TAVR创新交流论坛第二期|阜外医院吴永健教授Evolut PRO瓣膜挑战极端融合重度钙化病例



病例特点1

功能型二叶瓣,钙化极其重,右无、左无间钙化融合脊,钙化融合成一体,无冠瓣钙化延申到LVOT。



病例特点2

20mm球囊第一次预扩张,钙化太重导致球囊卡腰征。



病例特点3

冠脉开口低(9mm),左冠脉闭塞风险。



病例特点4

团队第147例纯局麻清醒极简式TAVR。



病例特点5

Evolut PRO左右冠窦重叠体位释放和交界对齐技术。


2022年8月17日,TAVR创新交流论坛第二期顺利召开,中国医学科学院阜外医院吴永健教授和赵杰教授团队为一位重度主动脉瓣狭窄患者顺利实行局麻清醒极简式TAVR,这种不全麻,不插管,不导尿,不深静脉置管的极简化术式,患者轻松完成心脏瓣膜置换。

术前经王墨扬医师牛冠男医师详细CT评估为功能型二叶瓣,瓣环直径24.4mm,右无、左无间钙化融合,无冠瓣钙化延伸至LVOT,左冠开口低,窦部空间大,右冠脉开口高度可,腹主斑块溃疡。吴永健主任、赵杰主任和张洪亮主任详细讨论要精准把控植入深度,避免传导阻滞发生以及左冠脉风险非常重要,患者心功能良好可采取纯局麻为该患者进行TAVR治疗。经过吴永健教授团队和线上台湾专家李永在教授讨论后,综合评估选用26mm美敦力Evolut PRO瓣膜,全部操作仅用时1个小时,术后患者安返病房。

Evolut PRO 为美敦力第三代产品,具有高生存率、低卒中率、极少瓣周漏以及优秀血流动力学特性。秉承经典环上瓣设计理念,增加稳定多次可回收功能和生物组织外裙边,大大提高手术安全性和成功率,带给患者更好临床获益。

基本情况、既往病史、合并症、STS评分和NT-proBNP,见PPT。

入院超声心动图,见PPT,瓣口面积较小0.58cm²。

CT评估

功能性二叶瓣,钙化重,右无、左无间钙化融合,无冠瓣钙化延伸至LVOT,左冠开口低,窦部空间大,右冠脉开口高度可,腹主斑块溃疡,双下肢内径可。

1.基本层面CT评估

2. 多平面测量CT评估:4mm三瓣叶钙化融合成一体

3.心室大小评估(小心室)

4. 投射角度:右窦中心和左右重合

5. 主动脉入路CT评估(腹主动脉可见斑块溃疡)

6.  其他评估

病例总结与手术操作策略

  • 麻醉方式:股动脉局麻+无任何镇静剂(患者全程清醒);

  • 主入路:右股动脉(动脉超声引导穿刺,2把ProGlide预埋);

  • 辅入路:左股动脉(动脉超声引导穿刺);

  • 静脉通路:左侧肘正中静脉留置针输液(取代颈部深静脉置管);

  • 临时起搏器:右股静脉植入右心室临时起搏器;

  • 瓣膜选择:预装美敦力26mm Evolut PRO瓣膜,备选29mm。

TAVR操作全过程

1.冠脉造影

左冠造影

右冠造影

2.主动脉根部造影(右窦中心)

根部造影

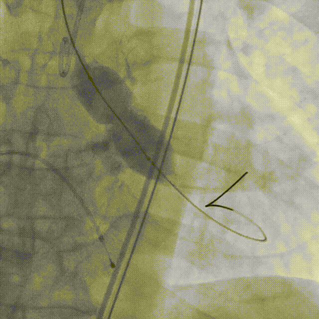
4.导丝跨瓣

直头导丝顺利跨瓣

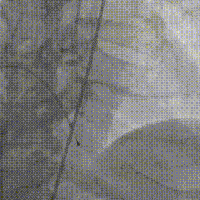
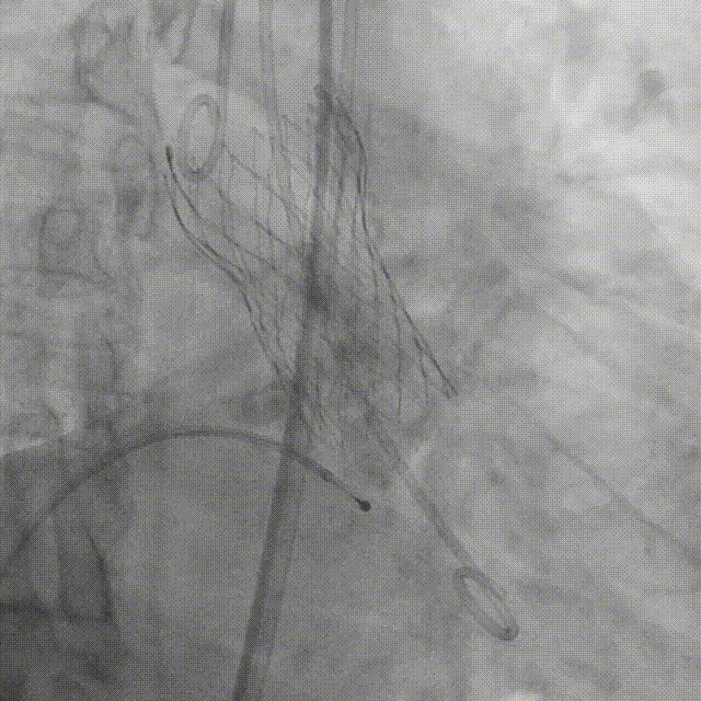
4. 球囊预扩张

