病例分享|冲击波球囊处理弥漫性环形钙化病变

冠脉钙化是冠脉介入最难攻破的难题之一,一直以来并没有完全满意的兼顾安全性和有效性的解决方法。冲击波球囊作为处理钙化病变的最新手段,其因效果明显、操作简便、安全性高的特点,越来越受到临床医生的关注和认可。此次我们分享一例来自复旦大学附属中山医院使用冲击波球囊处理严重钙化病变的病例。

患者情况

患者为一位56岁男性,患有高血压病2级(极高危,十年高血压病史),2型糖尿病。3个月前因胸闷至上海某外院就诊,冠脉造影示冠脉重度狭窄,行PCI治疗。此次因“PCI术后3月余”收入中山医院心内科。

策略制定

术前,复旦大学附属中山医院心内科介入陆浩主任团队通过OCT与冠脉造影融合技术,进一步准确评估冠脉病变钙化范围及狭窄情况。因造影指示病变血管两侧存在重度钙化影、病变长度长,所以决定采用谱创医疗Sonico-CX冲击波球囊技术方案,精确冲击冠状动脉内膜、中膜下钙化灶,使其松解,再次使用OCT评估冲击波球囊治疗后钙化环断裂及管腔情况。最后顺利植入支架,并在OCT及超声造影下再次评估术后效果。

术前检查

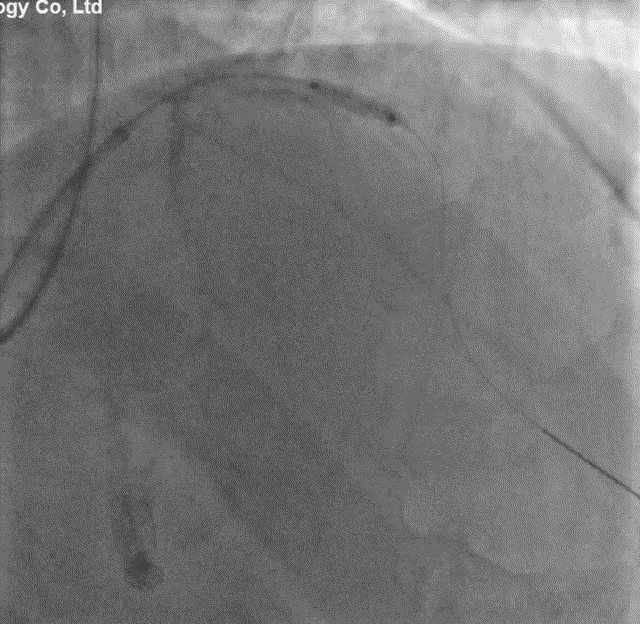
冠脉造影显示患者前降支、对角支、钝缘支均有中、重度狭窄,以前降支近、中段狭窄及钙化为主,因而此次手术主要对前降支病变进行处理。术前检查指示前降支近、中段70%狭窄伴重度钙化(病变长度约30mm,钙化最重处管径3.0mm)。于前降支送入FFR压力微导管提示FFR为0.73。OCT检查可见前降支近、中段弥漫性环形钙化斑块。

