病例荟萃第三期|张蕾:Telescope™导引延长导管应用体验分享

张蕾  河南大学淮河医院


简要病史


男性,68岁,农民,65Kg

入院时间:2022.5.16

主诉:活动后胸痛1年,加重1天

现病史:1年前活动后出现胸骨下段隐痛,休息数分钟后缓解,1周发作2-3次,未诊治,1天前上述症状加重,发作频繁,发作时间延长至30分钟到1小时不等,门诊以“急性冠脉综合征”收住院。

危险因素:发现血压升高2年,最高160/90mmHg,间断服用“硝苯地平缓释片” 1片 qd,血压控制不详;患“腔隙性脑梗死”2月,未留后遗症;偶有吸烟。


体格检查

体温:36.5度;

脉搏:85次/分;  

呼吸:18次/分;      

血压113/70mmHg;

双肺呼吸音清,未闻及干湿性啰音及哮鸣音,心率85次/分,律齐,各瓣膜区未闻及病理性杂音,腹软,无压痛,双下肢无水肿。

实验室检查

入院时:cTN I 0.76ng/ml(0-0.034);CK-MB 34U/L(0-16);

生化:Scr  60 umol/L,K+  3.8 mmol/L,LDL-C 1.18mmol/L,TC 2.76mmol/L,ALT  35U/L;

血常规:WBC 12.04×109/L,N 87.7%,HGB 137 g/L,Plt242×109/L;

NT-BNP 235 ng/L;

PT 13.2秒  APTT 29.8秒;

尿蛋白及尿酮体阴性,尿葡萄糖阴性;

甲状腺功能正常;

自身免疫正常;

ESR,CRP,抗链O,类风湿因子均正常。

心电图

心脏彩超:室间隔及左室壁厚度、回声尚可,下后壁中段及基底段运动减弱,LVEF 52%。

入院诊断

1.急性非ST段抬高型心肌梗死 心功能I级(killip分级)。

2.高血压病2级 很高危组。

药物治疗

阿司匹林片 100mg qd,首剂300mg;

替格瑞洛片 90mg bid,首剂180mg;

阿托伐他汀钙片 20mg qd;

倍他乐克片 47.5mg qd;

培哚普利片 4mg qd;

依诺肝素针 6000U ih q12h;

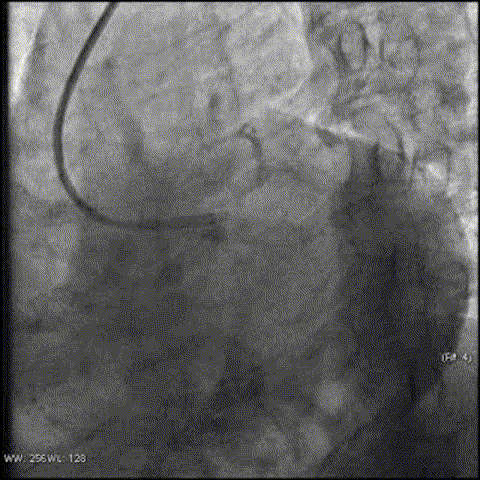
冠脉造影

冠脉造影:右桡动脉,6F动脉鞘管,5F Tig。

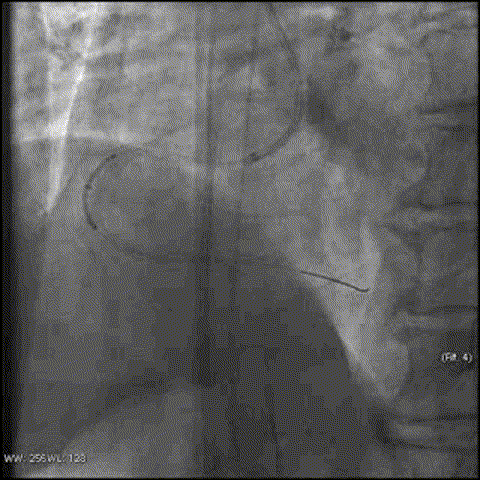
造影结果:LM至LAD中段弯曲钙化,LCX开口次全闭塞,LAD-RCA有侧支。

LM末端苍白,狭窄约90%,LM-LAD中段可见明确钙化影,中段狭窄最重80%,可见右冠钙化影及LAD-RCA的侧支循环。

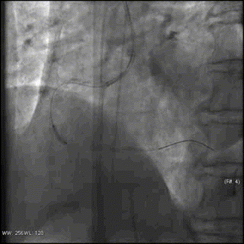
RCA开口于右兜底,全程可见钙化影,开口至中段弥漫病变,中段次全闭塞,第二转出处可见血管迂曲。

手术策略

1.左主干根部严重狭窄,回旋支及右冠次全闭塞,伴全程钙化,SYNTAX积分大于32分,建议首选CABG;

2.次选PCI,各个击破,尝试开通右冠闭塞,择期左冠治疗;

3.强化药物治疗(效果最差)。

患者及家属最终选择PCI治疗。

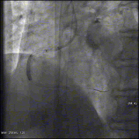
6F指引导管 SAL0.75;

Corsair MC支撑 Sion导丝通过失败;

