山东首例!青岛大学附属医院江磊教授团队成功应用SAPIEN 3¹瓣膜完成一例二尖瓣瓣中瓣植入术

2022年8月27日,在半岛TAVR论坛暨亚太结构性心脏病青年俱乐部沙龙青岛站上,青岛大学附属医院江磊教授团队应用SAPIEN 3瓣膜成功为一例人工二尖瓣衰败患者完成二尖瓣瓣中瓣植入术。本例手术的成功开展,代表了青岛大学附属医院在介入瓣中瓣诊疗技术方面打通又一新关卡,为更多患者提供了诊疗新选择。

患者信息

患者为74岁女性,NYHA心功分级III级,STS评分极高危17.206%,主诉“腹水半年”入院,合并重度三尖瓣反流、胸腔积液、II型糖尿病、乙肝。既往行二尖瓣置换术(爱德华,型号 27# 6900 Perimount)伴三尖瓣成型术,曾行主动脉瓣置换术。

心脏超声

LVEF 65 %,左室内径48mm,左房内径62mm, 右室内径 45mm, 右房内径 48mm×62mm,室间隔厚度9mm。二尖瓣可见人工瓣叶钙化增厚、开放受限,峰值压差49mmHg,平均压差16mmHg,未见瓣周漏。三尖瓣重度反流,TAPSE 20mm。主动脉瓣峰值流速3m/s,峰值压差36mmHg,平均压差15mmHg,未见瓣周漏。
初步诊断
心力衰竭,NYHA III级。
二尖瓣生物瓣衰败,二尖瓣狭窄伴中重度反流。
三尖瓣重度反流。
CT评估
衰败的二尖瓣瓣膜支架内径为27mm,真实内径为25mm,高度为18mm,拟选用爱德华THV 26mm SAPIEN 3瓣膜。
既往二尖瓣瓣膜Perimount径线

既往二尖瓣体外图

通过CT模拟瓣膜再次植入后效果、植入位置(90/10)。
S3植入效果图

模拟S3植入90/10位置

充分评估左室流出道梗阻风险,测算新LVOT 面积为156.8mm²,直径为7.6mm。

新LVOT测算

房间隔穿刺高度为41.9mm。

房间隔拟穿刺位置

手术策略
手术团队经过多学科讨论,一致认为该患者由于多种并发症状况虚弱,属于次外科手术的高风险患者,因此更适合进行二尖瓣ViV。决定全身麻醉下,以右股静脉为主入路,经右颈静脉植入临时起搏器,选择10-14mm球囊预扩房间隔,拟植入SAPIEN 3 26mm瓣膜,+2cc。
手术过程
CT测算的房间隔穿刺位置靠后,为保证轨道的同轴性,术中实际穿刺位置稍往前,TEE测得穿刺点高度3mm。
使用10mm*40mm非顺应性球囊对房间隔通路进行扩张。
J头导丝建轨,使用可调弯导管跨瓣。
交换猪尾导管测压,测得左室-主动脉瓣峰值压差34mmHg。随后交换为预塑形导丝(Microport xs,32mm)。
使用10mm*40mm非顺应性球囊对房间隔行3次扩张,最终建轨完成。
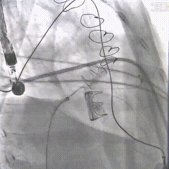
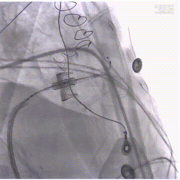
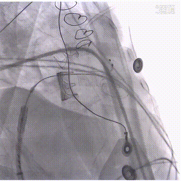
输送SAPIEN 3瓣膜。
定位和释放。

