全省首例|河池市人民医院心血管内科团队成功完成一例经导管主动脉瓣置换术+经皮二尖瓣球囊扩张成形术一站式手术


 经典病例

2022年9月1日,河池市人民医院心血管内科唐秀革院长、莫昌干主任团队,在医院麻醉科、超声医学科等多科室的协作下,使用VitaFlow Liberty™电动可回收经导管主动脉瓣输送系统成功为一位主动脉瓣重度关闭不全合并二尖瓣重度狭窄患者实施经导管主动脉瓣置换术(TAVR)+经皮二尖瓣球囊扩张成形术(PBMV)一站式手术。


此案例中,患者患有单纯性主动脉瓣重度反流,其瓣叶增厚,手术难度较高,存在一定风险。河池市人民医院手术团队经过严谨细致的术前评估和分析,拟定了完备的手术策略,最终顺利完成手术,手术治疗效果显著,保障了患者的长期预后。此次TAVR+PBMV一站式手术的成功开展,标志着河池市人民医院心脏瓣膜团队在复杂性瓣膜疾病微创诊疗技术上更上一层楼。

患者信息

患者女,68岁



主诉:半年前出现劳力性胸闷气喘,纳差,消瘦症状,超声提示病人患有老年退行性瓣膜病重度主动脉瓣反流重度二尖瓣狭窄,心功能Ⅵ级,高血压Ⅲ级。患者症状反复,且呈加重趋势。手术10天前,患者症状加重,卧床翻身即出现气促不适症状,且心悸症状明显,偶有夜间阵发性呼吸困难。

术前评估

超声检查

  • 左右心室及左心房增大

  • 主动脉瓣重度关闭不全

  • 风湿性心脏病

  • 二尖瓣重度狭窄并轻微关闭不全

  • 三尖瓣中度关闭不全

  • 肺动脉瓣轻度反流

  • 中度肺动脉高压

  • 左室射血分数(LVEF):55%

  • 左室收缩末期内径:38mm

  • 二尖瓣瓣口面积:0.55cm²

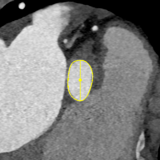
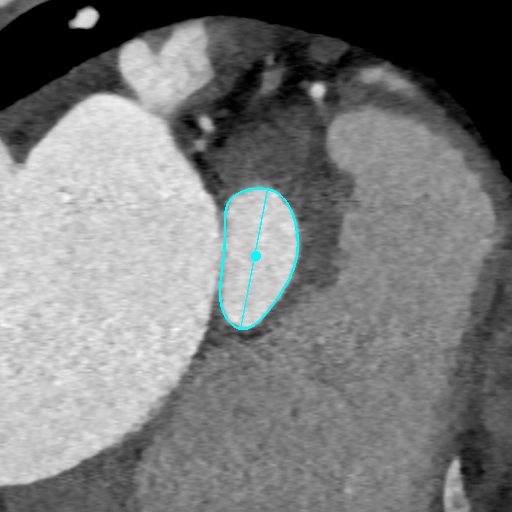
CT测量

主动脉根部CT

瓣环平均直径:

22mm

左室流出道平均直径:

23.3mm

窦宽:32/30/31mm

横位心:48°

左冠开口高度:

13.5mm

右冠开口高度:

10mm

入路情况

手术过程

术前分析及策略制定

术前唐秀革院长、莫昌干主任组织讨论并分析总结此病例特点和手术风险:

  • 患者主动脉瓣为三叶瓣,且重度关闭不全,合并二尖瓣重度狭窄

  • 冠脉高度尚可,窦宽可,冠脉风险小;

  • 单纯性主动脉瓣反流,瓣叶增厚,瓣膜定位释放后有移位下滑的风险,因此人工瓣膜的精准定位和释放极为关键。

经过术前反复的评估和研讨,制定适宜的手术策略:

  • 以右侧股静脉为入路,使用26mm二尖瓣球囊进行预扩张;以右侧股动脉为入路,选择股骨中上1/3或中点处穿刺,不使用球囊进行预扩张,植入VitaFlow® TAV27;

  • 考虑使用国内首创的VitaFlow Liberty™电动可回收瓣膜输送系统, 先行经皮二尖瓣球囊扩张成形术(PBMV),后行主动脉瓣置换术(TAVR)。

术中操作

二尖瓣球囊扩张

瓣膜定位

瓣膜释放

瓣膜释放至可回收极限位

释放完成

术后评估

人工瓣膜在主动脉瓣处锚定释放后,工作正常,造影未见瓣周漏,零压差,二尖瓣瓣口面积从0.55cm²恢复至1.2cm²以上,患者血流动力学得到明显改善,手术圆满完成,患者苏醒后顺利转入病房。

