再次出海|德国慕尼黑大学Jörg Hausleiter教授团队成功完成LuX-Valve Plus经血管三尖瓣置换手术

近日,德国慕尼黑大学Jörg Hausleiter教授团队成功应用LuX-Valve Plus经血管三尖瓣置换系统救治了一例因三尖瓣大量反流导致的右心衰竭患者,术后超声显示人工三尖瓣位置固定满意,瓣架稳定,无反流和瓣周漏。患者在手术室即刻拔除气管插管,血流动力学改善显著,LuX-Valve Plus经血管三尖瓣置换系统的治疗效果优异。

接受本次LuX-Valve Plus经血管三尖瓣介入置换手术的是一位三尖瓣重度反流的高龄老人,本打算接受心脏移植,平日居住在社区公寓,无人照料,近些年心衰症状日益加重。由于心脏供体紧缺,加之外科换瓣手术风险高,Jörg Hausleiter教授团队经术前详细评估,认为经导管三尖瓣介入治疗或许是一种新的选择。由于患者三尖瓣解剖结构复杂,术前有ICD植入史,欧洲没有合适的商业化和临床试验的产品可以对其进行治疗。Jörg Hausleiter教授判断,LuX-Valve Plus经血管三尖瓣置换系统是通过欧洲监管许可的可以对该患者进行有效治疗的产品。因此,Jörg Hausleiter教授团队最终决定使用中国创新器械LuX-Valve Plus经血管三尖瓣置换系统为患者进行手术。

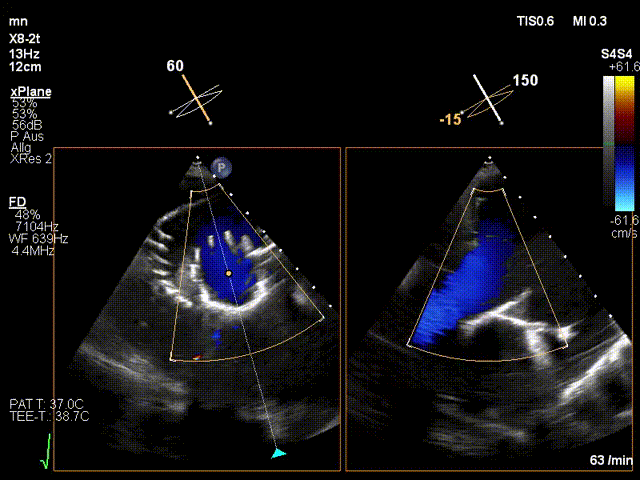
术前三尖瓣大量反流

手术在全麻状态下进行。在加拿大圣保罗医院的Anson Cheung教授的指导参与下,术者采用经右侧颈静脉入路的方式将输送器送入患者心脏内,在TEE及DSA引导下调整输送器头端角度,使得输送器与三尖瓣瓣环平面垂直。在输送器进入右心室后释放室间隔锚定装置,而后释放瓣叶夹持件(2个耳片结构)成垂直状态。在TEE及DSA确定夹持件固定至三尖瓣叶根部且位于右室侧后释放人工瓣心房侧盘片。随后调整瓣膜同轴性以及室间隔锚定件位置(贴合室间隔),前推藏针管并固定,进而释放室间隔锚定装置,并再次确认瓣膜位置、稳定性及同轴性,合拢输送鞘后撤出输送器,完成LuX-Valve Plus人工三尖瓣瓣膜的植入。

术后即刻DSA造影

术后人工三尖瓣膜工作良好

LuX-Valve Plus经血管三尖瓣置换系统本次“出海”圆满完成,术后Jörg Hausleiter教授对LuX-Valve Plus经血管三尖瓣置换系统的器械性能和治疗效果大为称赞,认为LuX-Valve Plus的手术体验非常好。术后即刻超声显示三尖瓣反流消失,血流动力学改善显著,患者恢复快。Anson Cheung教授也肯定了LuX-Valve Plus术中操作的便捷性,认为LuX-Valve Plus容错率高,对术中影像的依赖较小,后期希望可以更多的应用LuX-Valve Plus三尖瓣置换系统于临床实践,让更多的三尖瓣重度反流患者尽早获益,改善预后。

LuX-Valve Plus经血管三尖瓣置换系统是我国拥有完全自主知识产权的心脏瓣膜介入治疗产品,在全球范围内率先引用“非径向支撑力”和“室间隔固定”的设计理念(即采用贴靠支撑和室间隔锚定的方式进行人工瓣膜的固定),能更好适应三尖瓣结构菲薄脆弱的特性,并且采用经颈静脉入路的方式,对患者的损伤进一步减小。目前,LuX-Valve Plus全国多中心FIM研究已全部完成入组,LuX-Valve Plus全国确证性临床研究即将开始患者入组;此外,LuX-Valve Plus全球救治性临床研究还在持续开展中,我们相信更多的三尖瓣重度反流患者将因此获益。

阅读数: 2297