首战告捷 蓄力前行 | 华中科技大学附属协和医院心内科程翔教授团队完成国产创新介入二尖瓣修复器械注册临床试验

2022年6月,华中科技大学同济医学院附属协和医院顺利召开了申淇淇麟®经导管二尖瓣夹及可操控导引导管FMR(功能性二尖瓣反流)和DMR(退行性二尖瓣反流)两项上市前注册临床试验启动会,标志着由韩雅玲院士牵头的两项全国多中心研究正式在华中科技大学同济医学院附属协和医院开启。近日,华中科技大学同济医学院附属协和医院顺利完成了该注册临床试验的首例患者入组。

近日,申淇医疗国际医学顾问瑞士苏黎世大学医学院Maurizio Taramasso教授在线辅助,华中科技大学同济医学院附属协和医院心血管内科主任程翔教授、 心内科刘坤教授等与超声科谢明星教授、孙振兴教授、麻醉科陈向东教授等通力合作,运用全新一代经导管二尖瓣缘对缘修复系统 – 申淇淇麟®系统,为一位功能性二尖瓣反流患者成功实施了经股静脉途径二尖瓣缘对缘修复术。团队配合密切,手术过程顺利。

患者基本信息

入组患者既往有扩张型心肌病、二尖瓣重度关闭不全、冠状动脉粥样硬化性心脏病、糖尿病等病史,此次主诉“反复呼吸困难14年余”入院。

术前经胸超声显示:二尖瓣反流重度(4+),三尖瓣反流轻度,乳头肌功能障碍,轻度肺动脉高压,EF 30%。

经食道超声显示(术前):二尖瓣前叶长度2.4cm,后叶长度1.2cm,对合高度约2.5mm,对合深度约6.1mm,VC 10.5mm,MVA 5.3cm², EROA 63mm²。

诊断:二尖瓣重度关闭不全,考虑FMR。

患者在充分标准化药物治疗后(GDMT),反流无明显减轻,仍然症状明显。经核心专家小组讨论评估后决定采用申淇淇麟®经导管二尖瓣夹及可操控导引导管,在心脏超声引导下施行经皮二尖瓣钳夹术。

术前TEE显示二尖瓣重度反流,反流主要来源于A2/P2区

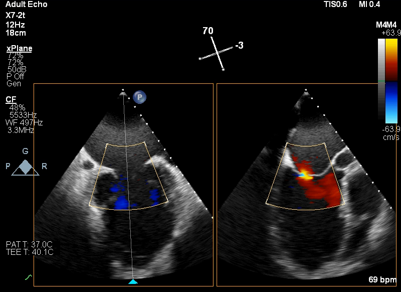
患者全麻状态下,在经食道超声心动图和X射线透视引导下,采用股静脉入路,将申淇淇麟®系统瓣膜夹顺利送至二尖瓣A2/P2区域,经调整位置使瓣膜夹垂直对合缘后跨瓣。应用申淇淇麟®系统单瓣叶独立捕获功能,先后捕获二尖瓣前叶和后叶。经超声心动图反复确认瓣叶夹持牢固, A2/P2区域反流量减少,瓣膜夹M侧(3区)残余少量反流。经手术小组专家讨论,决定在M侧植入第二枚瓣膜夹。第二枚瓣膜夹植入之后,经超声心动图反复确认瓣叶夹持牢固,二尖瓣反流减少,跨瓣压差为3mmHg。释放后,经超声心动图和DSA影像评估,双瓣膜夹均夹持稳定,位置和功能良好,效果满意。这一颇具难度的病例手术获得圆满成功。

TEE显示,二尖瓣夹植入后反流减少

二尖瓣病变是发病率最高、介入治疗难度最大的瓣膜疾病。据不完全统计,我国二尖瓣病变潜在患者人数逾千万,治疗缺口极大。同时,由DMR及FMR二尖瓣关闭不全构成的复杂二尖瓣反流疾病谱,也大大增加了该类瓣膜病变治疗难度。介入二尖瓣诊疗器械的研发已成为全球心血管介入诊疗领域的热点及难点,而目前唯一成熟的介入二尖瓣技术便是经股静脉途径经导管二尖瓣缘对缘修复(TEER),以雅培的MitraClip™系列产品为代表,其已被FDA、CE和NMPA批准用于包括DMR及FMR的全二尖瓣反流疾病谱病变,临床技术体系已然成熟。

申淇淇麟®经导管二尖瓣夹及可操控导引导管是由上海申淇医疗科技有限公司研发的具有完全自主知识产权的瓣膜介入修复系统,该产品已于2021年9月通过《创新医疗器械特别审查程序》,进入国家药监局创新产品"绿色通道"。该系统的核心技术参数对标国际最新一代经导管缘对缘修复系统,其输送系统具备在三个方向稳定调弯,并且拥有多型号力学优化的二尖瓣夹设计及瓣叶独立捕获能力。希望该系统的问世为我国广大的二尖瓣反流患者提供更多新的治疗选择。

专家简介

程翔

华中科技大学同济医学院附属协和医院

医学博士,二级教授,心内科主任,主任医师,博士生导师。美国心脏病学会Fellow (FACC),心研所副所长,教育部长江学者特聘教授,国家杰出青年基金获得者,《中华心血管病杂志》编委,《临床心血管病杂志》常务副主编,中国医师协会心血管内科医师分会第五届委员会委员,中华医学会心血管病学分会青委会副主委,中国病理生理学会心血管专业委员会副主委,武汉医学会心血管病学分会主委,湖北省医学会心血管病学分会副主委。主持国家自然科学基金9项,教育部新世纪优秀人才支持计划一项。以通讯作者在Circulation, J Am Coll Cardiol, Eur Heart J等杂志发表SCI论文50余篇,获树兰医学青年奖和省科技进步一等奖一项,参编《心血管内科学(第3版)》、《心脏病学》等专著,临床上擅长冠心病介入治疗和血脂异常的诊治。

阅读数: 3822
相关专题