20mm球囊第一次预扩张 钙化太重,球囊卡腰征

20mm球囊第二次预扩张 球囊完全扩张开,达到扩张目的

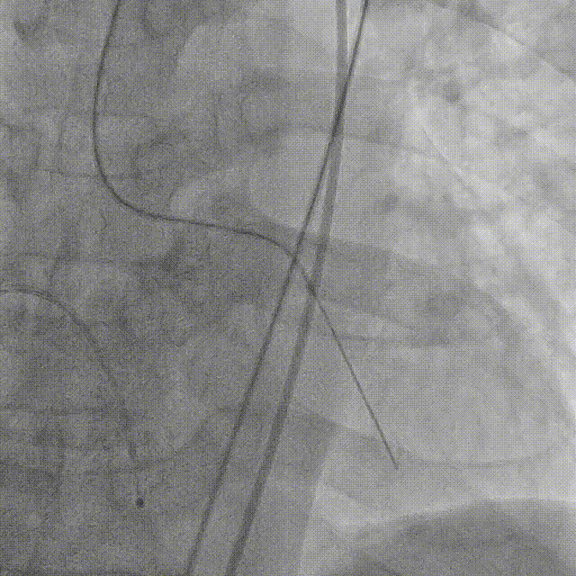
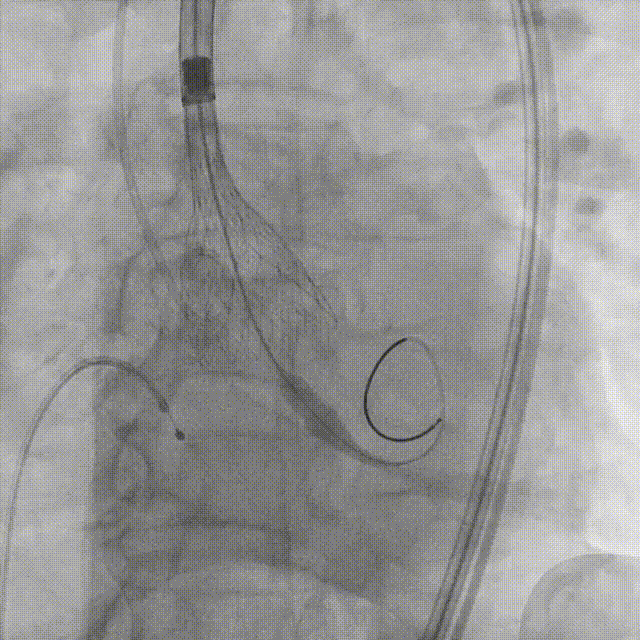
5. 植入26mm Evolut PRO瓣膜

瓣膜释放到2/3的位置(手柄上有触觉提示)

瓣膜释放到80%并造影评估深度合适(少量反流,瓣膜形态椭圆)

左冠切线位造影评估冠脉风险(左冠血流灌注良好)

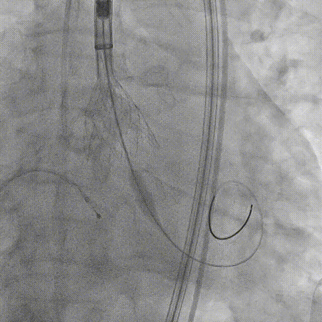
22mm球囊后扩张(瓣膜形态更佳)

最终造影(反流微量)

精准释放角度:左右冠窦重叠。

左右窦重叠角度可以清楚显示无冠窦,维持冠窦平面对齐,拉长左室流出道的视图,减少或去除医生的视差,以精准评估瓣膜植入深度。

6.最终即刻超声:

峰值流速:1.8m/s;峰值压差:9mmHg ;EF 64%;仅少量瓣周漏

7.术后血管入路评估

主入路造影

双侧入路减影检查

本例患者为78岁老年男性,而功能性二叶瓣,钙化极重,右无间、左无间均见钙化融合,无冠瓣钙化向下延伸至LVOT,左冠开口高度偏低。经过团队综合评估,美敦力EvolutPRO瓣膜具备Cusp Overla和Commissural alignment 技术, Cusp overlap技术可减少起搏器植入率,Commissural alignment技术可以避免瓣膜接缝挡住冠脉开口,减少未来PCI通路阻挡的风险。同时合适的径向支撑力在瓣环重度钙化并延申到LVOT约8mm的情况下更能稳定锚定,13mm高度猪心包生物外裙边可以减少不规则瓣环瓣周漏,且拥有稳定的多次(3次)可回收功能,避免术中瓣膜移位带来的风险,最终选用26mm的Evolut PRO瓣膜。采取经右股动脉极简式TAVR策略,不全麻、不插管、无导尿、无食道超声。经过吴永健团队熟练配合,瓣膜位置合适,无明显瓣周漏,达到预期效果,患者术恢复良好。

