精益求精,稳中求进——邯郸市中心医院首次独立完成TAVR,成功救治一位主动脉瓣重度狭窄瓣叶严重钙化患者


 经典病例

近日,邯郸市中心医院成功独立完成一例经导管主动脉瓣置换术(TAVR),救治了一位主动脉瓣重度狭窄患者。


此案例中,就医者为主动脉瓣重度狭窄患者,其瓣叶严重钙化,发生术后并发症的风险较高。邯郸市中心医院心血管外科刘健教授带领TAVR团队,通过多学科协作,经过严谨的术前评估,制定了适宜的手术策略,最终圆满完成TAVR,术后患者血流动力学得到明显改善,延长了患者生存期,提高了患者生活质量。

患者信息

患者:男;78岁



主诉:活动后胸闷气短1年,伴头晕1月。



现病史:患者1年前活动后出现胸闷、气短症状,休息后可减轻,未予重视。近3个月,患者感不适症状逐渐加重,活动耐力明显下降。近1个月,患者间断出现活动后头晕不适症状。



既往史:既往体健,否认高血压、糖尿病病史。否认肝炎、结核病等传染性疾病史。否认外伤、手术、输血及食物、药物过敏史。预防接种史不详。



个人史生于原籍,否认长期外地居住史,否认疫区居留史,否认特殊化学品及放射线接触史。无吸烟喝酒等不良嗜好;无性病冶游史。



初步诊断:

  1. 心脏瓣膜病,主动脉瓣重度狭窄,心功能III级(NYHA分级);

  2. 陈旧性脑梗塞;

  3. 原发性高血压3级(极高危);

  4. 冠状动脉粥样硬化性心脏病。

术前评估

超声检查

心脏彩超示:

  • 主动脉瓣退行性病变(重度狭窄)伴少量返流;

  • 左室壁增厚;

  • 二尖瓣钙化伴少量返流;

  • 三尖瓣少量返流;

  • 左室舒张功能减低;

  • LVEF: 54%;

  • 左室舒张末期内径(LVD):4.8 cm;

  • 主动脉瓣瓣口峰值流速:5.8m/s;

  • 平均跨瓣压差:83mmHg;最大跨瓣压差:137.5mmHg。

CT测量

主动脉根部CT测量

瓣环周长:74.9mm

LVOT周长:83.1mm

法氏窦三窦直径

左冠状窦:31.5mm;右冠状窦:29.2mm;无窦:33.9mm

STJ高度:19.5mm

升主动脉平均直径:33.8mm

心脏角度:

49°

  主动脉瓣钙化分布(钙化积分:950mm3)

左冠开口高度:

11mm

右冠开口高度:

16.2mm

入路情况

手术过程

术前分析及策略制定

术前刘健教授组织分析并总结了此病例特点:

● 主动脉根部:患者主动脉瓣为三叶瓣,左右冠窦可见部分粘连,重度钙化,瓣环到LVOT层面可见钙化,法式窦结构较大,左冠开口高度约11.0mm,右冠开口高度约16.2mm,STJ高度约19.5mm,直径约28.1mm,升主动脉未见明显扩张,心脏角度约49°,左室形态稍小,心肌增厚。

● 入路情况:主动脉弓部较平缓,主动脉弓部可见少许钙化斑块,过弓需谨慎,主动脉弓部三根分支动脉开口未见明显狭窄征象、未见发育变异,胸主动脉、腹主动脉较平直,胸主动脉、腹主动脉可见少许钙化及非钙化斑块,管腔未见明显狭窄,双侧髂动脉稍迂曲,可见少许钙化及非钙化斑块,管腔未见明显狭窄,股动脉入路两侧血管无迂曲,右侧入路血管分叉高。左侧血管平均最小内径7.3mm,右侧血管平均最小内径7.5mm。建议以右侧股动脉为主入路。右侧分叉高建议外科切开;如选择穿刺入路,建议左侧股动脉。

● 冠脉开口:左冠开口高度低,瓣叶长度可,窦宽相对瓣膜可;右冠开口高度可,瓣叶长度可,窦宽相对瓣膜可。冠脉风险低,建议球扩以进一步评估。 

● 术后并发症风险:瓣叶钙化较重,瓣周漏风险高。

刘健主任带领心血管外科和多科室团队进行了详细的术前分析和讨论,经过临床严谨的评估以制定手术策略:

● 右股动脉切开入路;

● 20球囊于右无重叠角度扩张;

● 植入TAV24瓣膜;

