病例荟萃第十期|张闽: 一“管”在手,天下我有 Telescope™导引延长导管辅助治疗下的一例复杂冠脉介入手术病例

张闽 首都医科大学附属北京安贞医院


简要病史


男性,75岁。

主诉:PCI 14年后再次发生胸闷不适,4个月。

现病史:14年前活动出现胸闷、气短不适,持续时间不等,患者于当地医院行PCI手术,于RCA植入支架,术后给予药物口服,疗效尚可。4月前患者自觉症状较前加重,低于一般体力活即可发作,自行服药效果欠佳,且多次发作。

既往史:既往健康状况一般,有高血压病史14年,曾服用药物氯沙坦钾。无糖尿病史。有高血脂症病史14年,曾服用阿托伐他汀,海博麦布。无心肌梗死史。无脑血管疾病史。无哮喘史。

否认吸烟史、饮酒史。

外院冠脉CT检查:RCA近段重度狭窄,远端支架通畅,PDA重度狭窄。

检查结果

临床诊断

不稳定型心绞痛

高血压病2级(极高危)

高胆固醇血症(他汀疗效不佳)

应激性溃疡(预防治疗)

冠脉造影

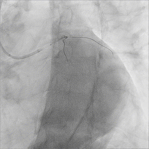
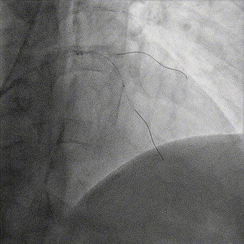
右冠造影

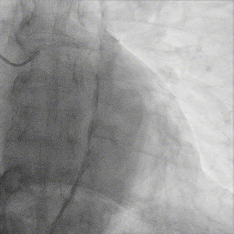
左冠头位

左冠正足位

手术策略和器械选择

先处理左冠LAD,再处理右冠。

需要强支撑力。

左冠钙化严重,输送支架存在潜在的困难,故选择导引延长导管辅助输送。

选择6F EBU3.5,同时也选择导引延长导管Telescope™。

LAD造影显示存在重度钙化伴迂曲,故选择输送性通过性优异、头端柔软安全的导引延长导管。

导引延长导管给支架输送提供一个通道,于此同时可以提供更好的支撑力。


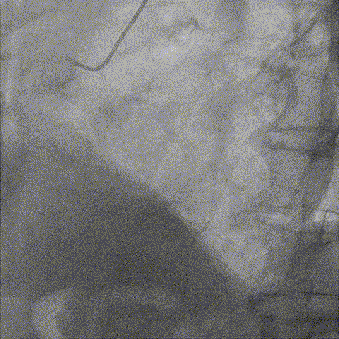
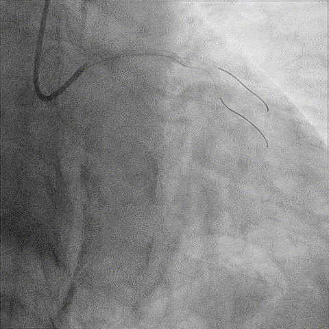
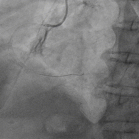
介入经过及结果

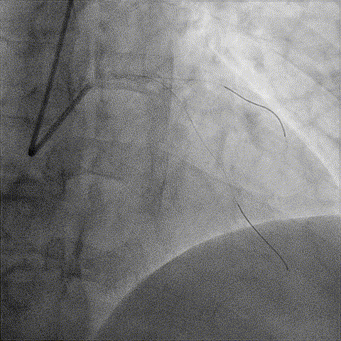
导引延长导管支撑支架通过病变

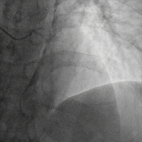
近段支架定位

PCI术后结果


经验体会及总结

Telescope™导引延长导管有良好的输送性,可以高效的到达位置。

与此同时因为其安全的头端,在进入冠脉是可以更加放心的操作。

再通过支架时,没有出现剐蹭的情况,可以提高手术效率。

提供了良好的支撑力,在钙化病变中操作游刃有余。

专家介绍

-  张闽  -

首都医科大学附属北京安贞医院


心血管内科专业博士学历,首都医科大学附属北京安贞医院心内科副主任医师,2010年师从我国著名心血管专家吕树铮教授学习冠脉介入治疗,目前熟练掌握冠脉介入技术,尤其擅长左主干、分叉、桥血管、慢性闭塞等复杂冠脉病变的介入治疗,熟练掌握IVUS,OCT和FFR等腔内影像和血管功能学检查在冠脉介入治疗中的辅助应用。

长按二维码关注“一脉同行”

阅读数: 640