吴永健教授点评

第一点,现在术后评价标准,除了传统的标准(瓣膜到位、无瓣周漏、没有压差、没有房室传导阻滞或左束支阻滞)以外,还应包括以下几点:

1、没有血管并发症;

2、瓣膜形态是否为圆形;
3、瓣膜释放后压缩比(超过30%即使没有压差,将来叶容易发生损毁);
4、瓣膜Commissure不能对着冠脉开口。
同时表示中国医师协会结构组全国范围内计划制定一个最佳的评价标准,对现在的术者要求不仅仅是完成TAVR手术,而是要做到完美。
第二点,通过本例手术,吴永健教授首次系统的讲述主动脉瓣钙化的特点和手术策略,以及对预后之间的关系,还包括术后结果评价,这是TAVR手术的核心
瓣膜病钙化可分为:点状、片状、片状连城一体,并提出钙化9宫格评估概念,钙化的分布,严重程度,形态结构,二叶瓣走向,将严重影响手术效果及预后。

第三点,针对手术团队,不管如何让变化,如果术前评估做得很到位,同时选择一款好的瓣膜,同样可以做到很好的效果。同时表示在最近多次应用Evolut PRO后,得出美敦力瓣膜在复杂主动脉瓣病例很有优势,尤其是在美国很少见的复杂钙化病例,希望今年全国同道一起使用美敦力的瓣膜解决美国人都想象不到的复杂病例,然后专门做一个Evolut PRO在复杂主动脉瓣狭窄病例的应用研究,希望得出比较好的结论。

吴永健教授团队在TAVR领域不断探索,将TAVR技术变繁为简,这也是TAVR今后的发展方向。在充分术前评估患者高危因素及病变复杂程度后,个体化为每位患者选择合适术式,非常重要。严重心衰或者高危复杂患者,可采用全身麻醉下TAVR。而对于非高危复杂患者,采用纯局麻无镇静的极简式TAVR患者有创操作更少,更安全可行。吴主任团队于《中国循环杂志》发表清醒状态极简式TAVR病例的最新报道,可供观看下载。

《中国首例完全局部麻醉且无镇静下极简式经导管主动脉瓣置换术》

撰写:中国医学科学院阜外医院
陈阳医生  周政医生
审核:中国医学科学院阜外医院
牛冠男主任  王墨扬主任
张洪亮主任  赵杰主任
鸣谢:美敦力公司技术
罗元杰协助

专家简介

吴永健

中国医学科学院阜外医院

北京协和医学院长聘教授、博士生导师、主任医师。中国医学科学院阜外医院冠心病中心主任、结构性心脏病中心副主任、冠心病二病区主任。

中华医学会心血管病分会委员,中华医学会心血管病分会冠心病与动脉粥样硬化学组副组长,中国医师协会心血管病分会常务委员,北京医学会心血管病分会副主任委员,中国医师协会中西医结合医师分会心脏康复专业委员会主任委员,世界中联心脏康复专业委员会主任委员,中国医师协会心脏重症专家委员会副主任委员,海峡两岸医学交流协会心脏重症专家委员会副主任委员以及全国多个学会的副主任委员、常委或委员;北京市冠心病介入质控专家组成员,中央和山东省保健成员,北京市医疗事故鉴定组成员。

《中国循环杂志》、《中国介入心脏病杂志》编委,《中华心血管病杂志》、英国《心脏》(HEART)杂志通讯编委及多家其他杂志的编委。

获得2020年教育部科技进步奖一等奖,2020年中华医学科技进步奖二等奖。

擅长复杂冠心病的介入治疗,在国内率先开展OCT、FFR、旋磨技术、准分子激光消蚀手术(ELCA)等,目前他与心脏外科医生通力协作开展复合杂交手术,具全国前列,为常规介入手术或搭桥手术高危和远期疗效差的患者提供了全新治疗手段。

吴永健教授是我国最早开展不用开胸经导管进行主动脉瓣膜置换的专家之一。承担国家和省部级科研课题12项,横向课题10项,2020年国家科技部国家重点研发计划专项(老年瓣膜性心脏病标准评估体系及优化治疗路径研究)任首席专家;已完成经导管主动脉瓣膜置换(TAVR)1000 余例。从零开始探索我国TAVR 体系,参与研发我国首个临床应用的商业化人工瓣膜Venus-A,参与研发多款其他瓣膜(VitaFlow、TaurusOne、Silara 和SinoCrown),获专利30 余项;参与制定我国首个《经导管主动脉瓣置换术中国专家共识》;打造国内首个TAVR 影像学核心实验室;国际上首次提出CT“多平面评估体系”;推广标准化TAVR体系在全国100多家医院应用。

阅读数: 2203