急上加急而迅速决策:阜外医院吴永健教授团队成功抢救急性心肌梗死合并心源性休克行急诊TAVR一例

病例特点1:急性心肌梗死收入急诊,合并心源性休克,同时超声提示中重度AS

病例特点2:中重度AS(低流速低压差)

病例特点3:策略决策:急诊PCI?还是急诊TAVR?

病例特点4:策略决策:急诊TAVR术前是否行常规CT评估?

病例特点5:术前CT评估三叶瓣而瓣叶根部钙化重,左室扩大,轻度横位心,超声提示射血分数低(35%),TAVR术中循环崩溃风险高

病例特点6:瓣叶钙化极其重,瓣架花冠展开受阻,大球囊后扩张解决

病例特点7:急诊TAVR术后急性心肌梗死指标明显改善,为择期PCI创造条件

2022年9月3日晚,中国医学科学院阜外医院吴永健教授团队在导管室、CT室、麻醉科、超声科、体外循环和心外科的协作下,急诊TAVR抢救一位急性心肌梗死合并心源性休克伴主动脉瓣中重度狭窄患者。

术前经牛冠男医师和陈阳博士快速行详细CT评估,吴永健主任、赵杰主任和张洪亮主任详细讨论后,全麻为该患者进行急诊TAVR治疗。团队成员赵振燕医师、周政医师和赵卓医师参与手术,整个团队从麻醉科老师的麻醉、气管插管和深静脉置管,到导尿,消毒、铺单、穿刺、冠脉造影后吴永健主任确定先行急诊TAVR、预扩张主动脉瓣、释放瓣膜、后扩张瓣膜,处理下肢入路,一气呵成,仅用时1个半小时,抢救了患者的生命,术后返回重症病房密切监测生命体征变化,术后1周恢复良好,为择期PCI创造了条件。

一、患者基本情况

二、入院心电图、超声心动图,胸片和化验检查

三、急诊病例诊治策略

四、急诊术前CT评估

三叶瓣,瓣叶根部钙化重,双冠脉高度可,轻度横位心,双下肢内径可,左髂总钙化轻度狭窄

1、 基本层面CT评估

2、多平面测量CT评估

3、心室大小评估(心室扩大)

4、投射角度(轻度横位心)

5、全主动脉入路评估

5、冠脉病变评估

五、病例总结与救治操作策略

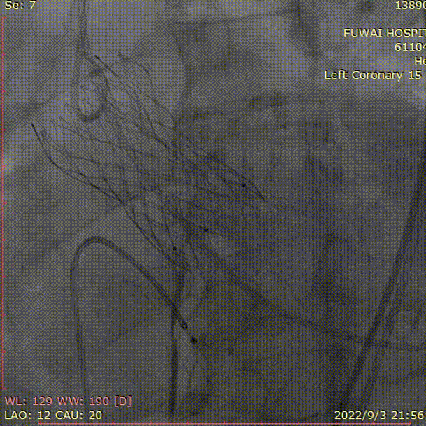
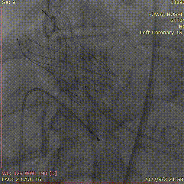
六、急诊TAVR操作过程

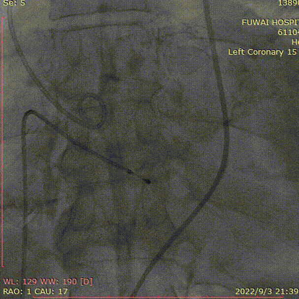
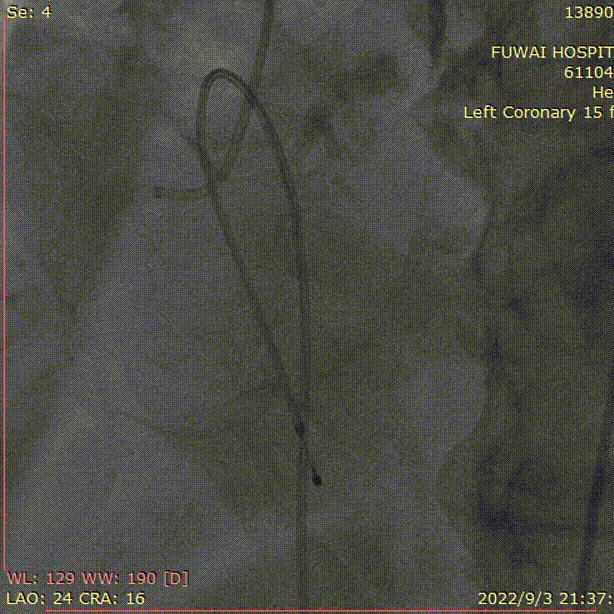
1、冠脉造影和抉择急诊PCI和急诊TAVR

左冠造影

右冠造影

2、主动脉根部造影(右窦中心)

