NWCF2022丨转播病例:李妍教授团队成功完成一例高龄PCI+TAVR一站式手术

金九长安,唐都论道喜相逢。2022年8月29日-9月3日,由陕西省保健学会心血管专业委员会主办,空军军医大学唐都医院承办的第七届西北心血管病论坛暨第三届心血管创新与转化沙龙于线上隆重举办。

8月29日,大会结构性心脏病介入(中国结构周@NWCF2022)专场上,空军军医大学唐都医院李妍教授团队成功应用新一代可回收瓣膜系统VitaFlow Liberty为一位高龄主动脉瓣重度狭窄患者完成了经导管主动脉瓣置换术,带来了精彩手术直播演示。

该会场由中国医学科学院阜外医院吴永健教授、复旦大学附属中山医院周达新教授、首都医科大学附属北京安贞医院宋光远教授和四川大学华西医院冯沅教授主持,复旦大学附属中山医院潘文志教授、南昌大学第一附属医院彭小平教授、青岛大学附属医院江磊教授、广东省人民医院罗建方教授和武汉亚心总医院张龙岩教授参与讨论。


病例简介

患者,79岁男性,因“间接心慌、气短不适6年余,加重2年”入空军军医大学唐都医院。曾行PCI+左心耳封堵术。入院化验NT-ProBNP 1400pg/ml,心电图为房颤心律,超声提示“主动脉瓣重度狭窄伴轻度关闭不全”、“左室壁及右室壁略增厚”、“升主动脉内径增宽”。室间隔厚度 12mm,左室前后径(舒张/收缩)49/31mm,升主动脉内径42mm,射血分值67%,主动脉瓣血流速度4.65m/s,平均压差56mmHg。


术前CT评估

· 三叶式主动脉瓣,L-R瓣叶交界部分粘连,瓣叶增厚伴重度钙化,钙化主要分布于无、右瓣叶及L-R交界处;LVOT微微敞口型

· 左心耳封堵术后

· 冠脉开口高度尚可,切线角度测量,未见冗长瓣叶;冠脉开口处见钙化分布

· 瓦氏窦、STJ内径稍大,升主动脉轻微扩张,升主最宽处42.3mm

· 收缩期心室内径正常,心室壁增厚

· 主动脉瓣水平夹角约47°,非横位心,主动脉弓宽度角度可,弓顶部有附壁钙化

· 腹主-双侧髂总动脉少量钙化斑块分布,股-髂动脉走行、内径可,穿刺点附近无钙化分布

瓣环根部CTA

图1. 瓣环周长81.5mm,平均直径25.9mm。LVOT周长81.6mm,平均直径26.0mm

图2. 瓦氏窦、STJ内径稍大,升主动脉轻微扩张,升主最宽处42.3mm

图3. 左冠高度:18.4mm  右冠高度:19.8mm

图4. HU850钙化积分:725mm2,心脏角度47度

图5. 升主扩张,弓部宽度角度尚可,弓部有钙化附壁

图6. 腹主-双侧髂总动脉少量钙化斑块分布,股-髂动脉走行、内径可,穿刺点附近无钙化分布。


手术策略

拟采用右侧股动脉为主入路,左侧为辅助入路,根据瓣上4mm限制区域采用20mm球囊预扩时关注冠脉灌注情况,预选用TAV24瓣膜。利用瓣膜系统部分及完全可回收功能,确认瓣膜基本稳定及瓣周漏效果后再完全释放,瓣膜植入成功后,建议常规造影评估入路血管,避免遗漏血管并发症情况。


