突破:武汉大学人民医院完成华中首例申淇淇麟®三尖瓣钳夹术

2022年9月初,武汉大学人民医院江洪教授、陈静教授、周青教授领衔的结构性心脏病团队,成功运用拥有自主知识产权的新一代申淇淇麟®经导管三尖瓣夹及可操控导引导管系统,为一位高危功能性三尖瓣反流患者成功实施了股静脉途径经导管三尖瓣缘对缘介入修复术。手术过程顺利,首次植入耗时仅2小时左右,患者术后恢复良好。此手术的顺利开展,标志着申淇淇麟®三尖瓣系统在华中地区完成了首例植入。


武汉大学人民医院结构性心脏病团队,已经在经导管二尖瓣缘对缘修复技术(TEER)中积累了较好的经验,是国内极少数掌握该技术的中心之一。此次手术,由心内科江洪教授、陈静教授,与心律失常亚科赵庆彦教授、超声科周青教授、麻醉科夏中元教授、刘志刚教授等合作完成。该手术的成功实施,标志着武汉大学人民医院心内科结构性心脏病团队在经皮微创瓣膜导管介入技术领域迈向一个新的台阶,成为国内极少数同时掌握主动脉瓣、二尖瓣和三尖瓣微创介入治疗的中心之一。

基本情况

患者术前TEE提示重度三尖瓣反流,临床症状明确,合并冠心病,心律失常,慢性心功能不全等多种并发症,经多学科讨论判定为传统外科手术高危患者,决定行经导管三尖瓣缘对缘修复术。

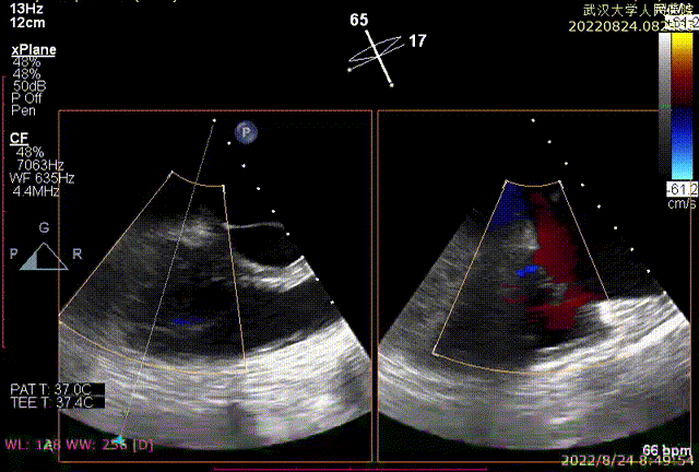
图1:术前TEE

术前TEE提示三尖瓣瓣叶活动可,无明显脱垂,隔瓣较短,反流束来源于前瓣及隔瓣交界处,前瓣及隔瓣对合缘保留良好,反流束同时向后隔交界延伸。

手术采用申淇淇麟®经导管三尖瓣夹及可操控导引导管系统,其创新性的采用了复合多向调弯输送系统,在两层鞘管上具备三个不同方向的调弯,可以适应更加复杂的右心室解剖,达到很好的输送同轴性。

同时其瓣膜夹系统继承于申淇淇麟®经导管二尖瓣夹及可操控导引导管系统优秀设计,具备四个不同型号的夹子及瓣叶分开捕获能力,从而适用更加复杂多变的三尖瓣解剖。因该患者三尖瓣反流束较宽,瓣叶存在较宽的关闭裂隙,术中很好的利用了瓣叶分开捕获的功能,于前隔瓣区域行瓣膜缘对缘修复。植入一枚长宽夹子后,术后即刻患者反流减至轻度。患者术后恢复良好,出院前TTE提示三尖瓣轻度反流。

图2:术后即刻TEE

三尖瓣反流 (tricuspid regurgitation,TR) 是常见的心脏瓣膜疾病,欧美流行病数据显示其发病人群总数次于二尖瓣病变,高于主动脉瓣膜病变。其中功能性三尖瓣反流为主要病因,多继发于左心瓣膜病、心力衰竭、肺动脉高压和心房颤动等。美国全国注册数据显示10年内仅行单纯TR手术5000余例,单纯三尖瓣外科手术风险在瓣膜手术中是最高的,手术死亡率达8.8%~9.7%,亟待更加微创的经导管介入治疗方式。目前,虽然三尖瓣介入治疗技术路径繁多,真实世界中使用最广泛,临床证据最充分的依然是介入缘对缘修复,真实世界Trivalve注册研究显示接近70%的介入三尖瓣手术是通过缘对缘技术完成的,凸显了介入缘对缘技术在三尖瓣介入领域中广阔的应用前景。申淇淇麟®经导管三尖瓣夹及可操控导引导管系统的问世,更是为我国广大的三尖瓣患者人群提供了更多的治疗选择。