● 根据术中造影及食道彩超结果决定后扩球囊。

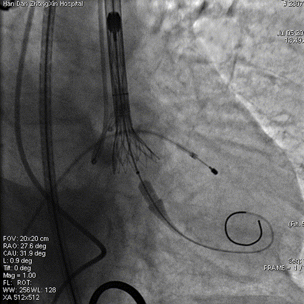
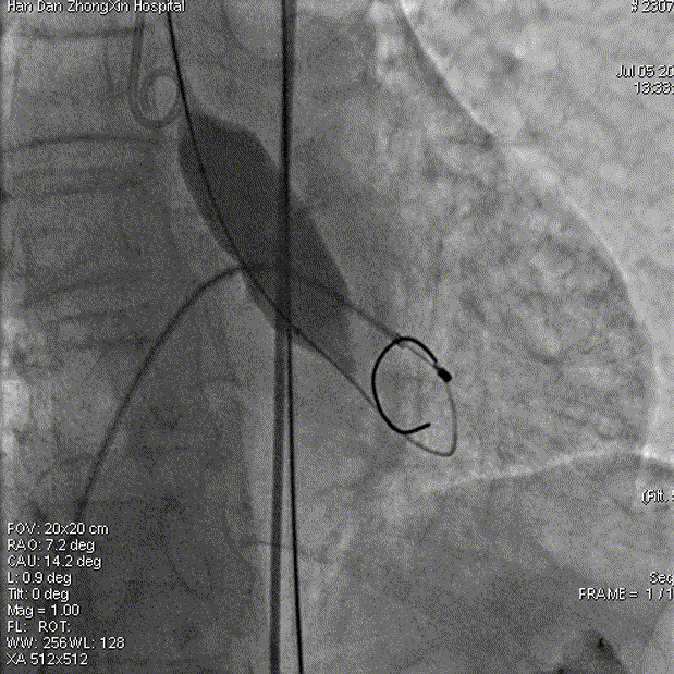
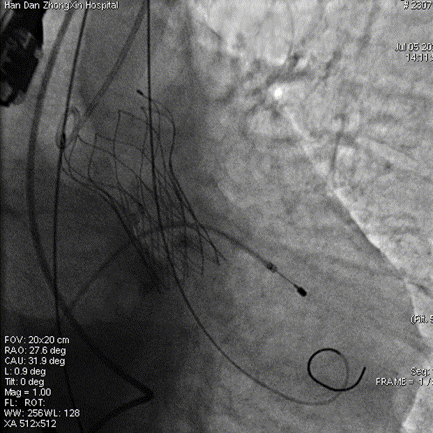
术中操作

球囊预扩

瓣膜释放

释放完成

邯郸市中心医院刘健、杨伟光、陈德峰教授术中操作

工作钢丝送入左室进行起搏,180bpm起搏下预扩张主动脉瓣,完全扩张后,主动脉根部造影无返流,回撤球囊停止临时起搏,延大鞘进入输送系统,定位输送系统位置,瓣膜释放1/3时,起搏160bpm,快速释放至3/4处,瓣膜正常工作后,观察冠脉风险。

术后评估

术后超声:峰值流速2.5m/s,跨瓣压差11mmHg

手术过程顺利,麻醉效果满意,术后患者安返ICU。患者的平均跨瓣压差由术前的83mmHg改善至术后的11mmHg, 主动脉瓣瓣口峰值流速由术前的5.8m/s改善至术后的2.5m/s,患者获益明显。

术后讨论

  随着我国社会老龄化程度加深,患有严重退行性主动脉瓣狭窄的高龄人群扩大,主动脉瓣狭窄已成为影响人类寿命和社会健康的重要疾病之一。据统计,该疾病发病率在75岁以上人群中达2.5%,在85岁以上人群中可达8%,是仅次于高血压和冠心病的第三常见的心血管疾病。一旦患者出现症状,若不及时进行治疗,平均生存期仅为2至3年,可见该疾病已成为严重威胁老年人健康和生命的老年病。

  经导管主动脉瓣置换术(TAVR)是指通过输送系统将人工辦膜送至主动脉瓣环的位置并释放、固定于主动脉瓣环,来代替患者发生病变的主动脉瓣的手术。相比传统的外科手术,经股动脉介入TAVR,无需体外循环,无需进行开胸手术,几乎没有明显的失血情况,麻醉时间更短,创伤小、恢复快,手术优势明显,为有外科手术禁忌症或者手术风险高的患者带来了治愈希望。

  此例TAVR患者患有主动脉瓣重度狭窄,瓣叶严重钙化,无疑对术者及人工瓣膜而言均是一种挑战,要求术者掌握精湛熟练的操作技术,也要求瓣膜具有软硬兼具的特性。2022年近半年内,邯郸市中心医院已累计完成8例TAVR,此次成功独立开展TAVR救治了主动脉瓣重度狭窄瓣叶严重钙化患者,是一次对心脏瓣膜疾病治疗新技术的有益探索和积极尝试,为临床治疗提供了有效借鉴,也为辖区内AS患者带来了更多治疗机会和治愈希望。 

专家信息


刘健

邯郸市中心医院

邯郸市中心医院心血管外科主任,主任医师

北京市围手术期医学研究会心脏外科专业委员会委员;河北省生物医学工程学会结构性心脏病专业委员会常委;河北省健康教育与康复学会心脏重症与生命支持专业委员会常委;河北省卒中学会心源性卒中分会委员。擅长冠心病、心脏瓣膜病、先天性心脏病、主动脉疾病等心血管疾病的诊治及手术治疗,尤其在微创心脏手术、结构性心脏病手术、大血管手术、心律失常外科治疗等方面积累了丰富的手术经验。获河北省医学科技进步一等奖1项,二等奖2项。

阅读数: 1385