金砖会议|厦心王焱团队成功应用两款中国原创瓣膜向国外进行手术直播,彰显心血管创新技术“中国力量”

2022年9月7日,厦门大学附属心血管病医院(简称“厦心医院”)当晚成功线上举办金砖心血管健康创新中心介入沙龙·TAVR专场。

这场沙龙主要围绕经导管主动脉瓣置换术(TAVR)的心血管前沿技术展开讨论,来自巴西的Dr. Marcio Montenegro,来自阿根廷的Dr. Pablo Lamelas、Dr. Juan Pablo De Brah、Dr. Matias Sztejfman,来自中国厦心医院的王斌、陈翔等专家分别介绍了各自国家的相关经验。

同时,厦心医院王焱教授团队应用两款中国原创瓣膜(启明VenusA-Plus & 微创Vitaflow II)向国外专家直播演示,成功为一例冠脉高风险主动脉瓣重度狭窄和一例高龄主动脉瓣重度反流患者行TAVR手术,彰显心血管创新技术的“中国力量”。

CASE 1

患者基本情况

患者为66岁女性,NYHA心功分级III级,主诉“反复活动后胸闷,气促1年余,加重1月”入院,合并重度三尖瓣反流、高血压病3级、II型糖尿病。既往行双腔起搏器植入术,20年前曾行甲状腺瘤切除术。

此次患者心衰再发,夜间端坐呼吸,入院检测NT-proBNP 11987 pg/ml,肺部CT提示肺水肿。STS 评分 18.6%,提示传统外科手术高危。
经结构心脏病团队评估拟行TAVR手术,但LCA有术中闭塞风险,拟行冠脉保护策略。

心脏超声

LVEF 35 %,主动脉瓣钙化,主动脉瓣三叶瓣,开放受限,闭合不拢,主动脉瓣峰值流速4.3m/s,峰值压差73mmHg,平均压差37mmHg,三尖瓣重度反流,TAPSE 13mm。

入院诊断 

心脏瓣膜病 主动脉瓣重度狭窄伴重度反流,三尖瓣重度反流,心功能不全 NYHA III级,高血压病3级,2型糖尿病。

CT评估

1.瓣环及左室流出道

2.主动脉根部

3.外周血管入路

手术策略

因该患者长期反复心衰,基础疾病较多,一般状况欠佳,无法耐受外科开胸手术,经过多学科心脏瓣膜团队充分讨论患者病情、手术意愿及手术指征,与家属反复沟通后决定采用创伤小、恢复快的TAVR手术。综合各项,手术团队评估患者患者瓣叶增厚,窦部空间小,左冠脉有极高遮挡风险,于左冠脉预埋球囊和导丝,再使用18mm球囊预扩判断瓣膜选型,预装VenusA-Plus 23mm瓣膜。

手术过程

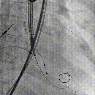
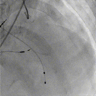
1.LAD+LCX造影

2.右冠造影

3.主动脉根部造影

4.18mm球囊预扩

5.跨弓+跨瓣

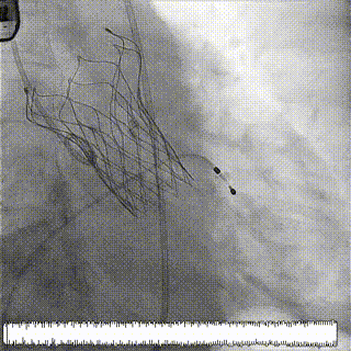
6.释放至工作位

7.完全释放

8.术后造影,冠脉血流通畅

瓣膜释放后,复查左室-主动脉瓣峰值压差0-1mmHg,食道超声及造影像均提示瓣膜无反流,冠脉血流通畅。
厦心王焱教授团队成功完成演示此例高危复杂TAVR手术,手术团队全程配合默契,与会海外专家予以高度赞扬。

目前,经导管主动脉瓣置换术已成为重度主动脉瓣狭窄及关闭不全患者改善症状和预后的有效治疗策略。此例主瓣置换手术,充分展示了国产自主品牌启明第二代可回收瓣膜VenusA-Plus的通过性和更好的操作性,完美演绎了应用结构性心脏病领域瓣膜置换最新器械治疗高危复杂的手术病例。



CASE 2

患者基本情况

患者为78岁女性,NYHA心功分级III级,主诉“反复活动后胸闷伴头晕3年,加重2周”入院,既往高血压20余年。

此次患者胸闷再发,入院检测NT-proBNP 3546 pg/ml, 经胸超声提示左室扩大,主动脉瓣重度反流,基线舒张压仅35-40mmHg。STS 评分 5.91%,且患者高龄瘦弱,提示存在外科手术风险,且患者家属拒绝传统外科开胸手术。经结构心脏病团队评估拟行TAVR手术。

