苏州大学附属第一医院蒋廷波教授团队完成江苏苏南地区首例美敦力Evolut PRO经导管主动脉瓣膜系统(TAVR)

2022年9月14日,苏州大学附属第一医院心血管内科蒋廷波教授团队成功为一名复杂的重度主动脉瓣膜狭窄患者植入了美敦力Evolut PRO经导管主动脉瓣膜系统(TAVR),此例植入为江苏苏南地区首例。


患者基本信息

女性,64岁,既往高血压10年,糖尿病10年。患者因活动后胸闷3月余,为求进一步治疗来我院,门诊以“重度主动脉瓣狭窄”收治住院。


术前心超提示

患者重度主动脉瓣狭窄,LVEF 72%,左室舒张末期内径4.4cm,主动脉瓣瓣口功能面积0.5cm²,收缩期主瓣峰值流速为5.26m/s,平均跨瓣压差74mmHg。


术前CT评估

瓣环测量

环上结构


主动脉瓣根部测量

冠脉风险评估

股动脉入路

植入角度


手术策略

瓣膜型号:Evolut PRO 26mm;

导引鞘:20Fr;

球囊预扩:20mm球囊预扩;

主入路:RFA;

目标植入深度:3mm;

蒋廷波主任TAVR团队术前手术方案讨论


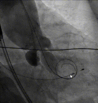
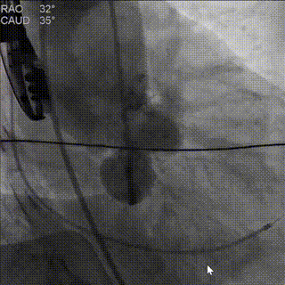
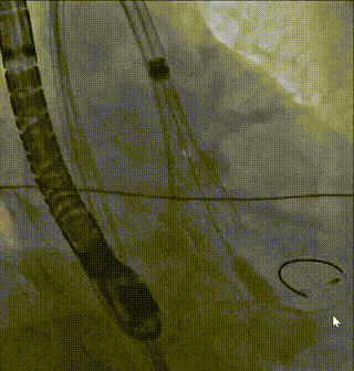
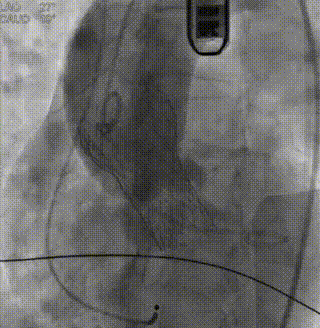
手术过程

术前主动脉根部造影

导丝跨瓣

球囊预扩张

过弓

部分释放

造影评估深度1

造影评估深度2

完全释放

最终造影1

最终造影2

术后即刻超声,瓣膜与患者自身解剖结构贴合良好,无瓣周漏,跨瓣压差降为3mmHg,峰值流速降为1.32m/s,手术取得圆满成功。


术者点评

钱晓东主任:该患者术后无瓣周漏,压差降为个位数,无明显反流,无QRS波形态变化,手术很成功。美敦力Evolut PRO瓣膜是全球寿命耐久性随访证据最长的TAVR瓣膜,安全性高,同时其瓣架设计在保证瓣膜整体顺应性的同时,强化了瓣架径向支撑力,瓣膜释放后瓣架慢慢贴合患者自体瓣环,结合其生物组织内外双裙边设计,有效降低手术瓣周漏及反流并发症,大大提高手术安全性。

贺永明主任:手术过程中的递送系统过弓、跨瓣都十分顺利,充分感受到了Evolut PRO优异的通过性。本例手术运用美敦力Cusp Overlap 技术,该创新植入方法能够准确评估瓣膜目标植入深度,让瓣膜能够精确到目标位置。

程绪杰主任:Evolut PRO整体操作感受不同于以往的操作习惯,按照美敦力瓣膜的释放标准,整体操作感受易上手,操作简单,具有可预测性。


根据《中国心血管健康与疾病报告2020》,心脏瓣膜疾病加权患病率为3.8%,约有2500万人受到瓣膜病影响,其中150万为重度主动脉瓣狭窄患者。令人担心的是,在国内主动脉瓣狭窄远不如高血压、冠心病等为广大人群所知,但主动脉瓣狭窄却非常凶险和致命 —— 早期几乎没有征兆,中后期会导致患者呼吸急促、头晕、心绞痛等不适,甚至可能出现心衰。如果不得到有效的治疗,50%患者会在2年内死亡,80%患者会在5年内死亡。

主动脉瓣狭窄是一种物理结构性改变,药物难以起到作用, 需要采用手术治疗才能进行根本性纠正。包括传统外科手术以及创新介入技术—— 经导管主动脉瓣膜置换术(TAVR),TAVR顺应新时代医疗趋势的疗法,有伤口小、恢复快、术后生活质量高等特点。

阅读数: 2239