旗开得胜 砥砺前行|曲靖市一人民医院心内科团队成功应用VitaFlow Liberty™为重度AS高危患者完成TAVR一例

近日,曲靖市第一人民医院心内科团队在院领导、科主任何明教授的主持下,在四川大学华西医院冯沅教授的指导下,联合超声科、心脏血管外科、麻醉科、医学影像中心、重症医学科等科室进行了多学科心脏瓣膜病团队成功为一位高龄主动脉瓣重度狭窄患者植入VitaFlow Liberty™瓣膜,这是曲靖地区首例经导管主动脉瓣置换术(TAVR),填补了该项技术的空白,标志着曲靖市第一人民医院心内科在瓣膜病变经血管微创介入治疗方面的技术再度提升。

术前,何明教授带领心脏团队与专家充分讨论仔细评估,就一切可能发生的状况制定了详细手术预案,该病患病程10余年,曾反复出现严重心衰多次住院治疗,考虑到患者极高龄,无法耐受传统外科开胸手术,手术团队与患者及家属充分沟通后,经充分的术前讨论评估患者手术风险及获益后,决定采用经股动脉穿刺,创伤小、恢复快的微创介入治疗方式(TAVR)置换主动脉瓣。

患者基本情况 

患者:83岁女性,胸闷、气促、呼吸困难

主诉:因“反复胸闷气促10年,再发加重1周”入院

超声提示:主动脉峰值流速603cm/s,峰值压差145mmHg,EF=61%。

结论

1.主动脉瓣极重度狭窄;

2.二尖瓣、三尖瓣少中量返流;

3.左室舒张功能减低,左心扩大

4.重度肺动脉高压。

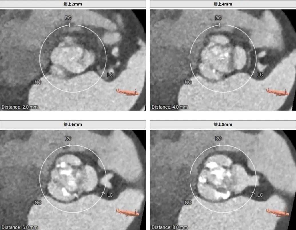
CT术前评估


主动脉根部情况

瓣环周⻓77.6mm,平均直径24.7mm    LVOT周长74mm,均径23.6mm

瓣上2mm--8mm 瓣上结构

左冠高度6.4mm 右冠脉高度12.3mm

手术策略分析

♦ 三叶氏主动脉瓣,瓣叶增厚,重度钙化,主要分布于无冠窦及右无瓣叶交界处,瓣膜锚定力充足;

♦ 左右冠脉开口高度分别为6.4mm和12.3mm,左右瓣叶长,冠脉风险高,需球扩时评估是否需要冠脉保护;

♦ STJ直径34.8mm,高度18mm,稍偏低;升主动脉及弓角度OK,有一小块钙化,使用微创VItaFlow Liberty™瓣膜通过性顺畅

♦ 患者主动脉瓣环水平角度63°(横位心),器械过弓跨瓣会存在一定的困难,计划提前预埋Snare辅助

♦ 双侧髂总动脉走行尚可,股动脉入路两侧血管轻度迂曲,未见明显钙化,分叉高度可,左侧血管平均最小内径8.0mm,右侧血管平均最小内径8.3mm。预计采用右股为主入路,左股为辅入路

