病例分享|PCI术后仍旧反复胸痛,冲击波球囊治疗顽固性钙化病变

冠脉钙化是冠脉介入最难攻破的难题之一,一直以来并没有完全满意的兼顾安全性和有效性的解决方法。冲击波球囊作为处理钙化病变的最新手段,其因效果明显、操作简便、安全性高的特点,越来越受到临床医生的关注和认可。此次我们分享一例来自浙江大学医学院附属第二医院心内科李长岭主任使用冲击波球囊处理前降支钙化病变的病例。

患者情况

患者为一位80岁女性,既往有糖尿病病史,10余年前于当地医院行冠脉造影及支架置入术,近3年有胸痛反复发作。入院6天前于当地医院行冠脉造影,指示有冠脉狭窄、钙化,行球囊扩张术,术后胸痛仍反复发作。此次因“PCI术后10余年,反复胸痛3年”于近日入浙二医院。

术前检查

手术前冠脉造影提示,左主干至前降支中段钙化明显,前降支近段起弥漫性病变,严重处80%狭窄。

术前造影指示左主干至前降支中段钙化明显

策略制定

该患者球囊扩张术后胸痛仍反复发作,提示存在钙化斑块影响血管顺应性,从而导致血管弹性回缩及术后血管再狭窄的可能;原因在于普通及高压球囊无法对钙化斑块进行修饰,故而无法有效提高血管顺应性。考虑到冲击波球囊可以松解钙化斑块,从而能有效提高血管顺应性,减少血管弹性回缩的特点,且患者高龄(80岁)、钙化长度长(左主干至前降支中段)、存在弥漫性钙化病变,决定采用谱创医疗Sonico-CX冲击波球囊对前降支行钙化斑块碎裂术。

使用冲击波球囊处理钙化病变

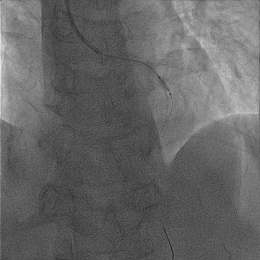
经2.5mm*15mm球囊预扩处理后,在Guidezella延长导管支撑下,将谱创医疗Sonico-CX 2.5mm*12mm冲击波球囊送至前降支中段,经过40次冲击波(4个周期,每个周期分别以4atm激发冲击波,再以8atm扩张成形)处理后,成功碎裂钙化斑块。

Guidezella延长导管支撑下,冲击波球囊送至前降支中段钙化处

冲击波球囊处理前降支钙化病变

植入支架

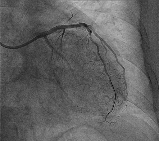
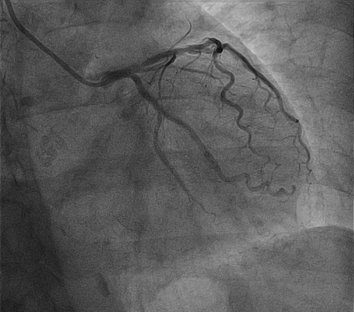
经过充分的冲击波球囊预处理后,因钙化环得到松解,血管顺应性提升,病变处顺利植入支架2枚。术后造影提示支架贴壁良好,扩张满意,无残余狭窄。

成功置入支架,支架贴壁良好,扩张满意,无残余狭窄

冲击波球囊帮助提高血管顺应性

冲击波球囊除了可松解内膜下钙化外,也是目前可对中膜下深层次钙化进行松解的最新技术。它的一个显著特性是“遇刚则刚、遇柔则柔”,相比旋磨等技术,其能选择性碎裂钙化斑块,最大限度保护正常血管组织,因为这个特点使其能有效提高血管顺应性、减少血管弹性回缩及再狭窄。

冲击波球囊技术助力冠脉钙化病变治疗

谱创医疗Sonico-CX冲击波球囊,是一款国产自主研发并获得发明专利授权的经皮冠状动脉血管内冲击波能量钙化碎裂术的专用器械产品。

冲击波球囊通过内置电极在低压下激发声压力波,并将此非聚焦、脉冲式冲击波通过球囊内介质及球囊壁传导至钙化病变部位,安全有效地碎裂浅、深层钙化,从而改善血管顺应性。相比其他钙化处理技术,冲击波球囊技术兼有操作简便、安全性高、效果明显的特点。相信随着该技术的普及,其将为冠脉钙化患者带来福音。

专家简介

李长岭

浙江大学医学院附属第二医院

副主任医师,中华医学会心血管病分会危重学组委员,中国医师协会心血管病基层组副组长,浙江省医学会介入分会委员,CTOCC会员,亚太CTO俱乐部会员,浙江省医学会心血管病分会委员。2002年浙江省科技厅二等奖,2003浙江省教育厅二等奖。

阅读数: 638