专家简介

江洪

武汉大学人民医院

内科主任、内科教研室主任、心内科主任、住培和专培基地主任

诊疗专长:对心血管疾病的介入治疗有深入研究,对快速性心律失常的消融治疗和缓慢性心律失常的起搏治疗有丰富的经验,对瓣膜病,先天性心脏病和冠心病的介入治疗技术娴熟,安全有效地治疗万余例病人。因在心脏病介入治疗领域具有全面和十分精湛的技术而成为全国同行公认的知名专家。

学术任职与荣誉:中华医学会心血管病分会常务委员兼急危重症学组组长,中国医师协会心律分会副主任委员、中国医学装备学会心血管装备技术委员会副主任委员、中国生物医学工程学会心律分会副主任委员、湖北医学会心血管学会主任委员、湖北医学会内科学会副主任委员。国务院政府特殊津贴专家,赛克勒中国医师年度奖获得者,获全国卫生系统先进工作者、湖北省保健工作杰出专家和突出贡献奖、湖北省“我最喜爱的健康卫士"、湖北省优秀科技工作者、湖北省百佳医生、湖北省金口碑医生等。

科研成果:主要从事心律失常和冠心病的基础与临床研究。主持完成或在研国家科技部重点专项1项,国家自然科学基金重点项目1项、国家自然科学基金5项及其他省部级项目6项,在全国专业期刊发表论文300余篇,以通讯作者发表SCI论文150余篇;主编或主译专著2部;获国家科技进步奖二等奖3项,华夏医学科技奖一等奖1项,教育部科技进步奖二等奖1项,中华医学会科技进步二等奖1项,湖北省科技进步奖一等奖5项、二等奖3项,湖北省自然科学奖三等奖2项,湖北省科技成果推广奖一等奖1项、二等奖1项,武汉市科技进步奖一等奖1项、二等奖1项,获国家专利1项。

陈静

武汉大学人民医院

心内V科(急性心血管病救治中心)主任;主任医师,副教授,博士生导师,美国乔治亚理工大学访问学者。

美国心脏病学会委员(FACC);国家卫健委冠脉介入培训导师;中国医师学会心脏重症专业委员会委员;中华医学会心血管分会急重症学组全国委员兼秘书;中国医师协会心血管内科医师分会心血管危重症学组全国委员;中国医师协会心脏重症专业委员会重症心肌病学组委员;中国研究型医院心力衰竭专委会委员;中国心衰中心联盟委员;中国中部复杂冠脉介入青年委员会组长;中国心胸血管麻醉学会基层心血管病分会全国委员;亚太结构性心脏病青年委员会银金会员;中国胸痛中心现场核查专家;“十四五”重点专项指南编撰专家;湖北省微循环学会心血管专业委员会 副主任委员;湖北省医学会心血管内科第八届委员会委员;湖北省医师协会心血管内科医师分会第一届委员会委员;湖北省急性心血管疾病医疗救治中心秘书长兼委员;湖北省闭塞病变俱乐部委员兼常务秘书;武汉市中青年骨干人才。

科研成果:

湖北省科技进步奖 一项;湖北省自然科学奖1项;主持国家自然科学基金2项;主持教育部博士点和中央高校青年教师基金各一项;发表SCI论文50余篇;参编参译论著4部。

周青

武汉大学人民医院

超声影像科主任,医学博士,教授、主任医师,博士生导师;耶鲁大学医学院访问学者、哈佛大学医学院附属麻省总医院研究员、Humanitus大学医学院访问学者。

现任中华医学会超声分会委员;中国医师协会超声医师分会常务委员及心超专委会副主任委员;中国女医师协会超声分会副主任委员;湖北省医学会超声分会主任委员;湖北省超声影像与治疗质控中心主任;武汉市医学会超声分会副主任委员。

从事临床超声诊断工作20余年,擅长心血管疾病的超声诊断以及3D经食管超声心动图技术。主持5项国家自然科学基金和多项省级科研项目。发表SCI及统计源论文100余篇,多次获得省市科技进步二等奖。

阅读数: 4512
相关专题