病例荟萃第八期|张金辉:Telescope™导引延长导管在钙化病变中的应用

张金辉  齐齐哈尔市第一医院


简要病史


【病人男性,79岁,】

简要病史:患者于10天前无明显诱因出现阵发性心前区疼痛,呈闷痛,伴胸闷、气短、发作与活动有关,最长达3分钟。

既往无冠脉造影及血运重建史、长期吸烟史,高血压10余年,无规范用药,否认糖尿病史。


检查结果

体格检查:心率:70次/分,血压:162/100mmHg,口唇发绀,双肺呼吸音粗,未闻及罗音,双下肢无水肿。

实验室检查:肌钙蛋白及BNP均正常,总胆固醇5.98,血同型半胱氨酸35,糖化血红蛋白及血糖均正常正常。

辅助检查:(心电图:前壁ST段下移、超声心动图EF:50%,左房增大)。

临床结果

临床诊断:冠状动脉粥样硬化性心脏病  不稳定性心绞痛。

风险评估:79岁高龄,既往有肿瘤病史,长期不良生活习惯,可能有钙化病变存在,球囊及支架进入困难。

用药情况:氯吡格雷,拜阿司匹林,瑞舒伐他汀、比索洛尔、诺新诺。

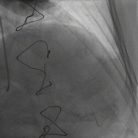
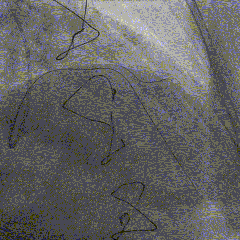
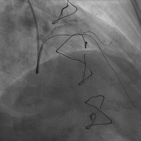
冠脉造影

手术策略

考虑病人前降支闭塞伴有钙化严重,应用强支撑导管,开通应用导丝feilder XT-R,考虑头臂干血管迂曲,必要时改股动脉,如果指引导管顺利到位,可以选择导引延长导管增加支撑力,辅助送入球囊及支架。

手术策略及手术过程:

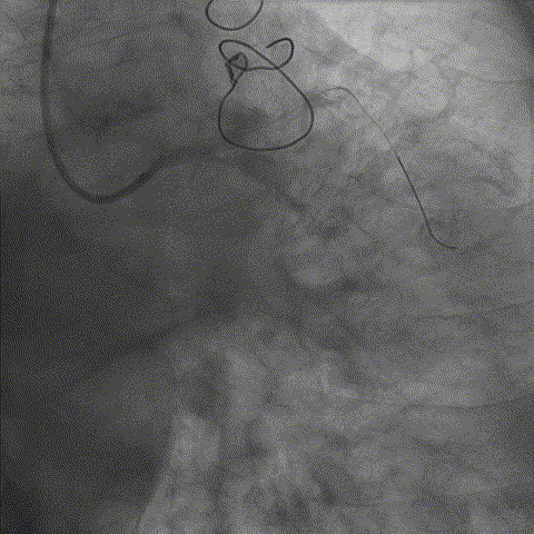
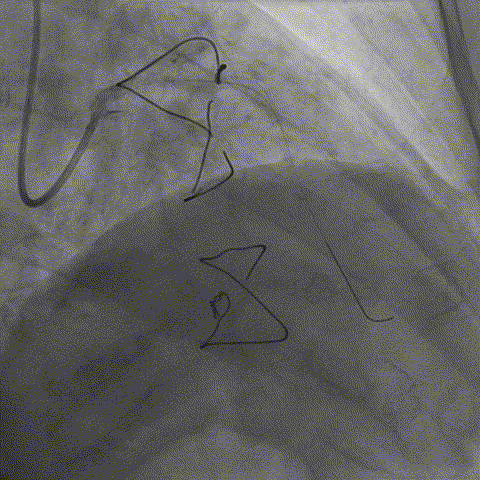
导引延长导管的选择及应用

  • 准备:导引延长导管(Telescope™)。

  • 之前对手术指引导管估计有误,选择BL3.0支撑力不够,改换EBU3.5,导丝过病变但球囊过不去,手术期间EBU3.5不能下入窦底,用导引延长导管引导进入窦底,开始选用1.0*10到2.5*15升级球囊扩张病变。

  • 导引延长导管操作过程中的作用是什么?第一应用其顺利通过迂曲头臂干进入窦底,第二增加支撑力送入球囊,辅助送入支架及后扩球囊。


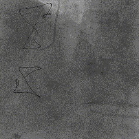
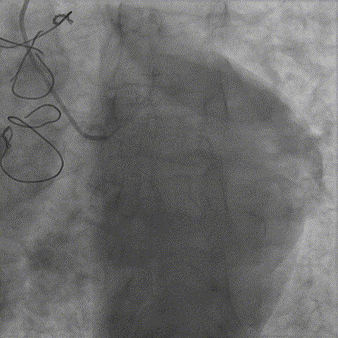
介入经过及结果


Telescope™的操作过程及优势

PCI术后结果及随访

术后病人活动耐力明显改善;

术后1个月及2个月复查病人之前劳力性心绞痛消失,活动耐力增加;

6个月后复查造影,预防支架内再狭窄出现。

经验体会及总结

Telescope™的操作体会:

提供强有力支撑力,减少送入手术器械困难;

保护输送支架过程中对支架的损伤;

增加选择性造影的清晰度;

防止造成冠脉开口损伤;

操作过程顺利,减少过多的造影。

专家介绍

-  张金辉  -

齐齐哈尔市第一医院


心内六科,科主任。

从事冠脉介入10余年,先后在中国医学科学院阜外心血管医院及哈医大二院进修学习。

长按二维码关注“一脉同行”

阅读数: 538