♦ 依据瓣环及瓣上分析结果,计划采用微创Alwide 20mm球囊预扩张,预植入TAV24瓣膜

♦ 释放:左右重合位,瓣环下0位释放,再结合正交体位进一步评估瓣膜植入深度

♦ 术前适当补液,术中密切关注血流动力学变化,警惕循环奔溃风险

♦ 术后超声进一步评估瓣膜植入深度、瓣膜形态、跨瓣压差、有无瓣周漏等相关参数;常规生命体征监测,密观病情变化。

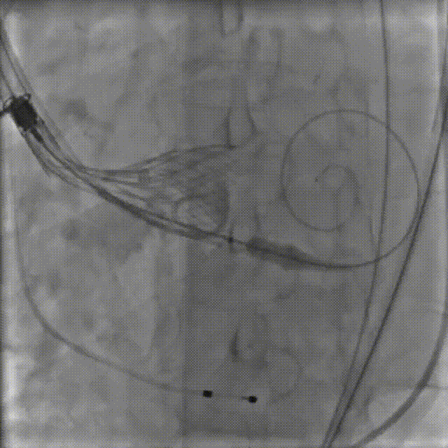
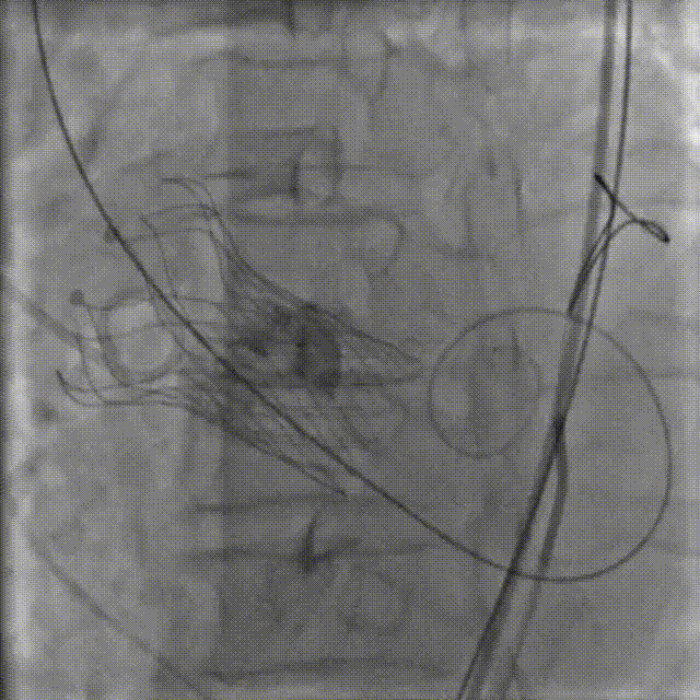
手术过程

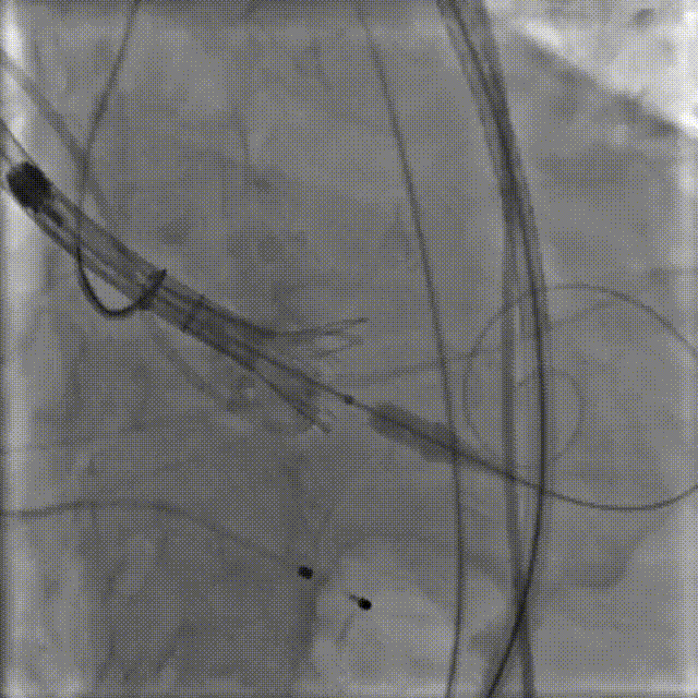
根据术前测量分析,采取右侧股动脉作为主入路,左股为辅入路。置入猪尾进行根部造影,造影可见主动脉根部钙化重,瓣叶活动度低。

