云南大学附属医院张新金教授团队完成云南省首例美敦力Evolut PRO植入

近日,云南大学附属医院张新金教授团队成功应用Evolut PRO TAVR系统治疗一名双侧冠脉高风险重度主动脉瓣狭窄患者。张新金主任团队术前对该病例的充分分析,认为介入瓣膜的过弓性、多次稳定回收性、顺应性以及冠脉保护的策略,对手术的成功起至关重要的作用。因此团队选择应用Evolut PRO TAVR系统,通过美敦力Cusp Overlap标准6步植入法和独有的Commissural Alignment技术顺利完成手术,为冠脉预留了足够通路,术后患者血流动力学即刻得到了显著改善。

病例特点

1.瓦氏窦小,STJ高度低,瓣叶增长增厚,偏心钙化。

2.考虑为风心基础上的退化。

3.血管入路偏细,弓角为锐角,最窄弓距低于70mm。

4.小心腔,左室舒张末直径34mm,自杀性左室风险高。

5.低体重,34kg,1.48m。

患者基本情况

74岁,女性,因“反复活动后心悸,胸闷3月余,加重1月”入院。

既往病史: 慢性胃炎10余年,2013年行“胆囊切除术”,2016年行“胃底息肉切除术”。

合并症:慢性胃炎。

超声心动图:峰值压差108mmHg;平均跨瓣压差68mmHg;峰值速度5.2m/s;左室舒张末直径34mm;左室射血分数74%。

CT评估 

 1.瓣环及左室流出道。

2.主动脉瓣根部(左右瓣叶长度均超过冠脉高度)。

3.主动脉弓分析及瓣叶长度(最短弓距小于70mm)。

4.外周血管入路  

 手术策略

综合各项,手术团队评估患者左右冠脉均存在有极高遮挡风险,决定采取双冠脉保护策略。患者心室较小、窦部空间小,为了避免术中循环崩溃且最大程度保护冠脉,采用双桡、双股及颈内五条通路。左右冠脉预埋支架和导丝,再使用18mm球囊预扩判断瓣膜选型,预装Evolut PRO 23mm瓣膜,使用16Fr等效内联鞘,Cusp Overlap 6步植入法及Commissural Aligment技术。

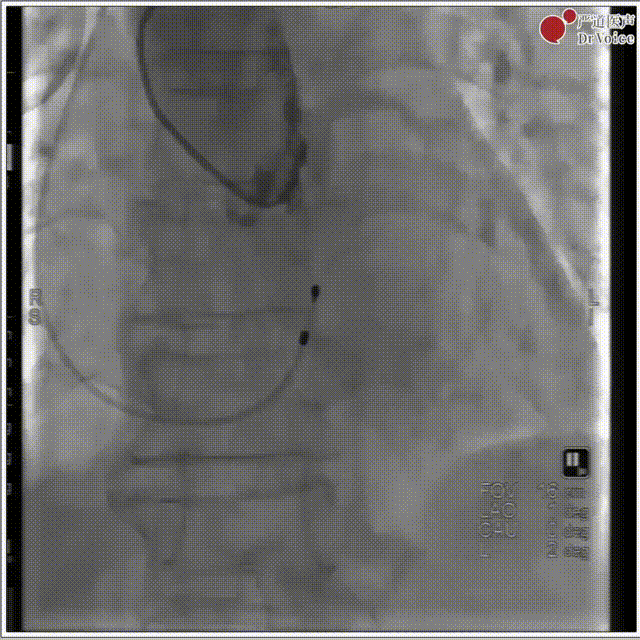
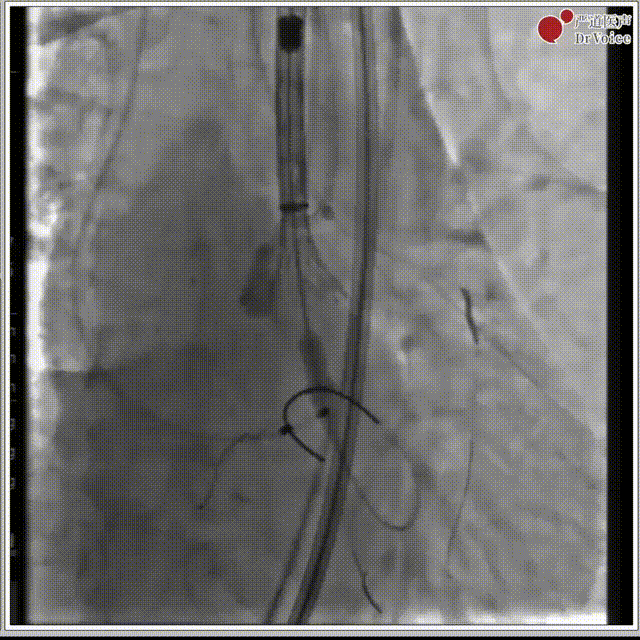
TAVR操作全过程