Tip injection 造影发现微孔通过。

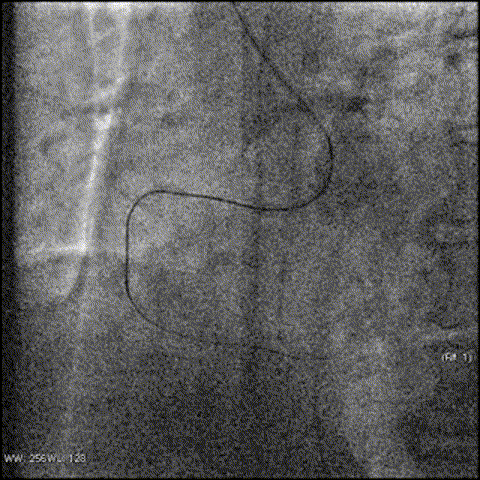
XT-R导丝顺利通过至血管远端;

Corsair MC通过狭窄至中远段;

延长导丝交换入Sion导丝;

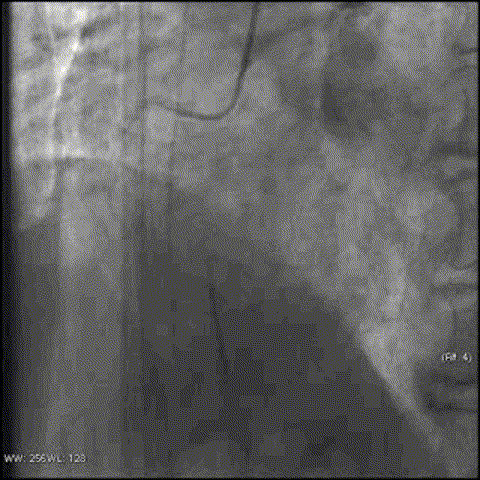
1.25*10mm预扩张球囊12atm掘进扩张;

2.0*12预扩张球囊14atm依次扩张;

2.5*12高压球囊20atm依次扩张;

2.75*12高压球囊18atm依次扩张近中段全程;

Resolute 2.75*26mm 12atm;

尝试Resolute3.0*26mm 不能送至中段,中段夹层较重,双导丝未强行进入,没有合适锚定的分支,决定回撤支架先做开口及近段,18atm扩张释放。

3.0*12mm高压球囊22atm整形近段支架。

为避免支架损伤和脱载,未再尝试推送支架。

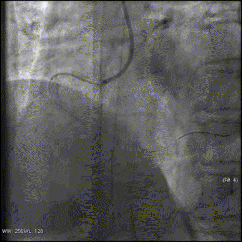
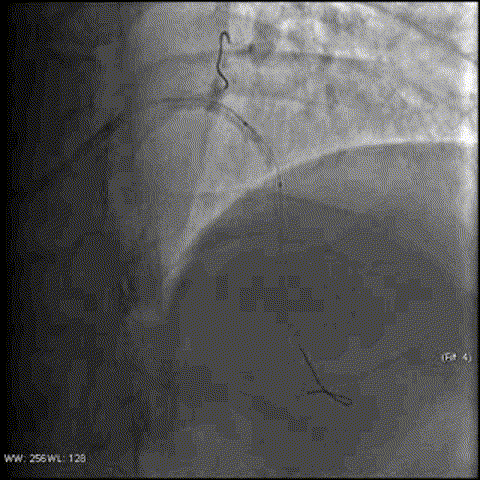
Telescope™导引延长导管沿导丝送入,全程无阻力,导入口位置及方向清晰可见。

2.75*12高压球囊引导Telescope™导引延长导管顺利进入近段支架内。

前送2.75*12mm高压球囊至远端支架内,8atm扩张锚定,前送导引延长导管通过病变处至远段支架的近端。

Resolute 3.0*22mm顺利到位,期间在进入导入口处及进入导引延长导管内前行均无阻力 。

支架到位,支架释放。

支架术后即刻造影,支架膨胀差。

3.0*12mm高压球囊18-24atm全程扩张。

Final result

择期7F指引导管EBU3.75。

应用预扩张球囊,高压球囊,切割球囊和导引延长导管完成手术。

术后观察Telescope™导引延长导管未见明显刮痕、变形,触摸导入口光滑无阻力。

  1. 烧去多聚物涂层,暴露螺旋结构,证明Telescope™导引延长导管在迂曲血管内更易通过。

  2. 能烧至导轨处多聚物,证明ABC三坡度设计更易减少器械剐蹭。

左冠应用其他品牌导引延长导管后有头端损伤及剐蹭情况。


病例分析

1.患者 68岁,本次诊断NSTEMI。

2.造影提示三支病变,累计左主干,其中右冠回旋次全闭塞,血管钙化弯曲。

3.两次术中虽然充分预扩张,但仍出现器械难以通过。

4.Telescope™早期应用,缩短手术时间,减少术中并发症,患者获益更多。

专家介绍

-  张蕾 -

河南大学淮河医院


河南大学淮河医院 心内科,医学硕士,副主任医师;

河南省医学会心血管分会委员;

河南省微循环学会心血管病专业委员会委员;

擅长左主干病变,分叉病变,闭塞病变及小血管病变等复杂疑难危重心脏病的诊治。

长按二维码关注“一脉同行”

阅读数: 829