术前检查指示前降支近、中段狭窄伴重度钙化

术前OCT 检查指示血管两侧存在重度钙化影

使用冲击波球囊处理钙化病变

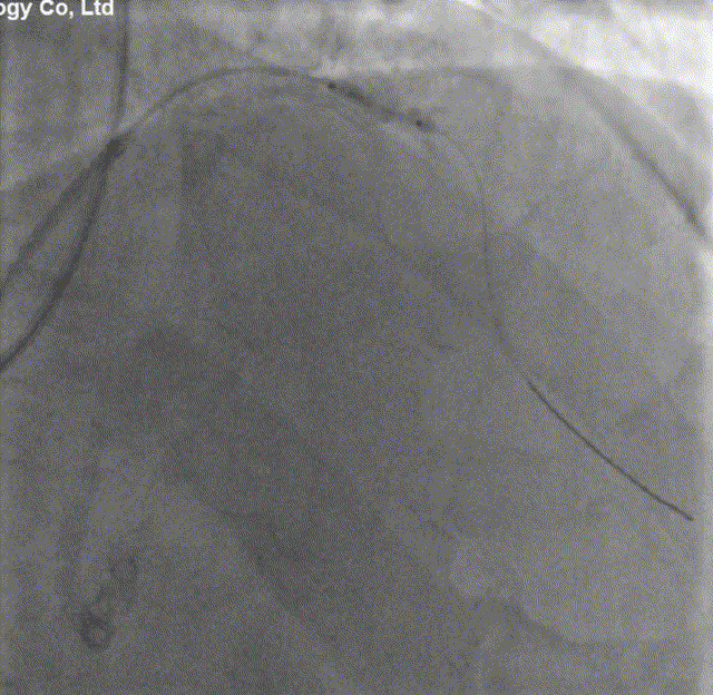
选用谱创医疗3.0mm*12mm Sonico-CX冠脉血管冲击波球囊于近、中段钙化病变处,先后触发70次冲击波(7个周期;每个周期分别以4atm激发10个脉冲冲击波,再加压至8atm 扩张成形)实施钙化斑块碎裂术,DSA下可见随着冲击波释放,并经8atm扩张后,钙化最严重处球囊扩张充分。

用冲击波球囊处理前降支近、中段病变

冲击波球囊治疗后,复查OCT提示前降支近、中段原钙化环断裂,钙化病变扩张满意。

冲击波球囊治疗后原钙化环断裂

植入支架

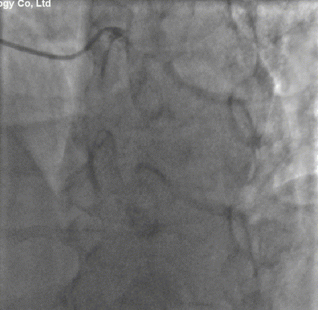
经过充分的冲击波球囊预处理后,因钙化环得到松解,血管顺应性提升,病变处支架顺利植入。复查OCT及造影提示支架贴壁良好,扩张满意,支架膨胀率达86.24%,无夹层及残余狭窄。

冲击波球囊治疗后,顺利植入支架,无夹层及残余狭窄

OCT检查指示支架膨胀及贴壁良好,膨胀率达86.24%

冲击波球囊技术助力冠脉钙化病变治疗

谱创医疗Sonico-CX冲击波球囊,是一款国产自主研发并获得发明专利授权的经皮冠状动脉血管内冲击波能量钙化碎裂术的专用器械产品。

冲击波球囊通过内置电极在低压下激发声压力波,并将此非聚焦、脉冲式冲击波通过球囊内介质及球囊壁传导至钙化病变部位,安全有效地碎裂浅、深层钙化,从而改善血管顺应性,以便后续支架植入和展开。相比其他钙化处理技术,冲击波球囊技术兼有操作简便、安全性高、效果明显的特点。相信随着该技术的普及,其将为冠脉钙化患者带来福音。

专家简介

陆浩

复旦大学附属中山医院

心内科副主任医师;获复旦大学心血管内科博士学位,师从著名心血管病专家葛均波院士。主要从事冠状动脉粥样硬化的发病机制研究,以第一作者在国内外期刊发表论文20余篇,其中以第一作者发表SCI论文近10篇,参编《现代心脏病学》等专著10余部,作为课题负责人主持国家自然科学基金一项。

临床主要方向为冠心病介入治疗,每年独立完成冠心病介入治疗800余例,擅长复杂病变的介入治疗。中国研究型医院学会心血管介入学专业委员会青年委员,中国老年医学委员会高尿酸及痛风专家委员会委员,卫生部冠心病介入培训基地培训导师。

葛均波

复旦大学附属中山医院

心内科主任;中国科学院院士,中国心血管健康联盟主席,主任医师,教授,博士生导师,复旦大学附属中山医院心内科主任,心导管室主任,上海市心血管病研究所所长。世界心脏联盟常务理事,亚太介入心脏病学会主席,国际心脏病大会顾问委员会委员。致力于冠心病病人心肌微循环灌注障碍方面的研究,他对冠状动脉血流缓慢综合征的研究阐述了假性冠状动脉血流储备正常的机制,获九三学社抗击新冠肺炎疫情先进个人荣誉称号、全国先进工作者。

阅读数: 1166