最终形态

手术全程患者生命体征稳定,复测左室-主动脉瓣峰值压差16mmHg,二尖瓣平均压差3mmHg手术圆满成功。
精心考量,预想照耀现实
“手术持续一个多小时,整体过程非常顺畅,手术切口不到一公分,患者恢复良好。术后一周内患者症状得到极大缓解,各方面状况都有所改善,目前来看,手术给患者带来了很大获益。”江磊教授于术后表达了对于本次手术成功的喜悦。
手术的成功开展,反映出了团队的认真评估与考量,江磊教授也详细介绍了制定策略的过程。该患者为老年女性,十二年前曾行二尖瓣和主动脉瓣置换术,近两年出现二尖瓣衰败导致二尖瓣重度狭窄,由于没有引起患者足够重视,治疗不及时,导致来院时症状非常严重,具体表现为不能平卧、重度腹水、水肿、消瘦、虚弱等,出现三尖瓣重度反流和心力衰竭
对于此类患者,有三种治疗可以考虑:药物治疗、开胸手术、导管介入。首先该患者已经经过一段时间的药物调整,但疗效不佳。对于开胸手术,由于患者虚弱、高龄且有多种合并症,且长期未规范治疗为恶液质体质,无法承受再次开胸。因此,导管介入治疗是最佳选择,考虑到球扩瓣是目前应用最广泛的一种瓣膜,总体远期疗效和前期数据良好,通过术前评估,该患者各项指标符合条件,与国内外专家远程连线,多方沟通后,手术团队最终考虑使用球扩瓣为该患者行二尖瓣瓣中瓣手术。
此外,江磊教授指出了本例手术的难点所在:“手术中我们要穿刺房间隔,首先是穿刺位置要选择合适,其次是因为房间隔穿刺的部位瘢痕化很严重,所以对穿刺操作要求比较高,我们通过与国内专家多次沟通,最终确定了比较合适的位置,穿刺进行的也很顺利。”
不负初心持续沉淀团队力量,护航患者健康
“TAVR特别适合老年患者以及一些心功能差但相对年轻的患者,此类患者开刀风险大,而TAVR治疗效果良好且恢复较快,所以当这项技术最初在国内开展时,我们就迅速开始了解学习。”
团队整体一直遵循着“以患者为中心”这一工作核心要点,制定手术策略时始终将病人安全放在首位,在取得有效治疗效果的前提下,使病人最大的获益,体现出了医者用心为患者服务的赤诚之心。
江磊教授自2003年接触先心病及大血管的介入治疗,得益于前期积累的丰富经验,在2017年国内第一批开展TAVR时,便完成了山东省的第一例经股TAVR。自2017年9月份至今,江磊教授团队已成功完成二百余例TAVR,团队在这一领域精耕不止,积累了扎实的手术功底和操作技巧。多次前往国内多家中心进行带教,获得诸多好评。此外,团队紧跟国际、国内研究潮流,相继开展了一系列开创性工作。
“在今后的工作中,我们将不断拓展和精进团队专业能力,优化手术流程,进一步提高手术安全性,同时也将在二尖瓣、三尖瓣等其他领域继续积极探索,学习国内先进中心的经验,让更多患者获益。”

注释:1. SAPIEN 3瓣膜为经导管主动脉瓣膜系统,注册证编号:国械注进20203130291。

专家简介

江磊

青岛大学附属医院

心血管外科市南病区主任,主任医师,医学博士,硕士研究生导师。

学术任职:山东省医学会心血管外科学分会青年委员会副主任委员,山东省医师协会心外科医师分会常务委员,国家心血管病中心专家委员会心血管外科微创专业委员会委员,国家心血管病中心专家委员会血管外科专业委员会委员,中国医师协会心外科分会介入治疗委员会委员,中国医师协会腔内血管学专委会主动脉夹层专家委员会委员,中国医药生物技术协会心血管外科技术与工程分会委员,青岛市医疗事故鉴定专家。业务专长:大血管介入、先心病、瓣膜病介入治疗,多项技术为省内首次开展。2017年9月开展山东省第一例经股动脉TAVR手术。目前大血管介入个人手术量居山东省前列,TAVR手术量为山东省首位,国内前列。

阅读数: 2742
相关专题