逆行而上,稳中求进——新疆自治区人民医院在静态管理期间连续完成三例TAVR治疗


 经典病例

近日,新疆因新冠疫情原因临时实行静态管理。新疆自治区人民医院杨毅宁院长团队全员到岗,部署疫情防控工作。然而面临疫情所带来的压力及风险,杨毅宁院长团队同时还心系还在住院等待TAVR手术的三位患者,在杨院长的带领下,三位患者如期完成TAVR治疗,手术过程顺利,患者预后良好,第一时间为患者减轻了痛苦。

患者1:旋磨+PCI+TAVR一站式治疗

患者男,73岁



主诉:反复胸闷,气短1年余,加重一周,入新疆自治区人民医院心内科住院治疗胸。



既往史:

高血压病史10年,最高血压230/130mmHg,目前规律服用“苯磺酸氨氯地平片5mg/日”,血压维持在130-140/70-80mmHg,无明显头晕、头痛。

术前评估

心脏超声及术前风险评估

● 患者主动脉瓣峰值流速 417cm/s, 平均压差40mmHg, 瓣口开放面积0.7-0.8cm2

● 主动脉瓣为三叶瓣,左冠瓣与右冠瓣钙化粘连

● 患者为主动脉瓣重度狭窄合并轻中度返流

● 左室壁增厚

CT测量

患者为三叶式主动脉瓣。瓣环周长77.5mm,平均直径24.2mm。LVOT周长74.4mm,平均直径23.0mm。

主动脉根部CT测量

瓣环周长:77.5mm

LVOT周长:74.4mm

左冠高:16.8mm瓣叶长:15.7mm

右冠高:16.1mm瓣叶长:16.2mm

瓣环角度:51o

升主周长:112.8mm

手术过程

术前讨论

术前杨毅宁院长总结了该病例特点:

1. 患者为高龄男性,主动脉瓣为三叶瓣,且重度狭窄伴轻中度返流。

2. 患者左右冠脉严重钙化,采用旋磨技术后植入支架,需要使用边支保护技术下进行PCI。

3. 患者术前评估循环崩溃风险高,需提前准备ECMO

术前策略制定

面对这位冠脉高风险患者,杨毅宁院长带领心脏病团队和多科室组织了一次详细的术前讨论会。经过临床严谨的评估以及充分的讨论,决定在ECMO辅助下完成旋磨+PCI+TAVR一站式治疗:

1. ECMO体外循环 - 左侧股动脉及股静脉植入ECMO动静脉鞘管,连接主机。

2. 经右侧股动脉置鞘送造影导管取不同体位投照。

3. 旋磨 - 7EBU3.5指引导管至左冠开口,Sion导丝入LAD远端,交换旋磨导丝,选1.5mm旋磨头于LAD近段多次旋磨。

4. 旋磨后采用边支保护技术,于前降支近段植入两枚支架,IVUS检查支架贴壁良好。

5. TAVR治疗 - 右股动脉入路,22F大鞘;沿Landerqiust导丝送入22号球囊扩张,植入TAV27号瓣膜。


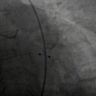
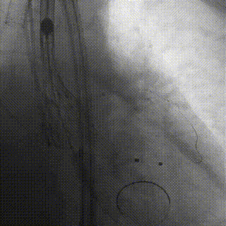
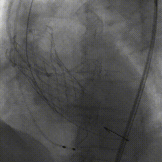
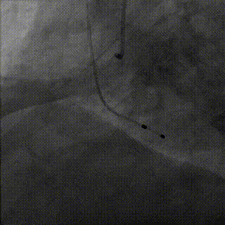
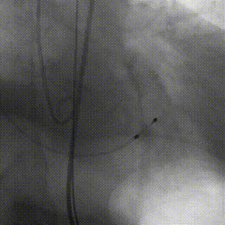
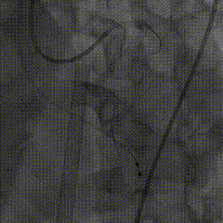
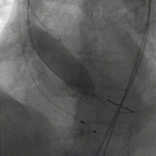
术中操作

冠脉处理前

冠脉处理后

球囊预扩

瓣膜释放

释放完成

患者2:横位心-主动脉瓣中重度狭窄

合并返流患者

患者女,74岁



主诉:发现主动脉瓣狭窄30年,发作性头晕4年



既往史:

平素健康状况良好,否认高血压、糖尿病、高血脂病史。

术前评估

心脏超声及术前风险评估

● 患者瓣口有效面积1.1cm2,峰值流速3.73m/s,平均跨瓣压差34mmHg;

● 主动脉瓣中度狭窄合并中重度返流;

● 左室壁增厚;

CT测量

三叶式主动脉瓣。瓣环周长80.2mm,平均直径25.3mm。LVOT周长79.3mm,平均直径25.0mm。

主动脉根部CT测量

瓣环周长:80.2mm

瓣环周长:79.3mm

瓣环角度:69o

升主周长:148.9mm

手术过程

术前讨论

杨毅宁院长总结了该病例特点:

● 患者为高龄女性,主动脉瓣中度狭窄合并中重度返流;

● 患者升主动脉扩张,横位心角度较大69o,存在升主破裂风险;

● 患者瓣环及流出道无钙化,存在瓣膜移位可能。

术前策略制定

面对这位患者,杨毅宁院长带领心脏病团队和多科室组织了一次详细的术前讨论会。经过临床严谨的评估以及充分的讨论,决定:

1. 右股动脉入路,22F大鞘;

2. 22球囊于右无重叠角度扩张 ,植入TAV27瓣膜;