术前检查

TEE

升主动脉扩张,重度主动脉瓣反流,反流束缩流颈宽度6.4mm。

CT评估

收缩期瓣环:70.3mm

收缩期流出道:72.2mm

舒张期瓣环:68.1mm

舒张期流出道:73.1mm

左冠高度10.8mm

右冠高度14.1mm

主动脉窦宽:32.8mm、31.3mm、32.4mm

窦管结合部:113.9mm

升主动脉:146.6mm

制定策略

患者入路条件良好,三叶式主动脉瓣,主动脉瓣重度反流,流出道较短,STJ、升主动脉较大,瓣膜释放容易位移,瓣下1~2mm起始释放,最终锚定瓣下3mm。

术中影像

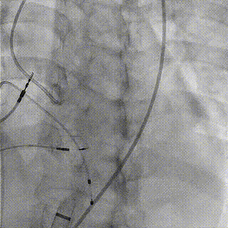
1.主动脉根部造影,可见大量反流

2.输送系统过主动脉弓

3.输送系统造影定位

4.释放瓣膜

5.瓣膜完全释放

6.最终造影,反流消失

手术结果

术后食道超声及造影未见瓣周漏,效果良好,手术圆满完成。


食道超声释放前


食道超声释放后

瓣膜释放后,食道超声及造影均提示瓣膜无残余反流。
由于国外主动脉瓣纯反流TAVR手术没有太多临床经验,此次厦心王焱教授团队成功演示此例纯反流TAVR手术,结果完美,给与会海外专家极大的启发和震撼。

王焱教授就此例病例特点,回答了在场线上专家的提问,并总结和分享了“Pigtail Pre-cast”,“多层面anchor”等TAVR手术的厦心经验。另外,此例主瓣置换手术,充分展示了国产自主品牌微创第二代可回收瓣膜VitaFlow Liberty™用于纯分流TAVR手术的优越性,其独特底部内外双侧裙边设计可增加锚定力,有效较低瓣周漏风险。

王焱教授称,厦心医院发起成立金砖心血管健康创新中心,不断深化金砖国家心血管健康交流协作,已于今年5月举办了首次金砖心血管健康创新圆桌会议,并获批为“金砖示范单位”。

他表示,下一步,医院将定期举办学术沙龙,与金砖国家就心血管创新技术展开深入研讨;同时,促进更多国产创新医疗器械“出海”,走进更多金砖国家,共同提升金砖国家心血管健康水平。

专家简介

王焱

厦门大学附属心血管病医院

厦门大学附属心血管病医院院长,香港大学医学博士、教授、主任医师、博士生导师,美国心脏病学院会员(FACC),欧洲心脏病学会会员(FESC),国际心血管介入学会会员(FSCAI),中华医学会心血管分会委员,中国胸痛中心认证委员会副主任委员,中华医学会心血管病学分会介入心脏病学组副组长,海峡两岸医药卫生交流协会心血管病分会主任委员,国家卫生健康突出贡献中青年专家,具有丰富的临床工作经验,从事心血管系统疾病的诊治,在冠状动脉、外周血管疾病及心脏瓣膜疾病诊治方面有很高造诣。

门诊时间: 周四下午

王斌

厦门大学附属心血管病医院

医学博士,主任医师,厦门大学副教授,硕士研究生导师;中国胸痛中心区域认证中心(厦门)分中心办公室主任;厦门大学附属心血管病医院急诊科主任,胸痛中心主任;中华医学会心血管病分会结构组委员,中国医师协会心血管病分会结构组委员,中健科会结构专委会委员,中国胸痛中心认证专家;国际血管联盟中国分部心血管疾病专家委员会副主任委员;福建省医学会心血管病分会青年委员;海峡两岸医药卫生交流协会心血管病分会常务委员;亚洲青年结构俱乐部黄金会员;澳大利亚The Prince Charles Hospital (TPCH)学习;从事心血管内科临床、冠脉、结构性心脏病介入及胸痛中心建设、维护及认证工作。

陈翔

厦门大学附属心血管病医院

医学博士,主治医师。美国心血管造影与介入学会会员(FSCAI)中国病理生理学会会员,厦门大学医学院MBBS讲师,EHJ中国青年编委,CVIA青年编委。擅长复杂冠心病、心脏瓣膜病的微创介入治疗。承担和参与多项国家级及地市级课题研究。发表多篇SCI,第一作者单篇最高影响因子11.195(JACC interv)。


阅读数: 2456
相关专题