病例荟萃第九期|穆景博:Telescope™导引延长导管处理钙化病变

穆景博 北京大学第一医院太原医院


简要病史


患者女性,53岁

主诉:间断气短、咽部不适1月余

既往史:高血压10年余

家族史:父亲有高血压,冠心病

心电图

临床诊断

【临床诊断】

冠心病;高血压3级(很高危)

【用药情况】

阿司匹林100mg qd

替格瑞洛90mg bid

阿托伐他汀钙片20mg qd  

酒石酸美托洛尔25mg bid

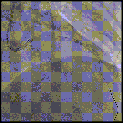
冠脉造影

LADp-m严重钙化、迂曲,LADp50-95弥漫性狭窄,LADm50%局限性狭窄;LCXp50%局限性狭窄

RCAp50-75%节段性狭窄,RCAd不规则

手术策略和器械选择

手术策略

1、IVUS评估;

2、必要时行旋磨术;

3、支架置入术。

器械选择

1、7F EBU3.5导管;IVUS导管;6F Telescope™导引延长导管;

2、SION导丝;

3、预扩球囊2.0×20mm;

棘突球囊2.5×13mm;

高压球囊3.0×15mm;

4、Resolute Integrity2.75×30mm;

Resolute Integrity3.0×22mm;


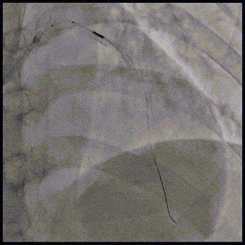
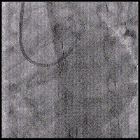
介入经过及结果

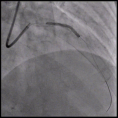
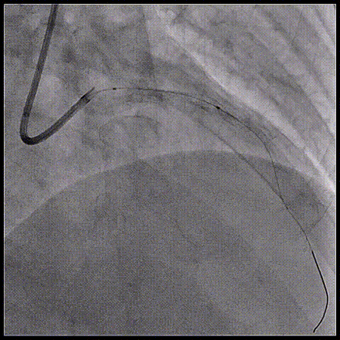
IVUS导管

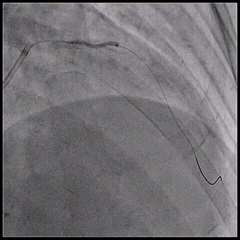
预扩球囊2.0×20mm      

12ATM

预扩球囊2.0×20mm

12ATM

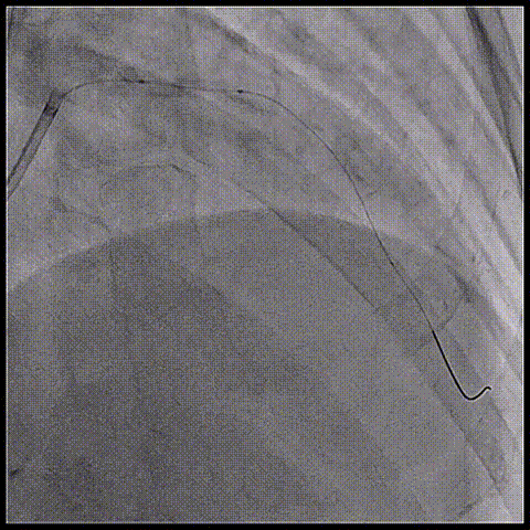
棘突球囊2.5×13mm

12ATM

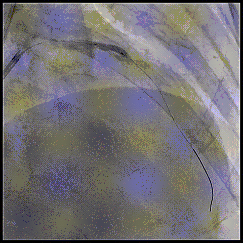
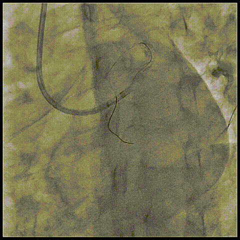
Telescope™导引延长导管支撑,IVUS导管顺利通过

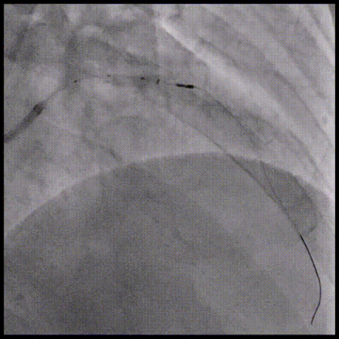
 高压球囊3.0×15mm

14ATM

Resolute Integrity2.75×30mm

12ATM

Resolute Integrity3.0×22mm

14ATM

高压球囊3.0×15mm

12-18ATM


经验体会及总结

此病例为外膜钙化扭曲病变,超声导管无法通过,2.0mm小球囊通过困难,选用导引延长导管可以提高通过性,Telescope™导引延长导管在该病变中使球囊及IVUS导管通过顺利,器械输送效果及兼容性佳!

对于钙化病变,IVUS的选择还是必要的。如伴有钙化小结、环形钙化等,旋磨是一个好的选择,此病例无钙化小结及环形钙化,球囊扩张完全,所以未选择旋磨术。


专家介绍

-  穆景博 -

北京大学第一医院太原医院

北京大学第一医院太原医院导管室主治医师。
现任:中华医学会影像技术分会介入影像技术专委会委员,太原市医学会心血管病学影像学组委员,太原市医学会肿瘤专业委员会微创介入学组委员
擅长:冠心病的诊断及介入治疗、下肢动脉硬化闭塞症的诊断与腔内治疗、神经系统介入治疗、肿瘤介入治疗等。

长按二维码关注“一脉同行”

阅读数: 621