3. 因心脏角度过大,左侧股动脉入路6F动脉鞘植入抓捕器辅助瓣膜输送鞘进入。

术中操作

冠脉造影

植入前造影

瓣膜定位

瓣膜释放

瓣膜植入后形态

患者3:高冠脉风险TAVR患者

患者女,68岁



主诉:胸痛、胸闷不适位于心前区及胸骨中段后方,呈压榨样及闷胀痛性质入新疆维吾尔自治区人民医院在心内科住院治疗。



既往史:

平素健康状况良好,否认高血压、糖尿病、高血脂病史。

心脏超声及术前风险评估

● 主动脉瓣重度狭窄合并轻度关闭不全;

● 主动脉瓣峰值流速4.41m/s, 平均跨瓣压差44mmHg,有效瓣口面积0.6cm2;

CT测量

三叶式主动脉瓣。瓣环周长76.8mm,平均直径24.4mm。LVOT周长93.8mm,平均直径22.4mm。

主动脉根部CT测量

瓣环周长:76.8mm

瓣环周长:72.9mm

瓣环角度:50o

左冠高:12.2mm瓣叶长13.1mm

右冠高:16.7mm

瓣叶长: 11.1mm

升主动脉周长:114.3mm

手术过程

术前讨论

杨毅宁院长总结了该病例特点:

● 患者为高龄女性,主动脉瓣重度狭窄合并轻度关闭不全;

● 右冠开口高度尚可,左冠开口高度较低且瓣叶较长,如选择24瓣膜,冠脉风险低;如选择27瓣膜,存在冠脉风险,建议球扩关注左冠是否需要保护;

● 钙化从瓣环延伸至流出道1.6mm,存在瓣环撕裂风险、传导阻滞风险、瓣周漏风险,建议小球囊预扩。


术前策略制定

面对这位冠脉高风险患者,杨毅宁院长带领心脏病团队和多科室组织了一次详细的术前讨论会。经过临床严谨的评估以及充分的讨论,决定:

1. 右股动脉入路,22F大鞘;

2. 左侧肱动脉入路,做左侧冠脉保护;

3. 20球囊于左侧冠脉切线角度扩张,造影观察球囊是否收腰;

4. 随后从股动脉22F大鞘通路置入27型号瓣膜;

5. 完全植入后,造影评估左侧冠脉血流情况,决定是否植入冠脉支架;

6. 患者心腔较小,室壁增厚,有循环崩溃风险,准备体外循环机。


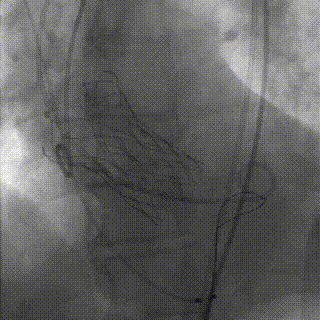
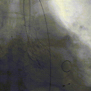
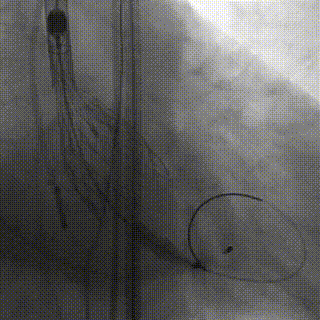
术中操作

冠脉处理前

冠脉处理后

球囊预扩

瓣膜释放

释放完成

术后讨论

面对严峻的疫情形势,以及静态管理所带来的新的挑战。无论是术前讨论及预案准备、术中的手术操作还是术后的预后观察都带来了更大的困难。然而在新疆自治区人民医院心内科杨毅宁院长团队的大力支持下,经过整个心脏团队术前对CT的慎密的分析,面对三位患者所带来的各种难题,都制定了比较完善的手术策略。术中临危不乱,协调默契,最终都取得圆满成功。


这体现的不仅是心脏多学科的通力合作,更是新疆自治区人民医院心内科团队高水平TAVR手术操作的实力体现。也离不开患者对TAVR、对新疆自治区人民医院的信任。同时,极大地提高了团队的自信心。


旋磨+PCI+TAVR一站式、横位心、高冠脉风险-展现出新疆自治区人民医院可以根据患者情况,在高压、高风险的状态下任然做出精确地选择,对于提高手术的安全性,及患者的预后有极大地帮助。对于团队来说,将更好的手术效果带给广大患者,为区域内的患者造福

专家信息


杨毅宁教授

新疆维吾尔自治区人民医院

新疆维吾尔自治区人民医院院长,心血管内科专家

擅长冠心病、先天性心脏病及瓣膜病的介入治疗及相关基础研究。2004年和2007年分别于新加坡国立大学医院导管室和德国Mainz Johannes Gutenberg大学临床医院心内科研修冠状动脉介入治疗。在临床工作中不断开拓创新,在疑难危重症治疗方面,成功开展和推广IVUS、OCT、远隔缺血适应治疗、TAVR、ECMO等新技术。2017年入选"国家百千万人才工程"并被授予"有突出贡献中青年专家"荣誉称号,第十二届"中国医师奖"获得者,先后入选教育部新世纪优秀人才计划,自治区"天山雪松计划"科技创新领军人才后备,"天山英才"培养计划第一层次。2017年入选新疆自然科学专家库。

主持国家重点研发计划1项,国家自然科学基金6项,教育部新世纪优秀人才计划项目1项等20余项研究。

以第一作者或通讯作者身份发表学术论文250余篇,其中SCI收录论文60余篇。荣获自治区科技进步奖10项,其中一等奖4项、二等奖6项、荣获中华医学科技奖2项,2020年被评为自治区“最美工作者”。


新疆维吾尔自治区人民医院心脏中心是新疆自治区内率先独立常规开展经导管主动脉瓣置换术(TAVR)的单位。团队在院长杨毅宁教授的带领下蓬勃发展,技术实力雄厚,得到全国TAVR专家的认可和肯定。

阅读数: 2567