病例荟萃第四期|蔡炜:Telescope™导引延长导管辅助开通右冠CTO一例

蔡炜  福建医科大学附属协和医院


简要病史


林**,男性,50岁,

反复胸闷痛7年,加重3个月,

无高血压、糖尿病史,

冠脉CTA:左冠及右冠可见钙化影,钙化积分470;左主干管壁钙化斑,管腔轻度狭窄;左前降支管壁钙化斑,管腔轻度狭窄,中段管壁钙化伴狭窄(70-99%);第一对角支管壁钙化伴轻度狭窄;右冠状动脉管壁不同程度狭窄,后降支管壁钙化斑快伴轻度狭窄。

心肺运动实验:阳性。


检查结果

  • BP:138/79mmHg,HR:69次/分,律齐,未闻及心脏杂音。

  • TC:5.76mmol/L,TG:2.01mmol/L,LDL-C:4.34mmol/L。

  • NT-ProBNP:31ng/ml;HbA1c:5.8;Cr:58umol/L。

  • 心脏超声:EF:63%;Lved:4.51cm;主动脉瓣回声增强伴返流+;三尖瓣返流+;左室舒张功能减退。

临床诊断

【临床诊断】

冠心病;不稳定型心绞痛;心功能II级(NYHA)。

【风险评估】

冠脉多支血管病变伴钙化;完全血运重建策略。

【用药情况】

替格瑞洛;阿司匹林;瑞舒伐他汀;琥珀酸美托洛尔缓释片。

ECG

介入经过和冠脉造影

左冠造影:LM末端可见板块负荷,病变由LAD延续至LM;LAD近段重度狭窄并累及分叉,呈真性分叉病变;LCX扭曲,未见明显狭窄。

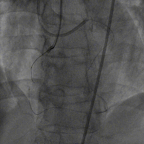
右冠造影:右冠近段完全闭塞,可见大量桥侧枝血管,结合冠脉CTA考虑闭塞段病变合并钙化,同时结合左冠血管扭曲考虑右冠1-2段转弯处存在血管成角扭曲可能;闭塞段入口并不明确,故J-CTO评分2-3分。

手术策略和器械选择

手术策略

1、考虑右冠自身桥侧枝血管供应远段,可先行左冠血运重建后择期开通右冠;右冠闭塞 段>20mm同时合并钙化,术中可先尝试正向介入治疗,必要时启动逆向介入治疗。

2、右冠闭塞段入口不明,近段血管不足以支撑血管内超声导管进入,故对于入口的多投照体位评估尤为重要,若近段入口进入困难,术中可启动BASE技术主动进入内膜下完成与逆向导丝交汇;考虑血肿控制、闭塞段钙化及提高手术效率,术中可尽早使用导引延长导管(本病例选用6F Telescope™导引延长导管)。

第一期行LM-LADPCI术,完成左冠血运重建。

左冠PCI

择期行右冠PCI术:

1、左冠选用6F EBU3.5指引管,Runthrough导丝前降支锚定保护;右冠SAL 0.75指引管,6FTelescope™导引延长导管备用。

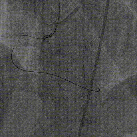
2、正向介入器械:Finecross微导管(130cm);XT-A导丝尝试寻找闭塞段入口及微通道,UB3尝试进入远段真腔失败,保留正向导丝启动逆向介入治疗。

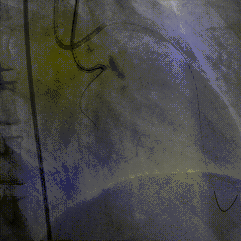
右冠PCI

逆向器械:

1、选择近段粗大间隔支;Finecross(150cm);Sion导丝surfing通过侧枝循环至右冠远段,跟进微导管后尝试UB3、Gaia3导丝至闭塞段远段与正向导丝重叠,但闭塞段钙化可能导丝逆向导丝无法进一步前进突破。

右冠PCI

策略转换:

1、逆向导丝无法进一步前进突破后及时转换策略,决定以逆向导丝为路标,操控正向导丝定向穿刺逆向导丝。

2、正向升级为Gaia3导丝多投照体位穿刺并靠近逆向导丝,但无法进入远端真腔,升级为Pilot200导丝试图尽量考虑血管真腔加强支撑力后启动Reverse-Cart,多体位操控后导丝幸运进入血管远端真腔。