术后讨论

  中国TAVR之路已历经十载,如今已迎来高速发展阶段。经股动脉TAVR是外科手术禁忌或高危患者治疗复杂心脏瓣膜病、主动脉瓣重度狭窄或反流的一种有效方式。河池市人民医院心脏瓣膜团队在唐秀革院长、莫昌干主任的带领下锐意进取,掌握了包括TAVR在内的多项高精尖诊疗技术,如快速型心律失常射频消融术、主动脉和外周血管介入治疗、先天性心脏病介入封堵术等,挽救了大量心脏疾病患者的生命。

  此案例中,唐秀革院长、莫昌干主任手术团队先为患者施行PBMV,再借助VitaFlow Liberty™电动可回收瓣膜输送系统进行TAVR,术后造影检查和心脏彩超评估人工瓣膜位置佳,活动良好,主动脉瓣跨瓣压差为零,无瓣周漏现象。患者心功能得到显著改善,手术取得圆满成功。此次手术的成功开展彰显了TAVR治疗主动脉瓣反流的安全性和有效性,也表明河池市人民医院心脏瓣膜团队手术技术的不断精进与成熟,为辖区内高龄、复杂心脏瓣膜疾病患者带来了治愈的希望。

  作为国内唯一一款电动可回收瓣膜输送系统,VitaFlow Liberty™创新性地配以电动手柄,实现了瓣膜释放至75%前的完全可回收与再定位;电动手柄的工程学设计及优化性能在实现瓣膜回收和重新定位时能给予术者更可控、安全和精确的手术体验;输送系统的360度全向可弯曲性能有助于通过横位心等迂曲解剖结构。同时VitaFlow®瓣膜的裙边及腰部高密度网孔设计,能提供足够的径向支撑力,有助于锚定,降低发生瓣周漏等术后并发症的风险,为TAVR手术的顺利进行助力。

专家信息



唐秀革

河池市人民医院

河池市人民医院院长,主任医师,教授、硕士生导师

中共河池市卫生健康委员会党组成员,中共河池市卫生健康工作委员会委员,医院党委副书记,广西心血管病分会常务,广西心脏起搏与电生理学分会常委,中国南方国际心血管病学术会议主席团成员,广西冠心病介入论坛学术委员,广西中西医结合脑心同治专业委员会常委,河池市心血管分会主任委员,内科学分会主任委员,河池市人大代表,第九届广西青年联合会委员。2014年获得广西五一劳动奖章,2015年获得“全国先进工作者”荣誉称号,2018年荣获“河池工匠”荣誉称号,主持《冠心病介入诊疗的临床应用观察》获河池市科技进步一等奖,2019年荣获“河池市第六批专业技术拔尖人才”荣誉称号,河池市心血管内科诊疗技术人才小高地负责人,河池市第一批特聘专家,第六批拔尖人才,河池市人民医院十大名医之一。曾于北京安贞医院进修学习。对心血管内科各种急、危、重症的抢救治疗及疑难杂症的诊疗具有丰富经验,率先在河池市范围内开展冠脉造影术、支架置入术、临时/永久起搏器植入术、射频消融术、先心封堵术。目前,已完成心脏介入手术6000多台,在国内外期刊发表论文十余篇,其中SCI文章3篇。





莫昌干

河池市人民医院

河池市人民医院心血管内科一病区主任,副主任医师

广西医学会心血管病学分会心电生理及起搏分会青年委员;广西心脏康复中心联盟委员;河池市医学会心血管分会委员;河池市第一批“十百千”人才工程医疗卫生类第三层次人选。从事心血管内科临床、教学与科研工作多年,具有扎实的专业技术和良好的科研素质,对冠心病、高血压病、心力衰竭、心律失常、心脏瓣膜病等疾病的诊断及治疗有丰富的临床经验,擅长冠心病、主动脉疾病、大动脉疾病的介入诊疗。曾于匈牙利德布勒森大学医学院、广东省人民医院进修学习,曾参与多项国家自然基金课题及省市级科研项目,目前承担市级科研项目1项,院校级科研项目1项,在国内外公开发表论文数篇,其中 SCI 文章3篇。





韦颖

河池市人民医院

河池市人民医院心血管内科一病区副主任,副主任医师,副教授

广西医学会心脏起搏与电生理分会委员,河池市心血管分会委员,河池市第一批“十百千”人才工程医疗卫生类第三层次人选,曾于北京阜外心血管病医院心脏急重症中心、心律失常介入诊疗中心及广西医科大学第二附属医院心内科进修学习。对心血管内科多发病及常见病的诊断及治疗,尤其对心律失常的诊疗有丰富的临床经验,擅长心律失常介入治疗如射频消融术、永久心脏起搏器植入术、埋藏式心律转复除颤器(ICD)植入、心脏再同步化治疗(CRT)等,目前承担市级科研项目1项,院校级科研项目1项,在省级及国家级期刊发表论文10篇。

阅读数: 958