王建安教授团队成功完成一例高难度交界区病变MitraClip™手术演示

恰逢钱塘江潮激流勇进的时节,2022年9月15日,浙江大学医学院附属第二医院王建安教授团队,在中国心脏大会(CHC)2022直播成功完成了一例高难度交界区病变MitraClip™手术演示,浙大二院单中心植入MitraClip™超50例,在国内遥遥领先。

浙大二院从2013年开始开展经导管缘对缘修复技术以来,在国内领先开展经导管二尖瓣修复治疗,包括MitraClip™、DragonFly、ValveClamp、MitralStitch、NeoChord、Arto等多种治疗方式,累计开展近200例。

患者病史

患者为68岁的老年女性,1年前胸闷气促不适症状加重,于当地医院就诊,完善心超提示:肥厚性心肌病(梗阻性),二尖瓣脱垂。后于浙大二院成功行超声引导下经皮心肌室间隔消融射频Liwen术,术后梗阻消失,症状明显好转。近期患者活动后再发胸闷气促,为评估经导管二尖瓣缘对缘修复手术指征来浙大二院,门诊拟“二尖瓣脱垂“入院。

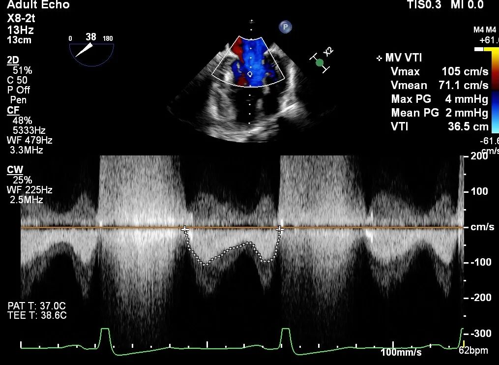
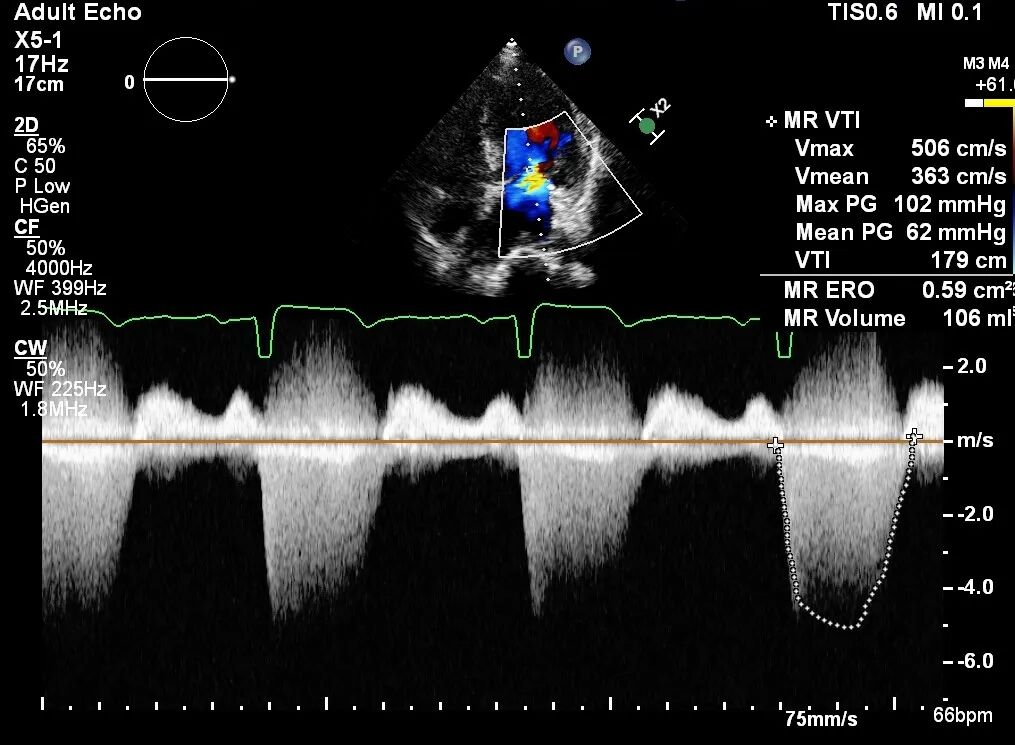
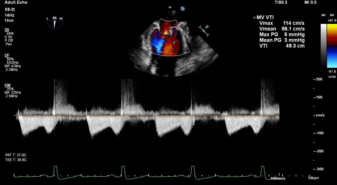
术前TTE提示

