国产原研之声|中山大学附属第一医院开展华南首例TRUEVISION® & VivoHeart® 血管内超声诊断系统临床试用

2022年8月30日,中山大学附属第一医院心血管内科李怡教授、胡洵教授团队成功完成TRUEVISION® & VivoHeart®血管内超声诊断系统的华南首例临床试用。

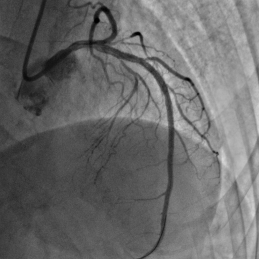
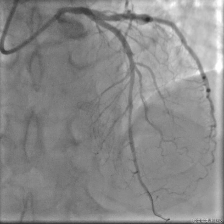
李怡教授使用该系统成功指导了一例前降支次全闭塞病例的PCI治疗。术中李怡教授通过IVUS细致地观察了患者前降支的近中段病变部位,在高清图像下对病变部位的管腔面积与斑块负荷等信息作出了详细的分析,并在成功为患者植入支架后,进一步对支架的植入效果进行了全面的评估及优化。李怡教授表示60MHzIVUS导管所生成的高清图像及管腔智能识别技术的辅助,给手术医生创造了更高效的读图分析环境,其功能的精准程度超出预期,令人印象深刻。

术前

术后

北芯IVUS智能识别技术

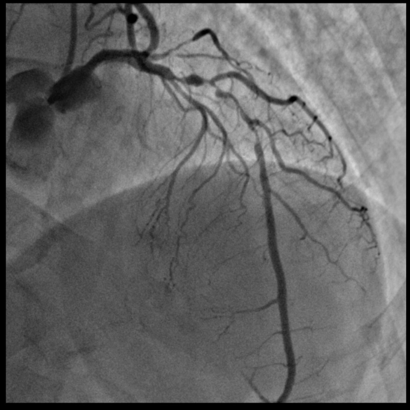
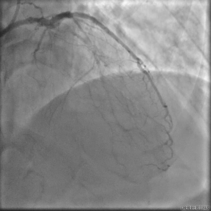
胡洵教授应用TRUEVISION® & VivoHeart®系统指导完成了一例前降支弥漫病变的PCI治疗。该名患者前降支病变长度超过60mm,传统IVUS导管回撤耗时超过1分钟,使用TRUEVISION® & VivoHeart®系统则仅用时7秒即完成了整个病变的评估。胡洵教授指出国产新型IVUS导管术中高速回撤的优秀表现,不仅给手术医生及患者节省了宝贵的手术时间,而且更为重要的是可以有效减少患者在IVUS检查过程中可能引发的心肌缺血风险。 

术前

术后

TRUEVISION® & VivoHeart®血管内超声诊断系统为首个国产原研IVUS产品,拥有行业最高的成像分辨率(60MHz超声成像频率)、全球最快的成像速度(100帧/秒断面成像;10mm/s回撤速度),以及高性能智能图像分析平台,是国内医工结合的标志性成功范例之一。本次TRUEVISION® & VivoHeart®血管内超声诊断系统在中山大学附属第一医院的成功试用,标志着国产力量在心血管诊疗领域正发挥着越来越重要的作用。

专家简介

李怡

中山大学附属第一医院

医学博士,副主任医师,心内科副主任。任广东省医学会心血管分会危急重症学组副组长,广东省医学会心血管病分会结构性心脏病学组副组长,广东省老年保健协会动脉粥样硬化性心脑血管病防治循证医学专业委员会副主任委员,广东省医师协会心血管介入医师分会秘书,广东省医师协会冠脉影像与功能学分会常委 ,广东省中西医结合学会心血管介入专业委员会常委 ,广东省健康管理学会心血管病专业委员会常委,专著《冠脉血管内超声图谱》。从事心血管内科临床工作约20年,近15年一直工作在心血管重症监护室。主要从事冠心病、瓣膜病、心力衰竭及心血管重症的临床诊疗工作。擅长冠心病、结构性心脏病的介入诊疗、心血管危重症的诊疗。

胡洵

中山大学附属第一医院

副主任医师,硕士研究生导师。哥伦比亚大学心血管研究基金会博士后,亚太介入心脏病学会委员,中国心血管医生创新俱乐部执行委员,中国介入心脏病大会工作组成员,中国冠脉腔内影像及功能学青年医师俱乐部会员,广东省医学会心血管病分会影像学组委员。

阅读数: 483