





6号半直播间

—PCI界主播新星

在不同场景中总结巧妙应用

在持续探索中发现更多可能






6号半体验官

—PCI预规划探索者

在病例分析中感受预规划真谛

在反复实践后分享预规划真知







专家天团倾情剖析,个人风采充分展示

理念的更新,思维的碰撞

更多精彩,尽在6号半



扫描二维码

成为6号半体验官吧!


阅读数: 1264