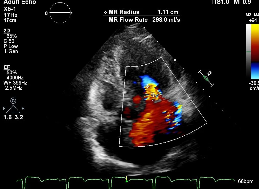
二尖瓣重度反流,EROA=0.59 cm²;RV=106ml;三尖瓣少-中等量反流,PASP: 42 mmHg;左心增大,左室收缩功能减弱。

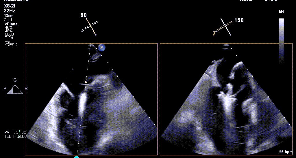
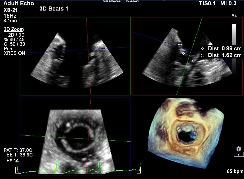
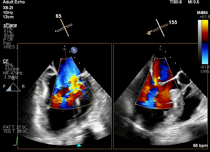
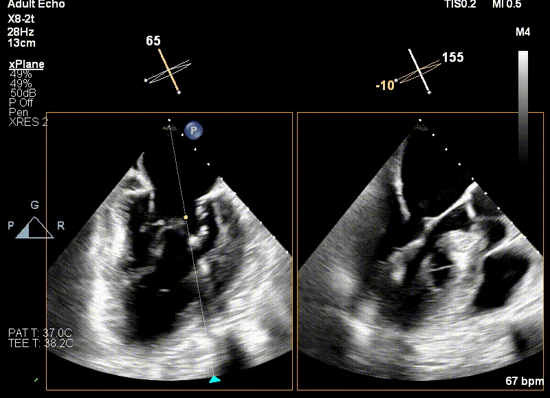
术前TEE评估

原发性MR,交界C1区脱垂,反流程度4+;二尖瓣瓣口面积3.88cm²,平均跨瓣压差2mmHg;二尖瓣前叶(A1)长度16.2mm,二尖瓣后叶长度(P1)长度9.9mm,脱垂高度6mm。

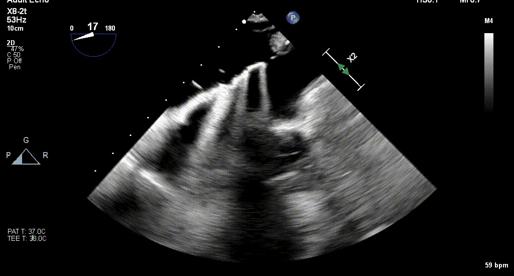
术前MitraClip™策略

从解剖结构来看二尖瓣C1交界区脱垂,反流区域累及P1,脱垂宽度10mm左右,脱垂高度有近6mm。术前策略预计使用1-2个二尖瓣夹,计划先用一个NTR二尖瓣夹完全解决交界处反流,是一次极高难度的挑战。