根部造影

3、18mm球囊预扩张

4、植入VenusA-Plus  L29,术后造影冠脉显影良好

初始释放位置定位

完全释放

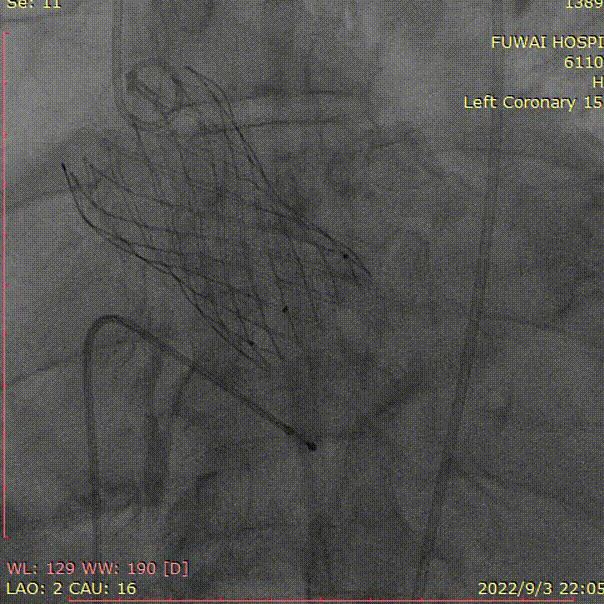
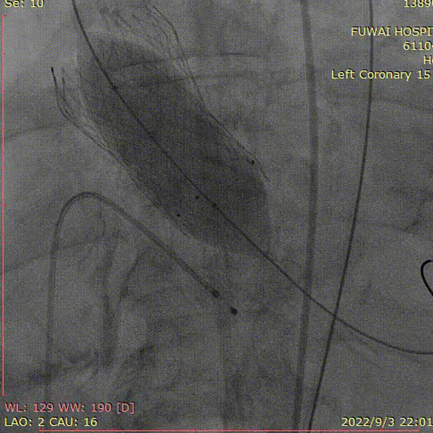
5、25mm球囊后扩(右窦钙化重,由于钙化挤压,瓣架展开不良)

球囊后扩张

术后造影

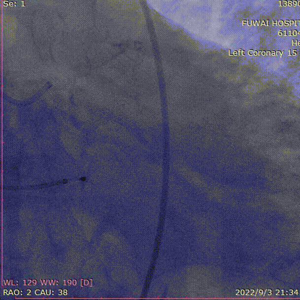
6.术后血管入路评估

股动脉入路造影

7.术后即刻超声

七、急诊TAVR术后一周:心电图、超声心动图,胸片和化验检查

术后3日拔出气管插管,患者逐渐神志清楚。

八、病例总结

本例患者为72岁的老年男性,因外院诊断为急性心肌梗死而收入我院急诊,患者情况危急合并心源性休克,有急诊PCI指征,然而患者超声提示主动脉瓣中重度狭窄,经心外科和结构性心脏中心会诊后,考虑急诊TAVR,吴主任团队评估患者后,患者肾功能良好,先行急诊CT,然后直接快速上台行急诊TAVR,同时分析CT,为TAVR手术提供详细的参考,同时术中冠脉造影再次评估急诊PCI处理指征。患者病情危重,术前根据CT评估确定29型号VenusA-Plus瓣膜并且实现瓣膜预装。冠脉造影后吴永健主任当机立断,先行TAVR治疗,果然在球囊预扩张主动脉瓣时,出现循环崩快,立即心外按压,患者循环恢复,顺利植入瓣膜,然而钙化太重导致瓣架形态不佳,故大球囊后扩张,瓣架形态恢复。在麻醉科、超声科多学科协同下,吴永健主任团队顺利完成TAVR手术。患者术后即刻超声可见支架位置固定良好,瓣叶启闭运动正常,未见明显瓣周漏。患者心功能明显改善,恢复状态良好,手术圆满成功,患者术后恢复良好。

此外,吴永健主任团队最近报道了中国多中心急诊TAVR最新结果:

《急诊经导管主动脉瓣置换术的疗效初探:一项多中心研究》

撰写:中国医学科学院阜外医院 陈阳医生 周政医生

审核:中国医学科学院阜外医院 牛冠男主任、王墨扬主任、张洪亮主任、赵杰主任

鸣谢:启明公司技术 费胜男和温晴协助

专家简介

吴永健

中国医学科学院阜外医院

北京协和医学院长聘教授、博士生导师、主任医师。中国医学科学院阜外医院冠心病中心主任、结构性心脏病中心副主任、冠心病二病区主任。

中华医学会心血管病分会委员,中华医学会心血管病分会冠心病与动脉粥样硬化学组副组长,中国医师协会心血管病分会常务委员,北京医学会心血管病分会副主任委员,中国医师协会中西医结合医师分会心脏康复专业委员会主任委员,世界中联心脏康复专业委员会主任委员,中国医师协会心脏重症专家委员会副主任委员,海峡两岸医学交流协会心脏重症专家委员会副主任委员以及全国多个学会的副主任委员、常委或委员;北京市冠心病介入质控专家组成员,中央和山东省保健成员,北京市医疗事故鉴定组成员。

《中国循环杂志》、《中国介入心脏病杂志》编委,《中华心血管病杂志》、英国《心脏》(HEART)杂志通讯编委及多家其他杂志的编委。

获得2020年教育部科技进步奖一等奖,2020年中华医学科技进步奖二等奖。

擅长复杂冠心病的介入治疗,在国内率先开展OCT、FFR、旋磨技术、准分子激光消蚀手术(ELCA)等,目前他与心脏外科医生通力协作开展复合杂交手术,具全国前列,为常规介入手术或搭桥手术高危和远期疗效差的患者提供了全新治疗手段。

吴永健教授是我国最早开展不用开胸经导管进行主动脉瓣膜置换的专家之一。承担国家和省部级科研课题12项,横向课题10项,2020年国家科技部国家重点研发计划专项(老年瓣膜性心脏病标准评估体系及优化治疗路径研究)任首席专家;已完成经导管主动脉瓣膜置换(TAVR)1000 余例。从零开始探索我国TAVR 体系,参与研发我国首个临床应用的商业化人工瓣膜Venus-A,参与研发多款其他瓣膜(VitaFlow、TaurusOne、Silara 和SinoCrown),获专利30 余项;参与制定我国首个《经导管主动脉瓣置换术中国专家共识》;打造国内首个TAVR 影像学核心实验室;国际上首次提出CT“多平面评估体系”;推广标准化TAVR体系在全国100 多家医院应用。

阅读数: 3164