粤西心脏病患者“心”福音,高州市人民医院常规开展Commando手术治疗复杂心脏瓣膜病

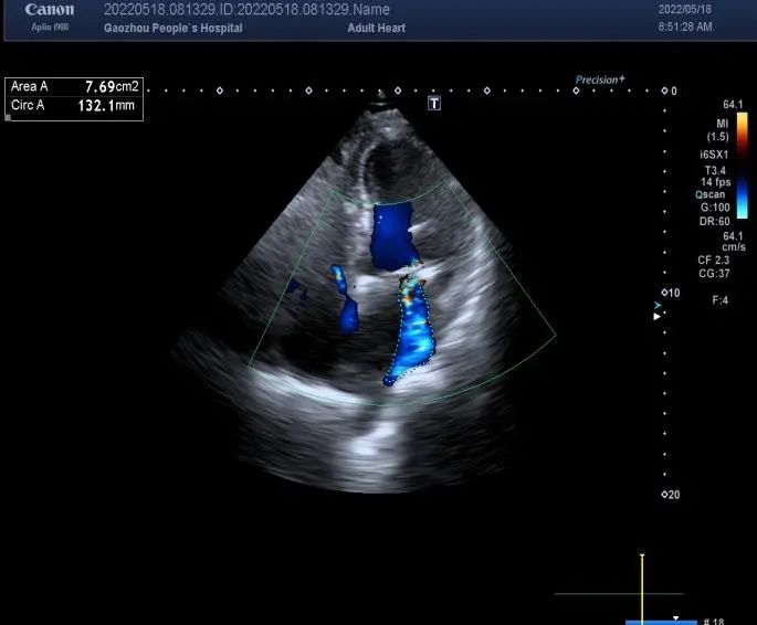
日前,高州市人民医院心血管外科曹勇教授团队为一名71岁换瓣术后27年机械瓣膜功能障碍的女性患者成功实施了双瓣膜瓣环扩大重建+瓣膜替换手术,该手术又称为Commando手术或UFO手术。该患者27年前在高州市人民医院心外科行主动脉瓣机械瓣置换手术,术中使用国产G-K瓣。术后康复出院,长期服用华法林抗凝治疗。1个月前出现气促、腹胀、下肢肿胀,复查心脏彩超提示主动脉瓣流速增高3.3m/s,压差43.56mmHg,二尖瓣、三尖瓣中重度关闭不全,合并严重心衰,有手术的指征,为进一步手术治疗入住高州市人民医院心血管外科一区(见术前心脏彩超图)。

曹勇教授团队在遵循相关指南的指引下,并考虑到患者年龄大,同时患者也表达了不想再长期服用华法林抗凝的意愿。为了最大限度提升患者远期预后以及术后生活质量,虽然手术难度极高且风险巨大,曹勇教授团队最终决定给患者实施Commando手术。手术于2022年5月26日进行,术中采用体外循环心脏停跳,降温,阻断升主动脉,冷血停跳液顺灌灌停心脏,心脏表面放置冰屑,切开右心房、房间隔,切开升主动脉,拆除原主动脉瓣环机械瓣,探查主动脉瓣环偏小,于无冠瓣中点切开主动脉瓣环、左心房顶部、二尖瓣前瓣环,显露二尖瓣,切除二尖瓣前瓣及瓣下结构,保留部分后瓣及瓣下结构,植入29mm佰仁思牛心包瓣,取佰仁思牛心包片内衬涤纶片下段加宽二尖瓣瓣环,同时修复房间隔,左房顶。牛心包片内衬涤纶片上段修复主动脉,加宽主动脉瓣瓣环,植入25mm佰仁思牛心包瓣,剩余的补片修复主动脉切口。升温,排气,开放升主动脉,心脏自动复跳,显露三尖瓣,植入27mm佰仁思三尖瓣C型人工瓣环于三尖瓣环上,注水试验,三尖瓣关闭尚好,缝合右房。体外循环180min,阻断107min,整个手术历时约7个小时,术后患者恢复良好,转心外ICU治疗,术后24h引流液仅80ml,第二天拔除气管插管,第3天转回普通病房继续治疗。复查术后心脏彩超提示生物瓣膜功能良好,心功能良好。目前患者已顺利出院,门诊随访,随访结果良好。

Commando手术首次报道是在1997年,最早由David TE医生应用于治疗感染性心内膜炎。该手术的过程通过切开整个主动脉根部以及左房顶,重建主动脉幕帘后进行双瓣置换(见图2)。Commando手术难点在于需用人工补片重建主动脉根部、主动脉瓣环、主动脉幕帘以及左房顶、二尖瓣瓣环,术中需要仔细缝合,预防难以控制的出血,并且术后并发症较多。因此,Commando手术在医疗界的心外科是一种高难度的瓣膜手术之一,国内能够常规开展类似手术的医疗中心不多。

曹勇教授带领的高医心血管外科到目前为止共开展了12例Commando手术,术程均顺利。对于Commando手术,曹勇教授提出:

①为了良好的血流动力学效果,对于需要再次换瓣、主瓣环小或二尖瓣瓣环小的这类患者可考虑采用Commando手术治疗;

②难点为预防术后出血,术中缝合需仔细,对缝合技术要求高;

③个人体会采用双层补片修复可减少术后出血。Commando手术的顺利开展以及患者们的顺利康复出院,标志着高州市人民医院在该领域的手术技术上已达到国内外先进技术水平。同时对Commando在再次换瓣患者的应用,为国内该类疾病的诊治提供参考。

专家简介

曹勇

高州市人民医院

心血管外科主任医师,心血管外科博士,硕士生导师。现任广东高州市人民医院副院长,农工党茂名市委委员,国际心胸外科微创学会委员、亚洲心脏瓣膜学会中国分会委员、国家心血管病专家委员会微创心血管外科专业委员会委员、中国医师协会心血管外科医师分会委员会委员、广东省医师协会血管病分会副主任委员、广东省胸部疾病学会心血管外科专业委员会副主任委员、广东省医院协会第一届心脏血管微创外科管理专业委员会副主任委员、广东省卫生系列高级职称评审委员会专家库专家,广东省杰出青年医学人才,茂名市高端和拔尖人才。

近年来每年主刀心脏手术450余例,累及主刀各类心脏手术超6000例,包括新生儿、婴幼儿心脏手术,成人瓣膜置换,修复术,风心病二尖瓣修复手术,冠状动脉搭桥术、ECMO技术、TAVI、主动脉夹层、腔镜手术等。主持省级课题多项,发表SCI及省内外期刊发表论文十余篇。参于孟旭主任的《风湿性瓣膜病二尖瓣成形术的临床研究与推广应用》获北京医学科技奖三等奖。《风湿性瓣膜病二尖瓣成形术的临床研究与推广应用》获中国研究型医院学会医学科技部医学研究创新奖一等奖。《食道超声引导下经胸封堵室间隔缺损的临床研究》获茂名市科技计划一等奖。近两年主持广东省乡村振兴专项资金项目(2021S0033)、市医学科技创新专项资金项目(2021KJZXZJYX008)各一项,参与广东省医学科学技术研究基金项目、市科技项目10余项。作为PI开展的GCP项目5项,2022年主持的GCP项目中拿下了两个FIM,分别为科凯介入三尖瓣修复系统夹项目以及全球首例A性夹层全腔内重建系统项目。

阅读数: 4366