勇攀新高峰!杭州市第一人民医院心脏中心黄进宇、童国新团队成功开展血管内冲击波碎石技术治疗严重冠脉血管钙化

2022年8月23日,杭州市第一人民医院心脏中心黄进宇教授、童国新教授冠脉介入团队成功应用血管内冲击波碎石技术(IVL)治疗一例重度冠脉钙化病变,成为全国少数同时具备冠脉内旋磨术、冠脉内准分子激光斑块消蚀术、以及冠脉内冲击波碎石术治疗冠脉钙化的医院之一。


此项技术的成功应用,也标志着杭州市第一人民医院心脏中心在冠脉介入领域对于钙化病变的处理,能够根据不同患者病情特点提供更加精准、有效的治疗方案,极大地提高了手术安全性。

患者病史

患者,女性,81岁,近1月来反复出现间断性劳力性胸闷发作,冠脉CTA提示冠状动脉多支血管不同程度狭窄伴钙化。遂拟“冠状动脉粥样硬化性心脏病,不稳定型心绞痛”收住入院。


入院后冠脉造影提示:左主干体部狭窄约20%,前降支近段至中段血管迂曲,局部可见明显成角伴钙化,最重处狭窄80%。回旋支细小,管腔未见明显狭窄。右冠全程弥漫性粥样硬化伴钙化,近段狭窄约40-50%,远段狭窄约60%,左室后支开口狭窄50%。


在6F EBU 3.5指引导管到位左冠后,沿前降支导丝送血管内超声(IVUS)导管无法通过病变,遂先予Sprinter 2.5×15mm球囊8atm扩张前降支病变,造影可见球囊膨胀呈“狗骨头现象”。球扩后再次送IVUS导管成功通过病变检查提示:病变处弥漫性纤维钙化斑块,局部可见180-330°钙化环,钙化厚度约0.2mm-0.4mm,长度约8mm,局部可见钙化小结。

手术难点与策略分析

该患者前降支病变迂曲、成角且钙化严重,单纯采用传统球囊扩张预处理可能存在病变扩张不完全,导致后续治疗风险加大;而采用冠脉内旋磨术有可能出现血管夹层闭塞或冠脉穿孔,手术风险高。经冠脉介入团队认真讨论,一致认为可采用冲击波球囊行IVL术处理该病变,以降低手术风险。

手术过程及结果

手术由黄进宇童国新两位教授联合实施。首先在前降支病变处置入3.5×12mm冲击波球囊,以4atm压力膨胀紧贴血管壁,然后启动脉冲发生器,持续激发10个脉冲完成第1周期,可见球囊逐渐膨胀充分,随后以6atm扩张冲击波球囊,可见球囊扩张满意。重新定位冲击波球囊,重复启动脉冲,总共7个周期脉冲优化冲击波碎石效果。


复查IVUS清晰可见病变处环形钙化多处断裂,局部未见明显夹层,获得较大管腔,已满足支架植入条件。遂于左前降支近段成功植入3.0×18mm、3.5×15mm药物洗脱支架2枚。复查造影及IVUS提示支架膨胀良好,未见夹层及边支丢失,手术取得圆满成功。

图1.黄进宇教授、童国新教授正在行冠脉介入治疗

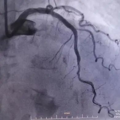
图2.病变处理前/普通球囊预处理中/冲击波球囊预处理中的冠脉造影图片对比

图3.冲击波球囊处理前后的IVUS对比图像

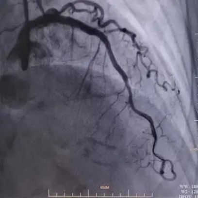
图4.支架植入后冠脉造影及IVUS图像

目前冠状动脉钙化病变(CAC)发病率逐年增高,且与高龄、肾病、糖尿病等慢性疾病密切相关,当冠脉存在严重钙化时,介入治疗难度也随之增加。传统的球囊扩张效果差,在病变未充分扩张情况下植入支架,易出现支架膨胀不全、贴壁不良、支架变形,进而引发支架内血栓形成、支架内再狭窄等风险。采用耐高压球囊、切割球囊、冠脉内旋磨等技术可在一定程度上提升处理钙化病变的成功率,但术中冠脉夹层、穿孔、远端血管栓塞、慢血流或无复流等并发症发生率较高。

IVL采用冲击波球囊,通过低压扩张使球囊紧贴血管壁,脉冲式释放冲击波,碎裂钙化病变并扩张血管,从而达到病变充分预处理的效果;能够松解血管钙化病变却不影响血管内膜完整性,成为处理冠脉钙化病变的有力新“武器”。与此同时,杭州市第一人民医院心脏中心在院党委书记黄进宇教授带领下大力开展各项新技术应用,致力于为广大冠心病患者提供更优质、更安全、更精准的个体化治疗服务。

专家简介

黄进宇

杭州市第一人民医院

心血管内科主任医师,教授,博士研究生导师。杭州市第一人民医院党委书记、心脑血管病诊治中心主任。现担任中国医师协会心血管内科医师分会及高血压专业委员会委员、浙江省医学会心血管病学分会副主任委员、浙江省医学会介入心脏病学分会副主任委员、浙江省中西医结合学会心血管病专业委员会副主任委员、浙江省医师协会心血管内科医师分会副主任委员、杭州市医学会心血管病学分会主任委员、美国心脏病学会委员(FACC)等,以及担任多本SCI收录杂志审稿人。主要从事冠状动脉粥样硬化性心脏病、冠状动脉微循环疾病及高血压的发病机理及临床研究;擅长冠心病介入诊疗,瓣膜性心脏病介入治疗,心脏起搏器植入术以及各类心血管疑难病诊治。承担和参与国家重点研发计划、国家自然科学基金、浙江省重点研发计划、浙江省自然科学基金、浙江省科学技术公益项目、以及省市厅局级等众多项目。获得浙江省科技进步三等奖、浙江省医学科技进步一等奖、三等奖及浙江省中医药科技进步二等奖等多项。以第一作者及通讯作者发表学术论文60余篇,其中SCI杂志40余篇,主编专著3部。

童国新

杭州市第一人民医院

主任医师,医学博士,浙江大学硕士研究生导师,杭州市第一人民医院心内科副主任。现担任中国医师协会中西医结合医师分会心力衰竭专家委员会委员、浙江省医学会心血管病学分会健康管理学组副组长、浙江省医学会介入心脏病学委员、杭州市医学会心血管病学分会副主任委员,以及《European Heart Journal》杂志中文版编委等学术职务。主要从事冠状动脉疾病生物标志物及其预后的研究;擅长瓣膜性心脏病及各种复杂疑难冠心病的介入治疗。作为项目负责人承担多项省厅级项目、市局级科技计划项目 ;参与国家重点研发计划,作为子课题负责人参与浙江省科技厅重点项目,参与多项浙江省自然科学基金、浙江省科学技术公益项目 。目前共发表学术论文20余篇,其中SCI论文7篇,参编著作2部,授权实用新型专利2项。研究成果获浙江省科技进步三等奖,杭州市科技进步二等奖,浙江省卫生科技创新二等奖。

阅读数: 4565