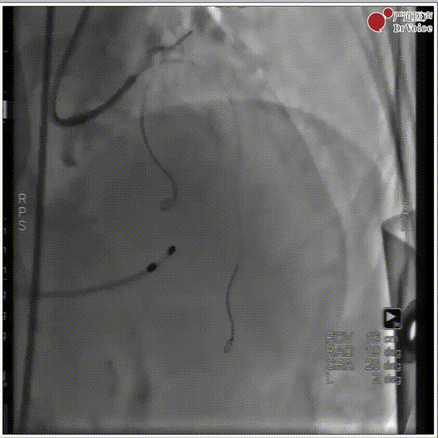
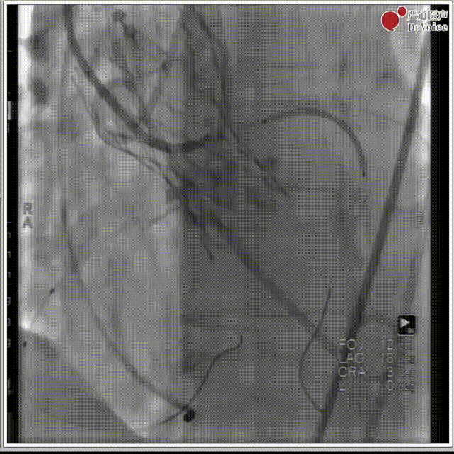
1. 冠脉造影。

冠脉造影图片1

冠脉造影图片2

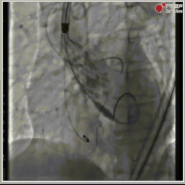
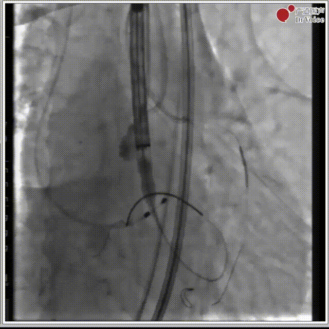
2. 冠脉保护,左冠预埋支架。

冠脉保护后造影

3. 18mm球囊预扩,有明显腰征,冠脉无遮挡,无瓣周漏。

球囊预扩

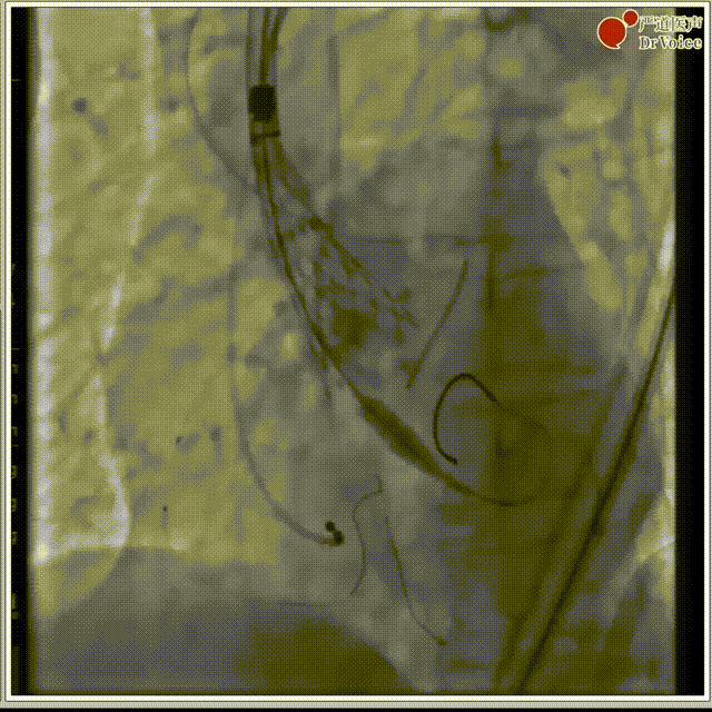
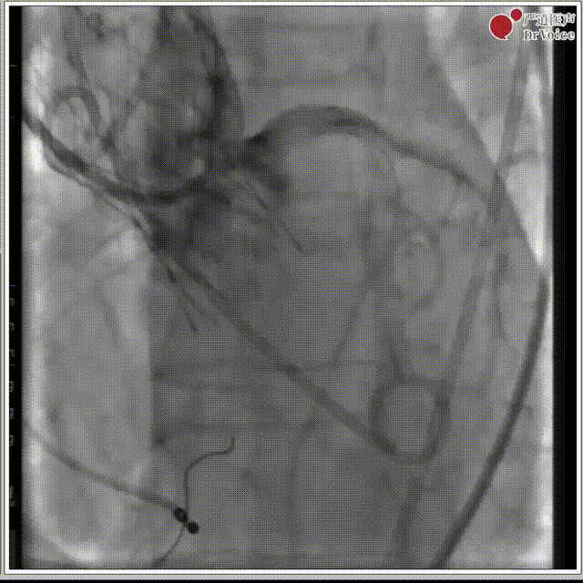
4. 植入23mm Evolut PRO瓣膜,过弓及瓣膜定位。