手术过程

冠脉造影显示前降支95%支架内再狭窄,实行药物球囊干预。

右窦中心位猪尾导管置于无冠窦底进行造影。可见Watchman封堵伞内皮化良好。

20 mm球囊预扩,右无粘连扩张不充分,无冠窦钙化完全推开,采用原计划TAV24瓣膜稍低位释放。

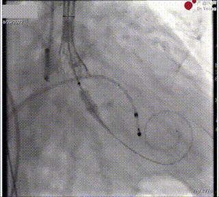
图7. 输送系统跨瓣

AV24瓣膜在瓣环下精准定位负位稳定释放。

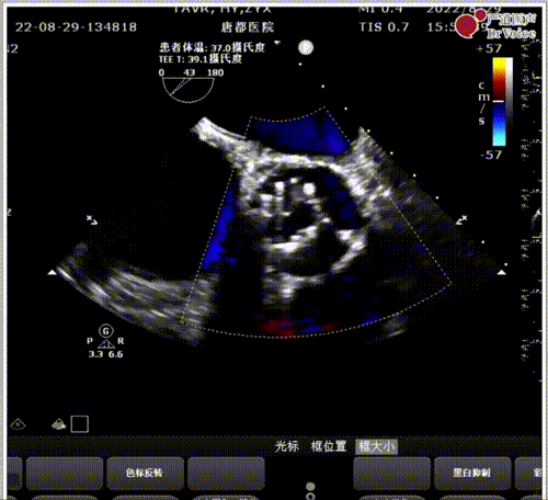
图8. 术中食道超声证实瓣架处于0位

图9. 瓣膜稳定脱钩,瓣膜初始形态


即刻食道超声见瓣架展开充分,微量瓣周漏,平均跨瓣压差7mmHg。

瓣膜最终形态及造影显示位置和形态良好。


专家讨论

主持专家罗建方教授、冯沅教授、潘文志教授、张龙岩教授等针对此类患者病例类型展开了丰富讨论。

李妍教授抛出问题,对于PCI+TAVR一站式手术的问题,首先进行PCI还是先建立TAVR轨道?罗建方教授表示,取决于冠脉病变的复杂程度及患者总体血流动力学稳定情况,基于此例冠脉支架内再狭窄,处理相对简单,可以先进行PCI术。潘文志教授认为,对于血流动力学不稳定性高的患者,建议首先上大鞘建立TAVR轨道,左室放入猪尾导管,随时应对可能的循环崩溃。对于此类房颤合并主动脉瓣狭窄患者,李妍教授提及一站式PCI+TAVR是否会增加出血风险,潘文志教授结合自身实践经验表示出血事件其实较少,安全性较好。冯沅教授认为根据球囊预扩张效果,球囊似乎不是非常饱满,是否需要调整为TAV26瓣膜?最后与会专家讨论后,李妍教授仍然决定使用TAV24瓣膜,另外提出此例患者首先进行左心耳封堵+PCI治疗,有助于术后简化药物治疗,也为择期进行TAVR手术奠定良好的基础,有助于降低出血并发症。张龙岩教授结合自身丰富的经验,就术中瓣膜处于-1到0位的位置,是否可以安全释放阐释了自己的看法,最后李妍教授认同各位专家的意见,结合左右融合处钙化及无冠窦处钙化的特征,以及VitaFlow的瓣膜设计特点,释放时缓慢推送系统促使瓣架稳定,最终实现瓣膜的完美位置释放。


面对PCI+LAAC术后高危高龄患者,整个TAVR手术流程中李妍教授团队有条不紊,精准有道,借助手术直播充分展示了空军军医大学唐都医院结构性心脏病诊疗团队在TAVR手术领域的成熟技巧与应付复杂病变类型的诊疗能力。同时作为第七届西北心血管病论坛暨第三届心血管创新与转化沙龙的东道主,李妍教授团队更是用精湛的TAVR手术实力与术中诚挚的学术交流尽显“地主之谊”。当前,大会虽已圆满落幕,但学术发展永不停歇,关于空军军医大学唐都医院、西北地区心血管病医生的手术交流不会停歇,还将有更多精彩。


扫码进入

会议微官网

扫码进入

大会直播

阅读数: 2082