嘉境·瓣旅丨西安市第一医院张誉洋、李同华教授团队成功应用TaurusElite完成首例TAVR手术

2022年8月21日,在国际医学中心李滨教授指导下,西安市第一医院心血管病院张誉洋院长、心内四病区葛兴利主任医师、李同华主任、郝春媛副主任医师、王博副主任医师,联合超声科展小军主任团队、麻醉科曹淑梅主任团队、影像中心李永斌主任团队及介入室团队,成功应用TaurusElite可回收经导管主动脉瓣系统为一位75岁高龄重度主动脉瓣狭窄患者实施TAVR手术,术后即刻患者血流动力学显著改善结合临床表现,预期患者生存获益极大,将拥有更好的生活质量。据悉,本例患者75岁,经术前诊断,考虑风湿性心脏瓣膜病,主要累及主动脉瓣。此前患者已多年有主动脉瓣狭窄临床症状表现,几经求治未得到有效治疗。此次就诊于西安市第一医院,经心内四病区介入团队综合评估,患者年龄较大,不能亦不愿接受外科手术换瓣,决定为其行经导管主动脉瓣置换(TAVR)手术。本例手术也是西安市第一医院首次开展TAVR,为了手术圆满完成,张誉洋院长、李同华主任组织手术团队成员充分讨论,对术前CT及超声影像的评估结果做细致分析,制定了详细的手术计划及风险预案,终于,手术顺利完成,无并发症,无残余瓣周漏,取得圆满成功。

患者基本信息

•女性,75岁

•主诉:间断胸闷、心悸4年,加重2月。

•超声检查:主动脉瓣上血流Vmax=5.35m/s,瓣口面积0.6~0.7cm²,主动脉瓣反流面积6cm²,EF值62%,诊断为“重度主动脉瓣狭窄,中量主动脉瓣反流”。

术前CT评估

三叶式主动脉瓣,LVOT近似直筒,非横位心

轻度钙化,HU 850积分210mm³

左冠15.7,右冠19.4,综合分析冠脉阻挡风险适中

瓣上多平面分析

股动脉入路评估,条件相对良好

主动脉弓评估

手术策略讨论

张誉洋院长、李同华主任组织团队成员,对手术细节做了充分探讨:

• 三叶式主动脉瓣,以风湿性改变为主,瓣叶显著增厚,R-L间纤维粘连,轻度钙化,钙化主要沿无冠窦瓣缘分布,LVOT直筒型对人工瓣膜的释放技巧有较高要求

• 左、右冠高度可,切线位测量,无冗长瓣叶,结合瓦氏窦、STJ 内径综合预估,冠脉阻塞风险适中

• 非横位心,升主无明显扩张,弓部宽度角度可,应用TaurusElite 输送器可顺利过弓、跨瓣;弓顶部存在钙化,小心通过防止钙化脱落

• 股-髂动脉走行适宜,内径可,穿刺点下方有钙化分布,腹主-髂总大量附壁钙化,在穿刺时准确定位穿刺点,术后需造影检查无血管并发症发生;

• 结合瓣环及瓣上分析数据,选择18mm球囊预扩,尽可能减小破坏瓣上结构,植入TaurusElite系统AV26瓣膜,视评估情况决定是否后扩。

术中剪影

手术影像记录

主动脉根部造影

18mm球囊预扩

输送器顺利过弓跨瓣

瓣膜初始定位

工作位多角度评估瓣膜形态,位置理想

缓慢稳定完全释放瓣膜

球囊后扩,改善瓣膜形态

最终造影,位置理想,无瓣周漏

外周造影检查

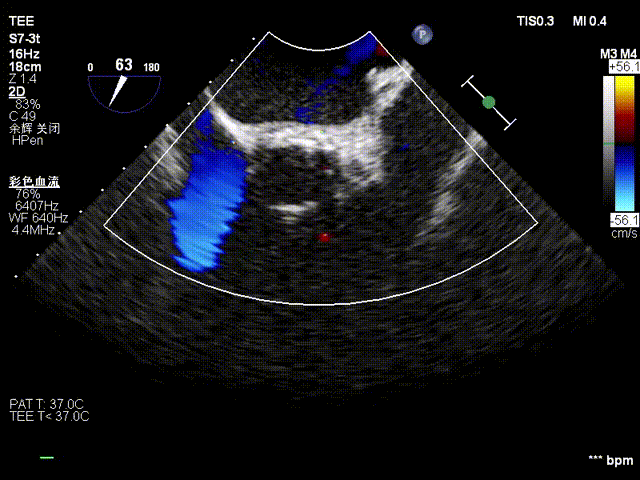
植入后评估

超声多切面评估,瓣膜植入位置理想,血流动力学改善明显

术者心声

这一次我们成功为一位75岁老太太开展TAVR手术,且取得了良好的效果,是我们科室在精进结构性心脏病诊疗技术的又一突破。长久以来,外科手术换瓣一直是心脏瓣膜病治疗的金标准,但是很可惜,有一部分患者因为病程太久,亦或者年龄较大等因素,已经无法再耐受外科换瓣,TAVR这样一种介入换瓣的新技术,首先为这一部分患群带来了希望。TAVR诞生20年来,在世界范围内已先后掀起了换瓣治疗的革新浪潮,我们中心在早期也做了大量的准备工作组建团队,培养人才以及学习TAVR疗法的技术要点,终于在TAVR诞生20周年之际,开展了我院首例TAVR,手术圆满成功,我们的努力正是为了这一刻患者的笑容。在欣喜之余,我们也感慨国内TAVR产品的创新无止尽,是我们医生强有力的保障。手术中TaurusElite稳定的可回收功能,给了我们充足的信心,能够顺利完成手术,最终取得理想效果。

专家简介

张誉洋

西安市第一医院

男,汉族,1978年9月出生,中共党员,第四军医大学西京医院心血管内科专业,博士,副主任医师,现任西安市第一医院心血管病院院长。西安市医学会心血管内科分会会员,西安市医学会急诊医学分会会员、陕西省医学会心血管内科分会介入组会员。2017年获首届“西安市好青年”荣誉称号;2018年获首届“西安市最美医师”荣誉称号;2019年获西安市“人民健康卫士”荣誉称号;2021年获西安市“卫健委优秀共产党员”。于SCl收录期刊及核心期刊发表论文数十篇,参与主持省课题两项,国科金一项。专业特长:主要擅长心脏内科各种疾病的诊治、心血管疾病各种介入手术治疗,以及各种急危重症的抢救。每年完成各种介入手术千余例,抢救危重病人百余例。

郝春媛

西安市第一医院

心血管内科专业,硕士,副主任医师,2006年就职于西安市第一医院心血管病院心内科。现任陕西医促会胸痛委员会委员、陕西保健协会周围血管专业委员会委员、西安医学会结构青委会委员。多次获院内“先进个人”、“优秀带教”、“医德优秀”、“优秀病历”等奖项。于SCl收录期刊及核心期刊发表论文十余篇,参与主持省基金两项。专业特长:擅长冠心病、高血压、心肌病、心肌炎、心力衰竭、心律失常、外周血管病等心血管内科疾病的临床诊断和治疗,以及心血管内科介入手术治疗。

王博

西安市第一医院

硕士研究生,副主任医师。陕西省中西医结合学会委员。从事心血管内科专业十余年。擅长冠脉支架介入、心脏起搏器植入、高血压、心力衰竭及各种心脏急危重症诊治。以第一作者发表SCI论文1篇,在国家级核心期刊发表论文10余篇。

阅读数: 1364