病例荟萃第六期|王欢:Telescope™处理CABG术后PCI

王欢  空军军医大学西京医院


简要病史


男性,63岁。

主诉:发作性胸闷、气短12年,再发1月;

12年前因冠心病行CABG;

危险因素 吸烟史40年。


检查结果

【体格检查】无明显阳性体征

【实验室检查】无明显异常

【辅助检查】

心电图 窦性心律,ST-T改变;

超声心动图 EF 58%,前间隔、左室前壁运动搏幅减低;左室舒张功能减低。

临床诊断

【临床诊断】

冠心病

不稳定性心绞痛

陈旧性心肌梗死

CABG术后

心功能Ⅱ级

【风险评估】

高危

【用药情况】 

阿司匹林 

氯吡格雷 

瑞舒伐他汀 

贝那普利 

美托洛尔 

依洛尤单抗

冠脉造影

自身冠脉

桥血管


介入经过及结果

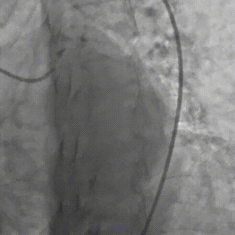
双侧造影

Corsair辅助下正向尝试,导丝进入内膜下

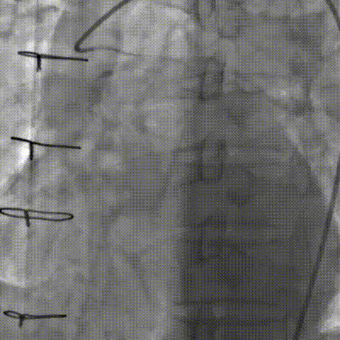
DLC辅助下导丝进入远端血管真腔 多体位确认

Corsair辅助下交换工作导丝 球囊扩张后支架通过困难

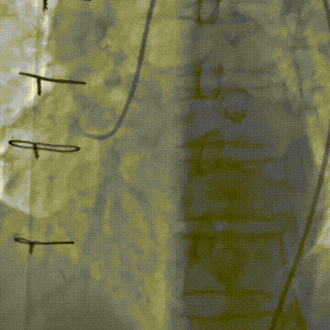
球囊辅助下导引Telescope™导引延长导管

在Telescope™导引延长导管辅助下顺利植入支架


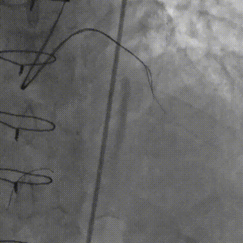
最终结果


经验体会及总结

CABG术后患者往往钙化严重,行PCI时因钙化所致手术器械通过困难,此时使用Telescope™导引延长导管能显著提升器械通过能力,同时能保护整个支架在输送过程中出现的“毛刺”等损坏情况。

在使用Telescope™导引延长导管过程中,安全是能够得到保证的,合理使用的情况下并不增加患者血管并发症的发生率。

专家介绍

-  王欢  -

空军军医大学西京医院

陕西省医师协会会员,年均完成各类介入手术近千例。擅长结合血管腔内影像学,正、逆向导丝技术及旋磨、激光、器械辅助的ADR技术等,完成包括左主干、严重扭曲钙化、慢性闭塞病变(CTO)等复杂冠脉的介入治疗;心脏内科心脏瓣膜病团队及ECMO团队成员。

长按二维码关注“一脉同行”

阅读数: 531