宁波市第一医院陈晓敏教授团队完成首例美敦力Evolut PRO经导管主动脉瓣膜系统(TAVR)

2022年9月7日,宁波市第一医院陈晓敏教授团队成功为一名Type 0的重度主动脉瓣膜狭窄患者植入了美敦力Evolut PRO经导管主动脉瓣膜系统(TAVR),此例植入为宁波首例,同时也是浙东首例。

患者基本信息

男性,69岁,1年前开始出现活动较多后气促,自诉爬楼4层后感气促不适,活动耐力较前下降,无呼吸困难,无咳嗽咳痰,无心前压榨感,无心悸,无胸痛咯血等不适。未予以重视,未进一步治疗。半月前为求进一步治疗来我院,门诊以“主动脉瓣狭窄”收治住院。

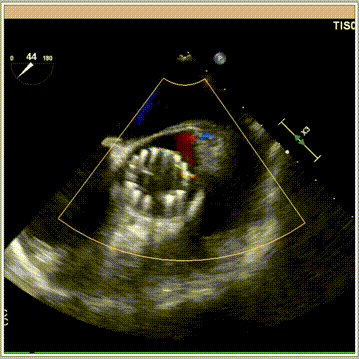
术前心超提示

主动脉瓣钙化伴重度狭窄,Type 0型二叶瓣,升主动脉增宽,左室壁增厚,二尖瓣轻度反流,三尖瓣轻中度反流,左实验室舒张功能减退。LVEF:73%,CW估测跨瓣峰值流速约为Vmax:5.62m/s,平均压差约 75mmHg ,AVA 0.73cm²。

术前CT分析

主动脉根部测量

环上结构

钙化分析
植入角度分析

入路分析

术前分析

术前陈晓敏教授带领团队对这位患者进行了详细的分析,从CT分析结果显示,患者主动脉瓣为type 0型二叶瓣,瓣环直径为24.4mm,结合患者瓣叶钙化等情况,符合美敦力Evolut PRO 29mm瓣膜选型。经讨论决定以右侧股动脉为主入路,左侧股动脉为辅入路,术中进行23mm球囊预扩张,保证系统顺利跨瓣及释放,并采用世界先进的Cusp Overlap技术植入瓣膜 ,以更精准地释放瓣膜深,减少对患者传导系统的影响。

手术简要经过

经左股动脉穿刺,置入6F股动脉穿刺鞘,将猪尾导管引导至主动脉根部,行主动脉造影。180bpm下置入23mm球囊扩张,沿导丝送入美敦力Evolut PRO经导管主动脉瓣膜系统,采用美敦力独有的commissual alignment技术,最大程度保护冠脉。递送系统顺利送入动脉系统并顺利过弓跨瓣,在采用世界先进的Cusp Overlap技术植入技术,最终目标位置完美释放,瓣膜立即工作,展开形态良好,无瓣周漏,无冠脉阻挡,无传导阻滞发生,术后无压差,血液动力学稳定,手术圆满成功。

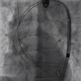
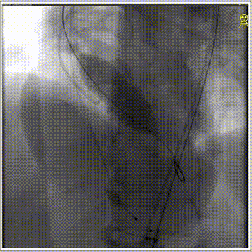
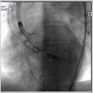
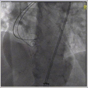
主动脉根部造影

跨瓣

球囊预扩

过弓

0-80%释放

80%造影检查1

80%造影检查2 

最终释放

 最终造影

术后心超

术后总结

该患者为难度极高的Type 0患者,但是依靠TAVR团队的密切配合,和陈晓敏教授高超的手术技巧,完美得完成了手术。另外,陈晓敏教授也高度评价了美敦力Evolut PRO经导管主动脉瓣膜优秀的稳定性和设计,特别是其递送系统的柔软性,保证了过弓的顺利与安全。美敦力严谨的手术操作流程与特有Cusp Overlap释放技术也给手术团队留下了深刻的印象。

根据《中国心血管健康与疾病报告2020》,心脏瓣膜疾病加权患病率为3.8%,约有2500万人受到瓣膜病影响,其中150万为重度主动脉瓣狭窄患者。令人担心的是,在国内主动脉瓣狭窄远不如高血压、冠心病等为广大人群所知,但主动脉瓣狭窄却非常凶险和致命 —— 早期几乎没有征兆,中后期会导致患者呼吸急促、头晕、心绞痛等不适,甚至可能出现心衰。如果不得到有效的治疗,50%患者会在2年内死亡,80%患者会在5年内死亡。

主动脉瓣狭窄是一种物理结构性改变,药物难以起到作用, 需要采用手术治疗才能进行根本性纠正。包括传统外科手术以及创新介入技术—— 经导管主动脉瓣膜置换术(TAVR),TAVR顺应新时代医疗趋势的疗法,有伤口小、恢复快、术后生活质量高等特点。

美敦力TAVR作为自膨胀瓣膜的鼻祖和金标准,在全球拥有全球累计超过3.2万名患者的临床数据,整体呈现高生存率、低卒中率、极少的瓣周漏以及优秀的血流动力学特性。美敦力TAVR已应用于全球160个国家与地区,40多万名患者因此而获益。Evolut PRO 为美敦力第三代TAVR产品,在秉承经典环上瓣设计理念的基础上增加了稳定的多次可回收功能以及生物组织外裙边,大大提高手术安全性和成功率,带给患者更好的临床获益。

专家简介

陈晓敏

宁波市第一医院

心脏中心主任,主任医师(二级),博士生导师。

浙江省医学会心血管病学分会副主委;浙江省心血管协会副理事长;浙江省医学会起搏与电生理分会常务委员;中国医师协会心血管内科医师分会委员;中国老年学和老年医学学会老年病学分会心血管精准医疗专家委员会;宁波市医学会心血管分会副主委;宁波市中西医结合学会心血管病专业委员会主任委员;宁波市医学会起搏与电生理分会主任委员。

阅读数: 1761