1.冠脉造影评估

2.主动脉瓣根部造影

右窦居中,无窦最低

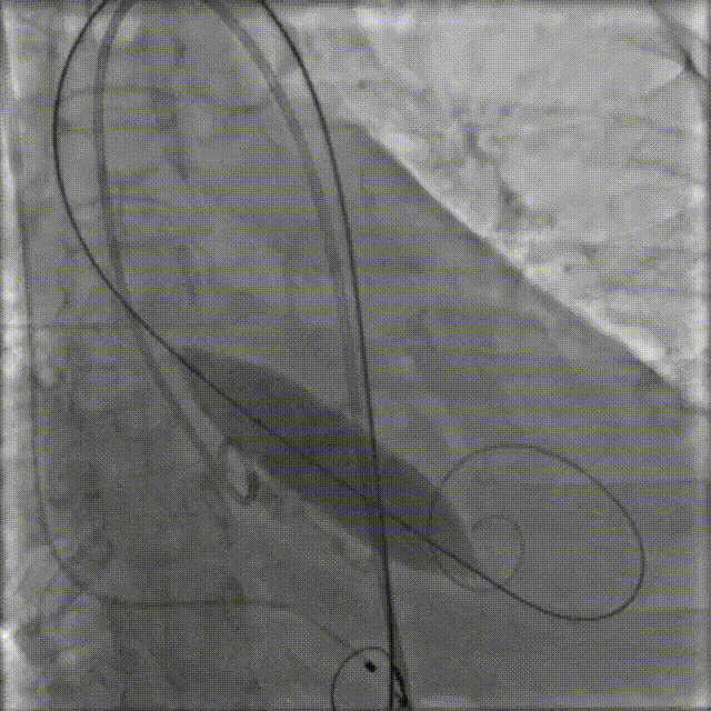
3.微创Alwide 20mm球囊充分预扩张

造影观察左右冠显影情况

4.VitaFlow liberty™ TAV24瓣膜系统1:1等量精准释放

猪尾巴在无冠窦窦底定位,缓慢释放瓣膜,多次造影评估,实时观察冠脉显影情况.