过弓,植入瓣膜

主动脉根部造影

5. 第一次深度偏深,半回收。

第一次释放

6. 第二次释放,左、右前斜深度及冠脉评估,决定释放瓣膜。

第二次释放

左前斜LCC

最后释放

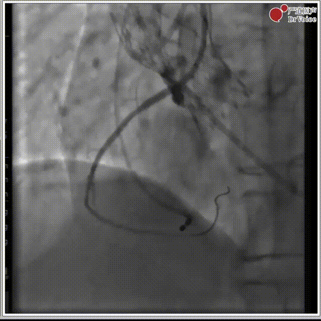
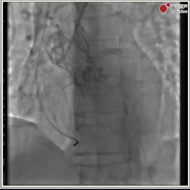
7. 复查造影,左冠有遮挡风险,遂行“烟囱支架”。

释放后左冠造影

支架释放后造影

8. 右冠显影正常,无遮挡风险,撤离导丝。

右冠造影

9. 术后超声评估。

最后瓣膜植入情况

术后超声

术者点评

张新金教授:“该患者存在很大的解剖挑战及难点:1. 左窦瓣叶非常长,右窦直径又偏小,两侧冠脉都存在极高的闭塞风险。这要求释放的深度精准,可回收性能良好,有调整的机会,另外双侧冠脉保护使得手术操作涉及到5根入路的操作,这对团队的配合也是一个考验;2. 该患者主动脉弓弓角弓距不是很理想,要求系统具有非常好的通过性;3.患者为瘦小老太太,平均血管入路最小为6mm,这需要系统外径越小越好。根据术中整体体验以及术后整体结果来看,Evolut PRO都表现出色:多次可回收,独有的Commissural Alignment,优异的通过性,最小外径可通过5.5mm血管的内联鞘设计都是该手术成功的重要因素。”

专家简介

张新金 

云南大学附属医院

医学博士,教授,主任医师,硕士研究生导师,国家卫生健康委冠心病介入诊治技术培训基地负责人及导师,云南省中青年CTO俱乐部主席,云南大学附属医院心血管病中心副主任。

中国医师协会心血管内科医师分会转化医学委员会委员,中国医师协会中西医结合分会心脏介入委员会委员,云南省医学会心血管病学分会副主任委员兼结构心脏病学组组长,云南省医师协会胸痛委员会副主任委员,云南省医师协会心力衰竭分会常委,云南省医师协会心血管内科医师分会委员。

2008年毕业于华中科技大学同济医学院,获心血管内科学博士学位。作为心血管病中心冠心病和结构性心脏病负责人,主要从事冠心病及结构性心脏病的诊治,擅长各种复杂冠心病、瓣膜病及先心病的介入治疗。研究方向为冠心病相关的基础和临床,主持国家自然科学基金1项,省自然科学基金1项,作为主要研究者参与省级以上基金4项。已培养毕业硕士研究生20余名。

阅读数: 2499