右冠PCI

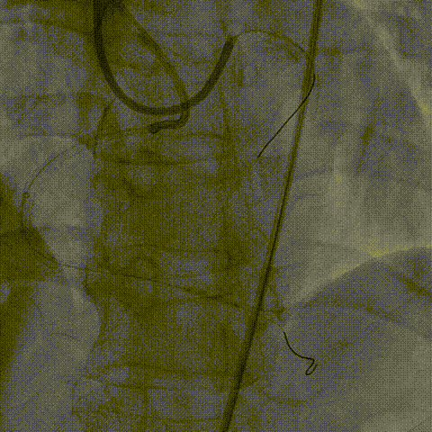
器械通过困难:

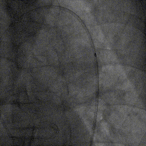
1、正向导丝通过后,微导管无法跟进,尝试1.25、1.5mm球囊均无法通过病变。

2、6F Telescope™导引延长导管支撑下1.25mm球囊通过病变预扩后换用2.0mm球囊完成预扩张。

右冠PCI

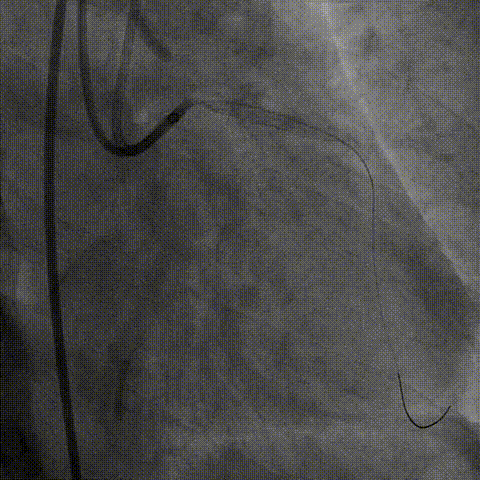
器械通过困难:

1、2.0mm球囊预扩张后球囊顺利进入Telescope™导引延长导管锚定导丝,送入Finecross微导管,后交换Pilot200导丝为Runthrough导丝。

2、6F Telescope™导引延长导管可兼容2号2.0mm预扩球囊及Finecross微导管同时进入,具有良好的内腔兼容性。

2.0mm球囊进入Telescope™锚定,通过无阻力

2.0mm球囊锚定导丝后微导管进入Telescope™内腔兼容性强

器械通过困难:

1、2.0mm顺应性球囊预扩后,Telescope™支撑下火山血管内超声(头端直径较大)无法通过,操作过程中右冠系统脱出,重新放置右冠指引管后在逆向导丝指引下正向导丝再次通过病变至右冠远端。

2、换用2.75非顺应性球囊在Telescope™支撑下扩张闭塞段并引导Telescope™通过闭塞段后完成血管内超声检查。

内腔同时兼容2.0mm球囊及Finecross微导管

介入经过及结果

血管内超声:

导丝远端位于血管真腔,闭塞段部分内膜下走行,可见闭塞段钙化,符合术前评估结果。

支架植入:

根据血管内超声结果,在Telescope™支撑下序贯植入3.0mm、3.5mm、4.0mm支架3枚,4.0mm直径支架通过Telescope™延长管顺畅,无连接部剐蹭情况。

6F Telescope 支撑下序贯植入Ø3.0 3.5 4.0mm支架,通过性优异


经验体会及总结

闭塞段合并钙化往往给介入术中制造极大困难,导引延长导管的使用可有效提高指引导管支撑力、减少近段血肿形成、并可快速采用AGT技术完成Reverse-Cart 。

6F Telescope™导引延长导管独特的连接部设计可有效提供器械通过性;延长管内腔直径优异,可同时兼容2号2.0mm球囊及Finecross微导管完成球囊锚定下微导管交换,同时延长管可轻松通过4.0mm直径支架,输送效果顺畅。

本例病例中正向失败后转换为逆向,在逆向导丝受阻后又及时转为正向导丝对吻技术完成介入治疗手术,在Telescope™导管支撑下克服病变钙化困难完成支架植入。 

手术用时140min;造影剂180ml。

专家介绍

-  蔡炜  -

福建医科大学附属协和医院

心内科、医学博士、副主任医师。

主要从事冠状动脉粥样硬化性心脏病的基础与临床研究,擅长冠状动脉分叉病变及慢性闭塞病变的介入治疗。

担任福建省医学会心血管病分会青年委员、福建省中西医结合心血管康复分会委员。

主持卫计委青年项目及省自然科学基金面上项目,参与国家自然科学基金三项;参编著作两本;获得国家发明专利一项,在 CSCD 及 SCI 期刊发表论著多篇。

长按二维码关注“一脉同行”

阅读数: 1594