释放到后1/3,多体位造影评估冠脉及植入深度

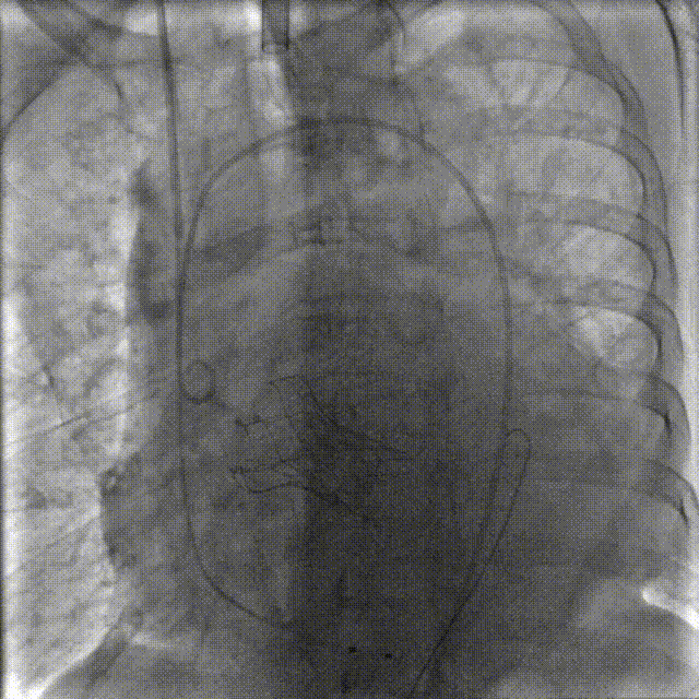
5.释放完成

瓣膜释放后造影提示冠脉⽆遮挡

最终瓣膜植入深度可,形态佳,⽆瓣周漏

6. 外周检查。

术后即刻评估

术后行主动脉根部造影未见明显夹层,压差从145mmHg降至10mmHg,无明显瓣周漏,且冠脉血流通畅;复查心脏彩超显示心功能指标较前明显提升,症状明显改善。

手术总结

主动脉瓣狭窄是老年人最常见的瓣膜病,随着年龄的增长,患病率逐年升高。65岁以上老年人患病率大约在2%~7%,主要原因可能是在动脉硬化的形成过程中慢性退行性钙化及隐匿性炎症反应。一旦严重的主动脉瓣狭窄患者出现临床症状或者进展到左室收缩功能障碍期,居民健康将受到极大影响。外科主动脉瓣置换术(SAVR)一直是症状性主动脉瓣狭窄的主要治疗方式,但许多老年人由于伴发疾病多,常常无法耐受外科手术,导管介入疗法孕育而生,并为患者带来新的治疗手段。我国患者具有年龄较轻、解剖结构更为复杂等特点,这增加了导管介入疗法的难度,对术前规划、术中操作及瓣膜器械的设计都提出了更高的要求。同时,由于手术技术难度大导致学习曲线较长,经导管主动脉瓣置换术(TAVR)经过10年左右的发展,为有较高手术风险、高龄、左室收缩功能减退和存在手术禁忌证的患者提供了一种全新的疗法。TAVR已逐渐成为外科手术有效替代的优选治疗方式,并且被证实优于传统保守治疗方法。该技术的成功开展也为本市老年主动脉瓣狭窄患者带来福音。

曲靖市第一人民医院 心血管内科


心血管内科成立于1981年, 1991年被曲靖地区卫生局定为曲靖地区重点专科。2003年以来,心血管内科开展了以心血管介入诊疗技术为重点的专科建设,开始引进设备、培养人才,不断提高心血管介入诊疗水平和规范管理水平。2017年评为省级临床重点专科, 2018年10月获得云南省卫生计生委颁发的云南省心血管疾病诊疗质量控制中心曲靖分中心,2019年科室获评国家级胸痛中心,2020年12月获国家标准化胸痛中心卓越中心、国家标准化心衰中心示范中心、国家标准化房颤中心示范中心、国家标准化高血压中心示范中心,科室获评2020年“智慧胸痛中心建设”优秀奖,是曲靖市医学会心血管专业委员会主委单位,建立国家心血管病中心中国医科学院阜外心血管病医院孙兴国专家工作站、云南省第一人民医院张宏专家团队工作站。科室拥有先进治疗设备,可以进行各种心血管所需的检查及治疗,包括:心血管专用平板(DSA)X射线机,主动脉球囊反搏仪、血管内超声仪,旋磨仪,心脏彩超、多导心脏电生理记录仪、射频消融仪,心电图仪、遥测及床旁心电监护仪、Zoll式电除颤仪、动态心电图仪、动态血压仪、食道调搏仪、临时心脏起搏器、起搏器程控仪等,为患者提供更为优质的医疗服务。

专家简介

何 明

曲靖市第一人民医院

1999年毕业于大理医学院临床医疗系,曾多次到昆明医科大学第二附属医院、第四军医大学西京医院、华西大学华西医院、云南省第二人民医院进修学习,有扎实的内科理论基础和丰富的临床经验;擅长心血管介入的诊疗,每年完成心血管介入手术1000余台,在多个医学学会任职,目前是云南省中医学会络病专业委员会副主任委员、曲靖市医学会心血管专业委员会副主任委员、云南省医师协会《心律学医师分会》第一届委员会委员、常委 、云南省医师协会《高血压医师分会》第二届委员会委员、云南省医院协会心内科管理专业委员会第一届委员会委员、云南省《心血管疾病专业委员会》委员、云南省康复医学会心血管疾病专业委员会委员、云南省医师协会《胸痛专业委员会》委员、曲靖市医学会老年医学专业委员会委员、曲靖市医学会核医学专业委员会委员。以主编身份参与《实用临床心血管病学》编写、以编委身份参与《心脏介入病例荟萃》编写,2015年参加院内心血管内科教材编写,在省级刊发表论文十余篇。2020年评为曲靖市第一人民医院惠滇名医,2020年评为胸痛中心建设“护心使者”奖,2020年聘为胸痛中心全国飞检专家,2020年聘为胸痛中心暗访专家。


曲靖市第一人民医院  昆明医科大学附属曲靖医院  ⼼血管内科 

阅读数: 598