

今年,恰逢经导管主动脉瓣置换术(TAVR)正式应用于临床20周年。这20年来,随着器械的不断改进创新、技术的不断发展、循证医学的不断推动,TAVR已经成为重度主动脉瓣狭窄患者的标准治疗方式之一,全球范围内累计共有80余万患者因此获益。
2022年9月17日,美国经导管心血管介入治疗大会(TCT 2022)召开期间,浙江大学附属第二医院王建安教授团队受邀采用线上转播的形式,于云端向全世界心血管病同道展示了在“杭州方案”指导下,使用VenusA-Plus成功完成一例高难度TAVR手术,并和线上嘉宾一起讨论了手术方案决策和术中操作技巧,彰显中国TAVR术者的智慧经验与国产器械的进步和实力。
病例简介
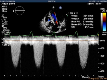
患者,80岁女性,因“反复气紧14年,加重20天”入院。曾于2015年行永久起搏器置入术,合并高血压。STS评分11.878%,虚弱体质。入院超声提示“主动脉瓣中重度狭窄”、“三尖瓣中度反流”。左室舒末径52mm,射血分值35%,主动脉瓣峰值流速3.64m/s,平均压差34mmHg。
行多巴酚丁胺负荷超声后,EF值提升至41.6%,主动脉瓣峰值流速4.48m/s,平均跨瓣压差48mmHg,诊断重度主动脉瓣狭窄。
冠脉CT未见明显狭窄
术前CT评估
二叶式Type 1主动脉瓣,L-R瓣叶对合缘融合嵴,瓣叶风湿性增厚。
冠脉开口高度可,未见冗长瓣叶。
升主动脉扩张,升主最宽处44.9mm。
主动脉瓣水平夹角约59°,非横位心,主动脉弓宽度角度可。
腹主-双侧髂总动脉未见明显钙化,股-髂动脉走行流畅、内径可,分叉高。
瓣环根部CTA
瓣环周长81mm,平均径25.8mm。SOV周长37.7*33.5*31.5mm
左冠高度:17.4mm,右冠高度:21.0mm
升主动脉最宽处44.9mm
HU850钙化积分:140mm²,轻度钙化
弓部宽度角度尚可
股-髂动脉走行、内径可
手术策略
该病例为症状性重度主动脉瓣狭窄,有手术指征,但为外科高危,心脏团队建议行TAVR。为Type 1二叶瓣,钙化轻,伴有升主动脉扩张。拟选用VenusA-Plus瓣膜,根据杭州方案测径,倾向先用23mm球囊预扩张,再根据腰征的有无决定采用26或29mm THV。
刘先宝教授介绍道,VenusA-Plus为可回收的二代TAVR瓣膜,为镍钛合金和猪心包瓣叶,输送系统尺寸为20Fr,有23, 26, 29和 32mm等4个可及尺寸,适合钙化重及二叶瓣人群。VenusA-Plus由王建安教授团队牵头研发,设计上更加符合国人解剖特点,具有更强的支撑力。
手术过程
根部造影,导管测压70mmHg
球囊预扩,无腰征,无漏,考虑常规sizing,选用29mm THV
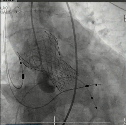
瓣膜在瓣环下精准定位,稳定释放
瓣膜释放后结果

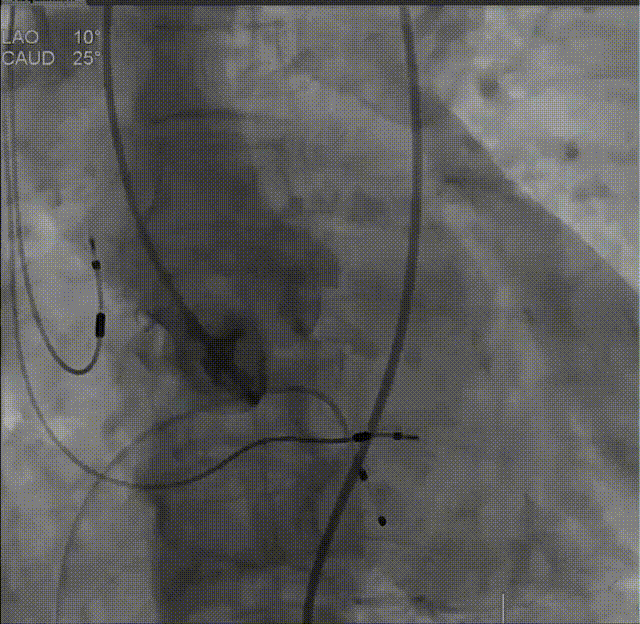
最后造影
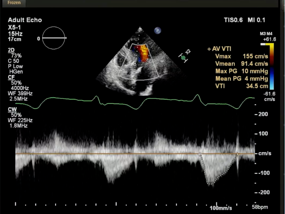
即刻超声未见瓣周漏,主动脉瓣峰值流速1.5m/s,平均压差4mmHg
最后造影亦未见反流,患者情况良好,手术顺利完成。
术后总结
本次手术转播由TCT大会主席、美国纽约长老会医院/哥伦比亚大学医学中心Martin B. Leon教授和耶鲁纽黑文医院John K. Forrest教授担任主持,美国哥伦比亚大学欧文医学中心Rebecca Hahn教授、德国波恩大学Christoph Hammerstingl教授、克利夫兰医学中心Ankur Kalra教授参与讨论。
近年来,我国的TAVR技术从稚嫩走向成熟,在成熟中创新发展,有着大量的优秀诊疗经验和先进技术值得分享。本场手术在“杭州方案”的指导下,过程流畅,效果良好。选用的VenusA-Plus为可回收的二代TAVR瓣膜,由王建安教授团队牵头研发,具有更强的支撑力,在钙化重的患者中锚定可靠,设计上更加符合国人解剖特点。
团队简介
关于浙江大学医学院附属第二医院心脏瓣膜团队
浙江大学医学院附属第二医院心血管内科王建安教授率领的心脏瓣膜团队,在我国领先开展经导管主动脉瓣置换手术(TAVR),院内手术量超过1000例,是国内最大的TAVR中心之一。
团队在我国率先开展快速康复、早期出院计划,在团队各部门的共同努力下,持续优化术前、术中、术后和长期随访的各项流程,实现超过60%的患者术后第二天出院,超过85%的患者术后3天内出院,达到国际领先水平。
近期,团队突破性地成功开展局麻下极简式TAVR,实现TAVR日间手术,上午手术,下午出院。同时,团队在国内领先经导管二尖瓣修复术,包括DragonFly和MitraClip等多款器械,并有多款产品正在临床研究入组中,若符合要求有免费使用器械的机会。