首战告捷 蓄力前行|江西省人民医院洪浪教授团队完成国产创新二尖瓣修复介入器械注册临床试验首例入组

2022年6月,江西省人民医院顺利召开了申淇淇麟®经导管二尖瓣夹及可操控导引导管FMR(功能性二尖瓣反流)和DMR(退行性二尖瓣反流)两项上市前注册临床试验启动会,标志着由韩雅玲院士牵头的两项全国多中心研究正式在江西省人民医院开启,近日,顺利完成了该注册临床试验在本院首例患者入组工作。

2022年8月中旬 ,经过术前充分的评估和准备,江西省人民医院洪浪副院长带领心内科尹秋林教授团队、超声科顾平教授、周云英护士长等介入护理团队,在南京市第一医院陈绍良教授团队张俊杰教授的现场协助下,运用全新一代经导管二尖瓣缘对缘修复系统 – 申淇淇麟®系统,为一位高龄退行性二尖瓣反流患者成功实施了股静脉途径经导管二尖瓣介入修复术。团队配合密切,手术过程顺利,获得成功,标志着申淇淇麟®全国多中心DMR注册临床试验在江西省人民医院正式启动入组。

患者基本信息

入组患者为72岁男性,既往有高血压,二尖瓣脱垂伴重度二尖瓣关闭不全等病史。此次主诉“反复胸闷、气促3月余、伴咳嗽3天”入院。

术前经胸超声显示

左心增大,余房室腔大小正常,二尖瓣后瓣于收缩期脱向左房(主要累及2区),对合不良,关闭不佳,二尖瓣部分连接腱索呈连枷样改变, 三尖瓣少量反流,主动脉瓣微量反流,EF 60%;

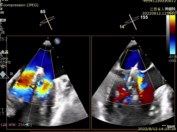
经食道超声显示(术前):二尖瓣前叶长度26.5mm,后叶长度26mm,脱垂高度9.5mm,脱垂宽度为14.6mm, MVA>4.0cm²;

诊断:二尖瓣重度关闭不全,考虑DMR。

患者经心脏团队综合评估为外科手术高危,STS评分为11.1%。经洪浪教授团队会诊后决定采用申淇淇麟®经导管二尖瓣夹及可操控导引导管,在心脏超声引导下施行经皮二尖瓣钳夹术。

术前TEE显示二尖瓣重度反流,反流位置位于A2/P2区

手术于全麻下进行,采用经典股静脉房间隔途径,房间隔穿刺后置入24F导引导管及二尖瓣夹输送系统,在TEE引导下准确植入一枚二尖瓣夹至A2/P2区,瓣膜夹位置稳定,植入后反流下降至1+,二尖瓣跨瓣平均压力阶差1mmHg,双孔化形成,遂移除器械输送系统。超声心动图评估瓣膜夹位置和功能良好,瓣膜夹活动度低,手术顺利完成。

术后TEE显示,二尖瓣夹植入后反流减少

二尖瓣病变是发病率最高、介入治疗难度最大的瓣膜疾病。据不完全统计,我国二尖瓣病变潜在患者人数逾千万,治疗缺口极大。同时,由DMR及FMR二尖瓣关闭不全构成的复杂二尖瓣反流疾病谱,也大大增加了该类瓣膜病变治疗难度。介入二尖瓣诊疗器械的研发已成为全球心血管介入诊疗领域的热点及难点,而目前唯一成熟的介入二尖瓣技术便是经股静脉途径经导管二尖瓣缘对缘修复(TEER),以雅培的MitraClips™系列产品为代表,其已被FDA、CE和NMPA批准用于包括DMR及FMR的全二尖瓣反流疾病谱病变,临床技术体系已然成熟。

申淇淇麟®经导管二尖瓣夹及可操控导引导管是由上海申淇医疗科技有限公司研发的具有完全自主知识产权的经股静脉瓣膜介入修复系统,该产品已于2021年9月通过《创新医疗器械特别审查程序》,进入国家药监局创新产品"绿色通道"。该系统的核心技术参数对标国际最新一代经导管缘对缘修复系统,其输送系统具备在三个方向稳定调弯,并且拥有多型号力学优化的二尖瓣夹设计及瓣叶独立捕获能力。希望该系统的问世为我国广大的二尖瓣反流患者提供了更多新的治疗选择。

专家简介

洪浪

江西省人民医院

江西省心血管病医院


江西省人民医院党委委员,副院长,江西省心血管病医院院长,江西省心血管病研究所所长,二级教授,博士生导师,主任医师。现任卫健委“冠心病介入诊疗技术培训基地”、“心律失常介入诊疗技术培训基地”、“先心病介入诊疗技术培训基地”主任,中华医学会心血管介入培训江西基地主任,国家药物临床试验江西基地心血管专业主任,中国医师协会心血管分会先心病工作委员会委员,江西省介入心脏病学会理事长,江西省医师协会心血管内科医师分会会长,江西省医学会心脏瓣膜分会第一届委员会主任委员,江西省“冠心病介入治疗质量控制中心”主任,江西省心血管病医院胸痛中心技术总监,江西省生物医学工程学会心电起搏分会常委,美国心脏节律协会会员,《中国介入心脏病学杂志》及《中国心脏起搏与心电生理杂志》编委,中国医疗保健国际交流促进会心血管健康医学分会委员,中国医疗保健国际交流促进会心血管病学分会委员,荣获2019年江西“最美医生”称号。获江西省科技进步奖二等奖一项、三等奖两项。

阅读数: 2559
相关专题