手术过程

患者全身麻醉消毒铺巾后,超声引导下建立右侧股静脉入路,在经食道超声指导下精准穿刺房间隔。将可操控导引导管SGC和二尖瓣夹输送系统NTR送入左心房。

王建安教授调整二尖瓣夹轨迹和方向,使其轨迹垂直于二尖瓣环平面且指向心尖,定位于二尖瓣C1区且指向1-7点钟方位。

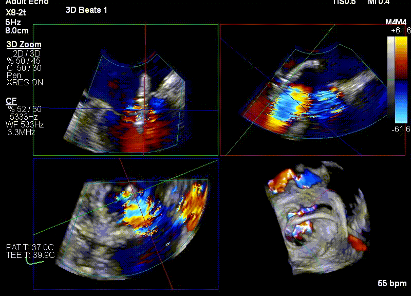
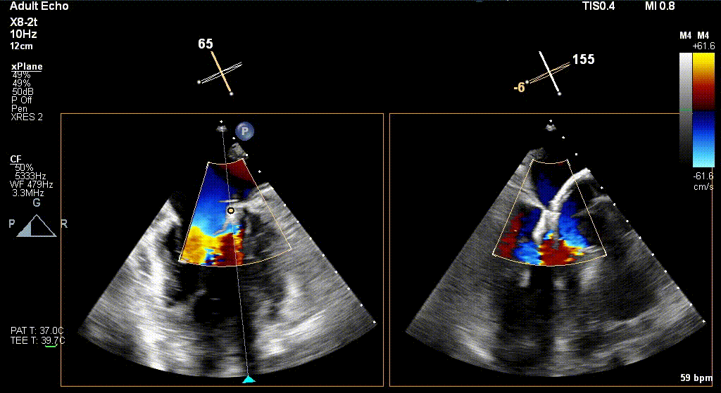
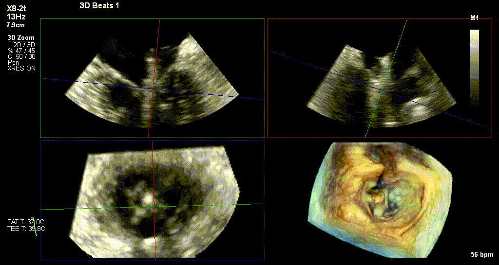
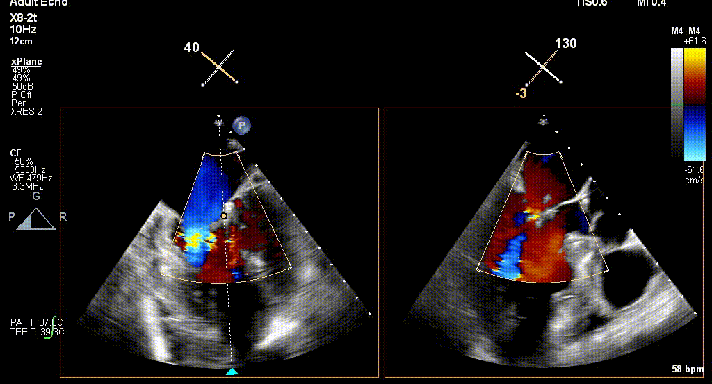
经食道超声引导后,王建安教授将二尖瓣夹NTR夹取C1区瓣叶,准确成功捕获C1前叶和后叶反流最严重区域,并予夹合。使二尖瓣在收缩期由大的单孔变成一大一小的双孔,显著减少了二尖瓣反流。

王建安教授与直播在线专家充分沟通讨论手术方案,为了进一步优化手术结果,计划打开二尖瓣夹后倒置夹臂再回拉至左心房,再次优化二尖瓣夹方向及位置后,多次反复尝试捕捞并夹持瓣叶。

反复测试二尖瓣夹的稳定性,食道超声复查提示二尖瓣夹C1区反流有效改善,术后反流量由术前的4+变为术后的<1,遂精准释放二尖瓣夹。

专家简介

王建安

浙江大学医学院附属第二医院

医学博士、教授、博士生导师,浙江省特级专家,浙江大学医学院附属第二医院党委书记、心脏中心主任、浙江大学医学院副院长(兼)。学术兼职:美国心脏病学会杂志亚洲刊(JACC: Aisa)首任主编,欧洲CSI(心脏结构与瓣膜介入大会)共同主席,国家重大科学研究计划项目(973)首席科学家、第3版全国高等学校长学制统编教材《内科学》共同主编,国家心血管病区域医疗中心(建设)主任、中华医学会心血管病学分会副主任委员,浙江省医学会心血管病学分会前任主任委员,浙江省医师协会心血管内科医师分会会长。

学术成就:全国“白求恩”奖章、何梁何利科学与技术进步奖、吴阶平医药创新奖、谈家桢生命科学奖、浙江省科技重大贡献奖以及全国“最具领导力医院院长“获得者;在心脏瓣膜病的介入治疗方面和间充质干细胞治疗心功能不全的基础和临床研究上具有非常高的学术影响力,以第一完成人获国家科技进步奖二等奖1项、省科学技术一等奖3项,以通讯作者在国际权威杂志发表SCI论文150余篇。
阅读数: 4013
相关专题