海南首例!海医二院心血管病医院开展Shockwave IVL血管内冲击波碎石技术治疗重度冠脉钙化

2022年8月23日,海南医学院第二附属医院(海医二院)心血管病医院心内科团队在北京安贞医院叶益聪教授带领下成功完成了海南省首例Shockwave IVL血管内冲击波碎石技术治疗重度冠脉钙化病变病例,成为全国首批开展此项技术的中心之一。疫情期间,海医二院心血管病医院在院领导的大力支持下,继续开展新技术,为海南人民提供优质的医疗服务。

血管钙化是冠心病的常见表现之一,同时钙化病变增加冠心病介入治疗的难度,包括球囊支架等器械无法通过,手术并发症如夹层、穿孔风险增高等。虽然目前已经有多种钙化病变的处理手段,但对于血管直径大,深层的血管钙化处理效果仍不理想。Shockwave IVL是基于治疗泌尿系结石的碎石理念结合球囊成形术进行创新性研发的新技术,可通过声压力波选择性作用内膜及中膜下的钙化病灶,使钙化松解却不影响血管内膜的完整性,同时安全性较好,增强血管顺应性,为后续支架的置入提供保障,为钙化病变的处理提供了一个新武器。

今年年初,海医二院与国家心血管疾病临床研究中心(北京安贞医院)签约成为分中心建设单位以来,心血管内科已经新开展多项技术,包括血管腔内影像学、功能学FFR,旋磨,准分子激光,逆向CTO及ADR技术等,建立了复杂冠脉病变的一体化介入治疗体系,实现冠心病介入“大病不出岛”的目标。

患者病情介绍

患者男性,63岁,既往糖尿病肾病,慢性肾功能不全规律血液透析,RCA曾行PCI。本次因为心力衰竭入院,入院后超声提示左室EF 仅有24%,伴有中量二尖瓣反流,冠状动脉造影提示:右优势型,血管走行区可见重度钙化影,LAD 中段次全闭塞,LCX近端重度狭窄;RCA支架内再狭窄,支架近端及远端均存在重度狭窄。患者拒绝CABG,遂在IABP的支持下,首先处理LAD。本次择期处理RCA病变,由于RCA近端血管钙化迂曲,IVUS探头无法通过,遂在延伸导管的支持下,直接进行Shockwave IVL(3.5mmX12mm)治疗,在经过8个周期80个脉冲对RCA多处靶病变进行充分预处理后,以药物洗脱支架联合药物洗脱球囊的方式顺利完成RCA的血运重建。目前患者EF由24%上升至43%,心衰症状明显缓解。

手术过程

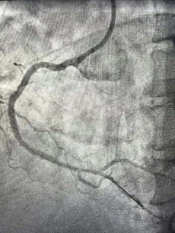
图1:冠状动脉造影提示RCA弥漫钙化伴多处重度狭窄

图2:Shockwave IVL球囊释放脉冲治疗

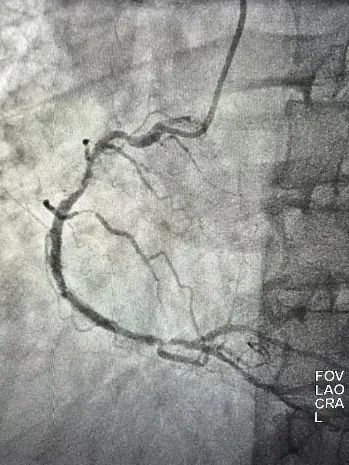
图3:支架联合药物洗脱球囊治疗后

图4. 术后IVUS提示支架膨胀良好

图5. 叶益聪教授与心内科团队进行冠状动脉血管内冲击波碎石术

叶益聪教授对该病例进行总结:长期透析的患者通常存在严重的血管钙化,该类患者合并冠心病时介入治疗往往比较困难。此外本例患者还存在很多介入高危因素,心功能差,多支病变,血管迂曲,既往植入支架等,传统的钙化处理手段旋磨手术风险较大,遂直接采用Shockwave IVL。Shockwave IVL球囊优势在操作简便,对内膜及中膜钙化均有作用,尤其对于血管直径比较大的血管更有优势,同时其手术并发症风险小,尤其适合复杂高危的钙化病变患者。

图6. 海医二院心内科团队术后合影

专家简介

叶益聪

北京安贞医院

医学博士,北京安贞医院心内科副主任医师,海医二院心血管病医院心内科首席专家,国家卫健委冠脉介入基地培训导师,CTO Hybrid策略国际认证带教术者,冠状动脉旋磨术及血管内超声培训导师,北京心血管疾病防治研究会北京青年CTO分会青年委员,中华中医药学会介入心脏病学分会青年委员,北京医师协会内科专科医师分会理事,美国加州大学旧金山分校(UCSF)访问学者。

擅长复杂冠脉病变的介入治疗,包括慢性闭塞病变,钙化病变,左主干病变,冠状动脉腔内影像学,冠状动脉旋磨术,准分子激光冠脉消融术,Shockwave IVL等。主持“国家自然科学基金”及“中国医学科学院青年科研基金”,以第一作者发表SCI文章20余篇。担任《Heart》、《PLOS One》、《Cardiovascular Diabetology》、《European Radiology》、《Thrombosis Research》等SCI杂志审稿人。参与编写《系统性疾病与心脏》,《协和医院内科大查房》,《北京协和医院心脏疑难病例解析》等著作。

刘先霞

海南医学院第二附属医院

心内科主任、主任医师、硕士生导师。

海南省拔尖人才;海南医学会心血管病专业委员会副主任委员;中国医师协会心血管内科医师分会全国委员;海南医师协会心血管内科医师分会副会长;海南医学院第二附属医院胸痛中心医疗总监;海南中西医结合协会脑心同治专业委员会副主任委员。

擅长冠心病、高血压病、心力衰竭、心律失常等疾病及心血管急危重症的诊断和治疗,主持开展心血管疾病介入诊疗20年,特别是在冠心病介入治疗、起搏治疗缓慢性心律失常方面有丰富的经验,总结书写论文数十篇,作为副主编出版一部《心脏内科医师1000问》专著,主译约翰.莫塔的《全科医学》第五版,主持海南省重点研发项目2项。

陈磊

海南医学院第二附属医院

副主任医师,硕士研究生导师,海南医学院第二临床学院内科学教研室副主任,海南医学院第二附属医院胸痛中心协调员。海南省医师协会心血管病分会常委,海南医学会心血管专业委员会委员,海南医学会心血管病中西医结合分会常委,主要研究方向为冠心病介入诊疗。发表论文20余篇,其中SCI收录6篇;参编医学著作3部,主持省部级科研项目4项。

阅读数: 3009